| UNIPROT | O60566 |
| Иммуноген | Рекомбинантный гибридный белок из человеческого BUB1B |
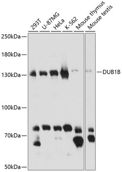
BUB1B Polyclonal Antibody (E-AB-90873)
Реактивность подтвержденная:
человек, мышь
Источник (хозяин):
кролик
Валидировано для:
WB
Характеристики
Техническое описание
| Каталожный номер | E-AB-90873 |
| Название антигена | Budding Uninhibited By Benzimidazoles 1B (BUB1B) |
| UNIPROT | O60566 |
| Иммуноген | Рекомбинантный гибридный белок из человеческого BUB1B |
| Английские синонимы | BUBR1, Bub1A, MAD3L, SSK1, hBUBR1, Mitotic checkpoint serine/threonine-protein kinase BUB1 beta, MAD3/BUB1-related protein kinase, Mitotic checkpoint kinase MAD3L |
Реактивность подтвержденная Нужна другая реактивность? |
человек, мышь |
| Источник (хозяин) | кролик |
| Изотип | IgG |
| Клональность | поликлональное |
| Рекомбинантное | нет |
| Готовое к использованию | нет |
| Концентрация | 1мг/мл |
| Конъюгат | нет |
| Валидировано для | WB Вестерн-блоттинг |
| Рекомендуемые разведения | WB 1:500-1:2000 |
| Метод очистки | Аффинная хроматография |
| Состав буфера | PBS с 0.01% тиомерсал,50% глицерин,pH7.3 |
| Условия доставки | термобокс с аккумуляторами холода |
| Условия хранения | Хранить при -20°C - 12 месяцев. Избегать повторяющихся циклов замораживания/оттаивания |
| Срок хранения | 12 месяцев |
| Производитель | Elabscience |
| Ссылка на страницу товара на сайте производителя | https://www.elabscience.com/p-bub1b_polyclonal_antibody-e_ab_90873 |
|
Артикул
|
Наименование |
Производитель
|
|---|
|
Артикул
|
Наименование |
Производитель
|
|---|
|
Артикул
|
Наименование |
Производитель
|
|---|
Акции и предложения
Популярные продукты:
Rabbit Growth Differentiation Factor 10 ELISA kit (E04G0121)
Организм: кролик
FITC-Linked Polyclonal Antibody to Coagulation Factor II (F2) (LAA820Mu81)
Источник (хозяин): кролик
Реактивность подтвержденная: мышь
Валидировано для: ICC, IHC, WB
Реактивность подтвержденная: мышь
Валидировано для: ICC, IHC, WB
Folic Acid/VB9 ELISA Kit (KGP18201)
Организм: для всех
ELISA Kit for Histone Cluster 1, H4a (HIST1H4A) (SEQ004Hu)
Организм: человек
Диапазон определения: 0.156-10 нг/мл
Чувствительность: 0.054 нг/мл
Диапазон определения: 0.156-10 нг/мл
Чувствительность: 0.054 нг/мл

