Первичные антитела
Применение первичных антител в современных лабораторных исследованиях
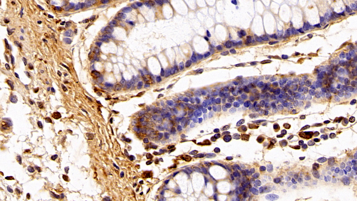
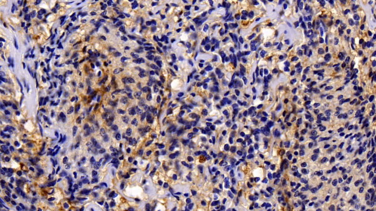
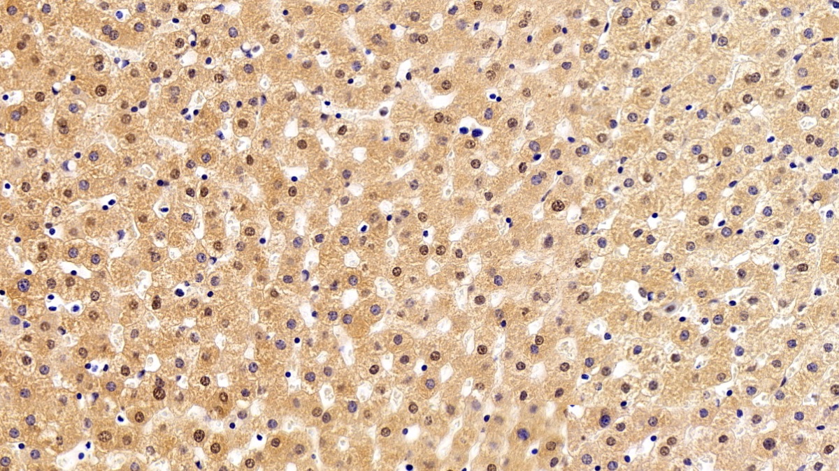
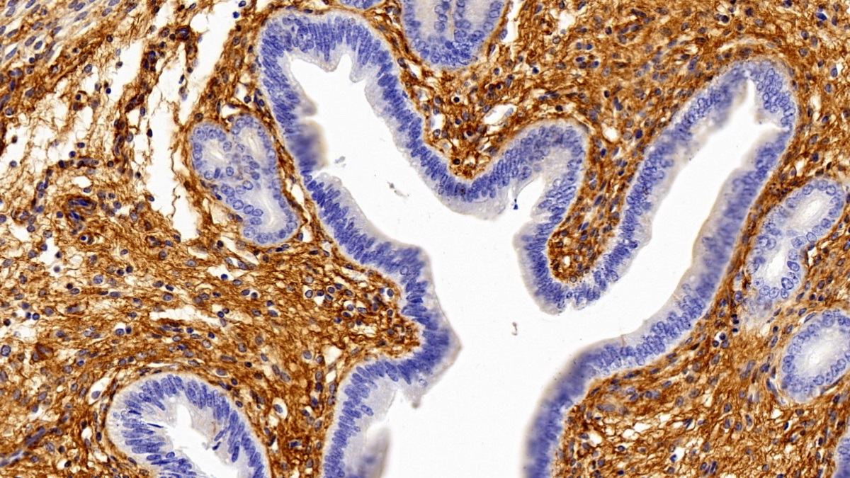
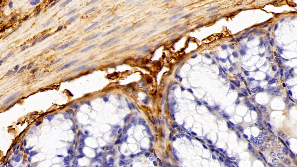
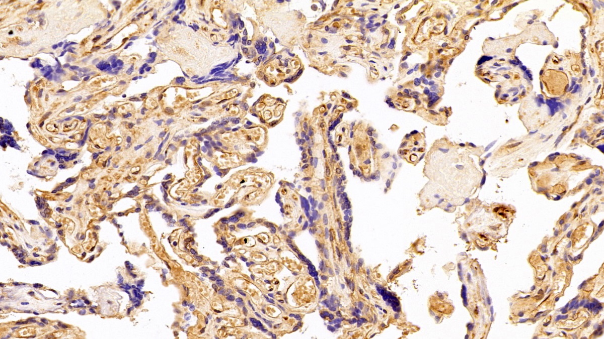
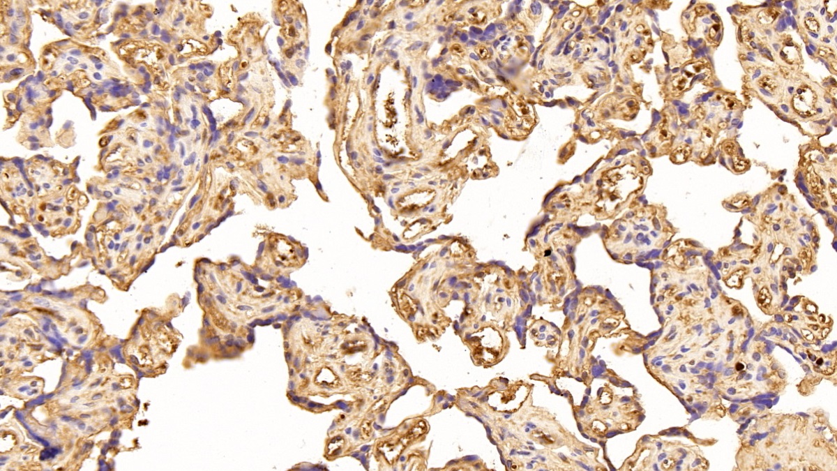
Первичные антитела представляют собой высокоспецифичные молекулярные зонды, позволяющие детектировать и анализировать целевые биомолекулы в различных биологических образцах, таких как сыворотка крови, тканевые срезы или клеточные культуры. Благодаря своей уникальной способности связываться с конкретными эпитопами, они являются незаменимым инструментом для изучения сложных биохимических процессов на молекулярном уровне.
Например, в рамках онкологических исследований первичные антитела применяются для выявления специфических белков или пептидов, свойственных определенным типам новообразований, что позволяет проводить дифференцировку между различными формами патологий. Каждый класс антител имеет свои особенности и области применения:
-
Моноклональные характеризуются высокой специфичностью к одному эпитопу мишени, что делает их идеальными для задач, требующих точной детекции.
-
Поликлональные обеспечивают связывание с несколькими эпитопами одной молекулы, что расширяет возможности их использования в широком спектре исследовательских задач.
-
Готовые к применению (RTU) антитела предварительно стандартизованы и оптимизированы для немедленного использования, что значительно экономит время и минимизирует риск ошибок при подготовке.
-
Для проточной цитометрии разработаны специально для анализа клеточных популяций в режиме реального времени, обеспечивая высокую чувствительность и воспроизводимость результатов.
-
Рекомбинантные отличаются исключительной стабильностью и консистентностью характеристик между партиями, что гарантирует надежность и повторяемость экспериментальных данных.
-
К вирусным антигенам используются для выявления и изучения вирусных инфекций, таких как грипп, ВИЧ, гепатиты и другие патогены. Они позволяют не только идентифицировать наличие вируса, но и исследовать механизмы его взаимодействия с клетками-мишенями.
-
К бактериальным антигенам применяются для детекции бактериальных патогенов, анализа их поверхностных белков, токсинов и других компонентов. Это особенно важно для изучения механизмов патогенности, разработки вакцин и тестирования новых терапевтических подходов.
-
Нейтрализующие обладают уникальной способностью блокировать биологическую активность целевых молекул, таких как вирусные частицы, токсины или сигнальные белки. Их использование позволяет изучать функциональную роль этих молекул в клеточных процессах, а также разрабатывать методы ингибирования патогенных механизмов. Например, нейтрализующие антитела широко применяются для оценки эффективности вакцин и создания терапевтических средств, направленных на подавление активности патогенов или воспалительных медиаторов.
Таким образом, выбор типа первичных антител напрямую зависит от поставленных задач и особенностей эксперимента. Использование качественных антител обеспечивает получение достоверных и воспроизводимых результатов, что является ключевым условием успешного проведения научных и прикладных исследований.
Качественные первичные антитела как ключевой фактор достоверности научных исследований
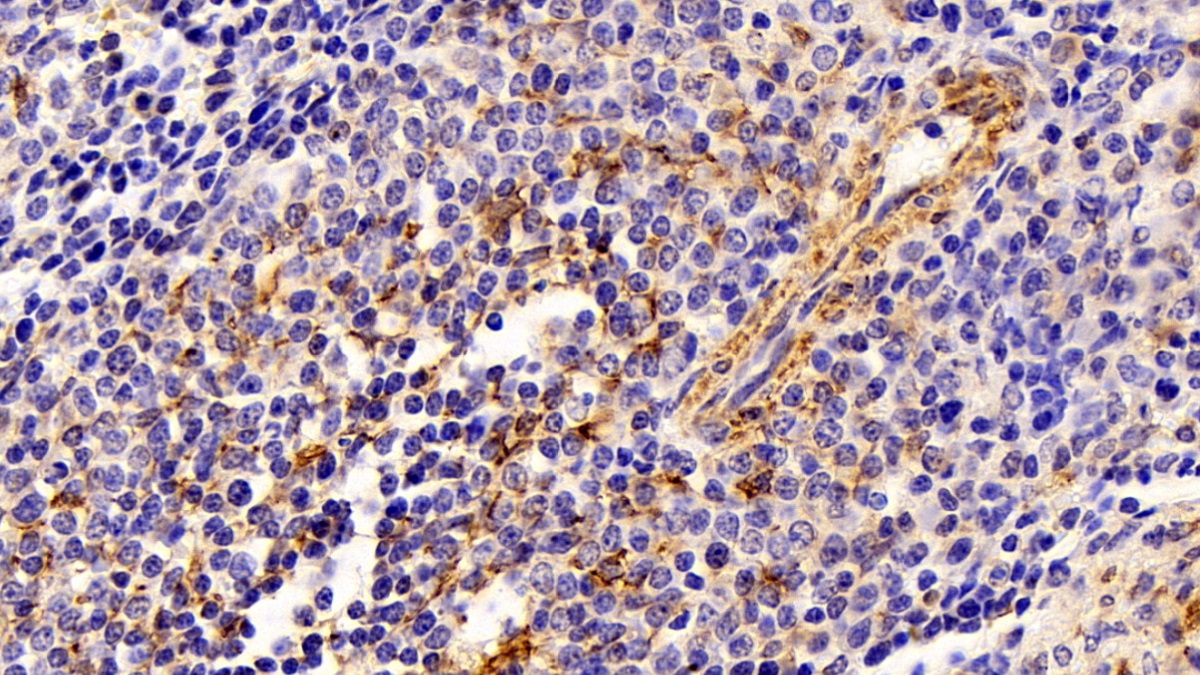
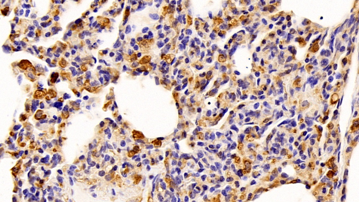
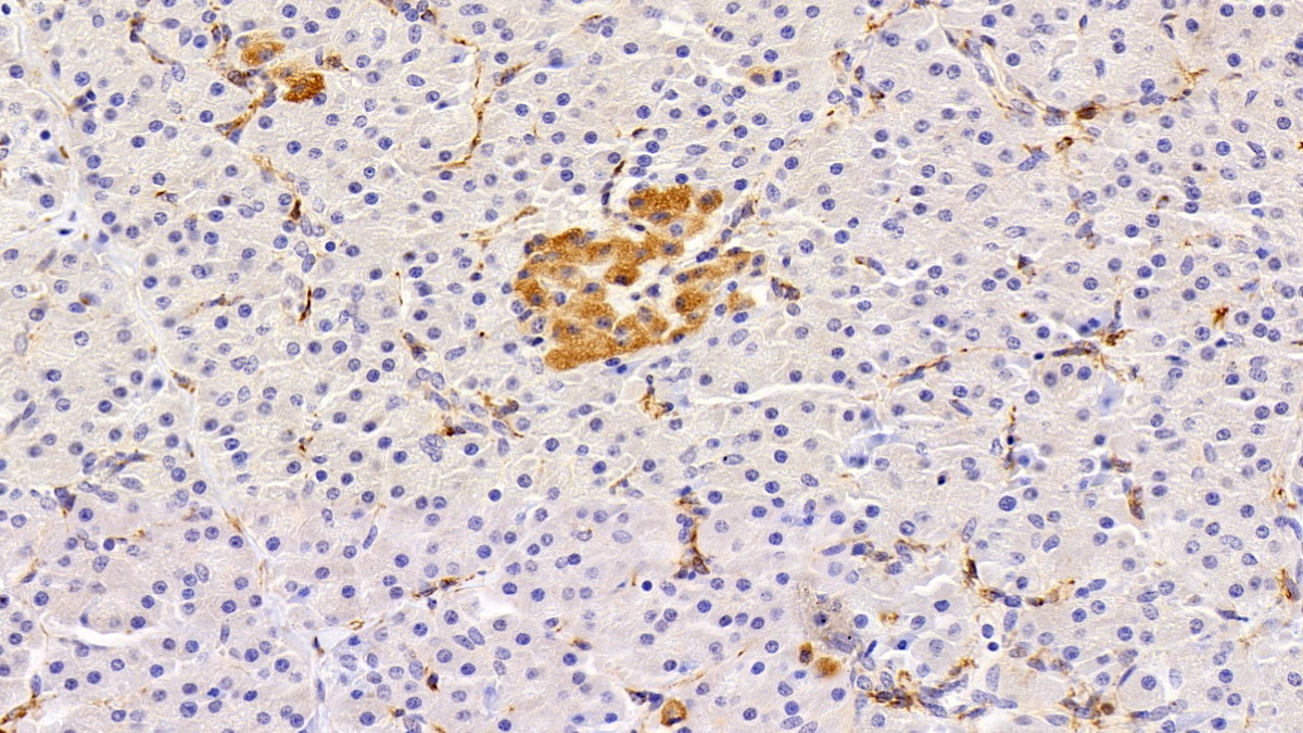
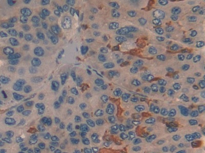
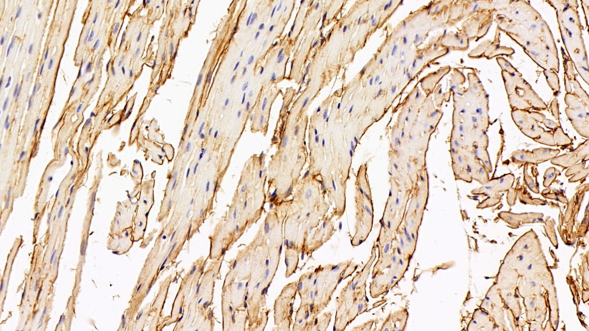
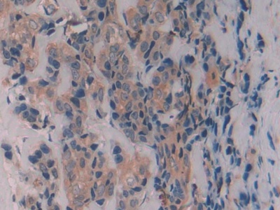
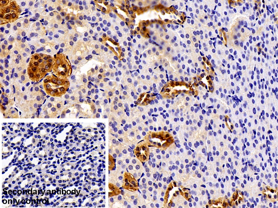
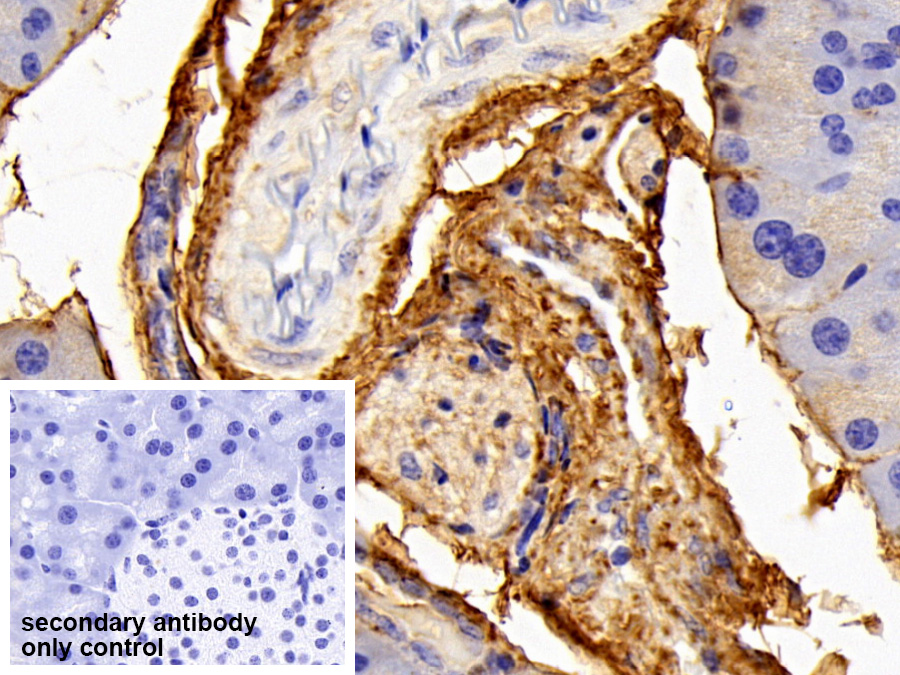
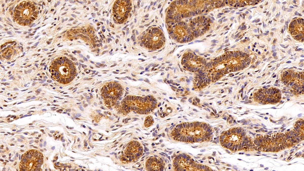
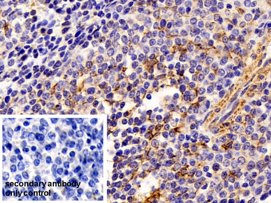
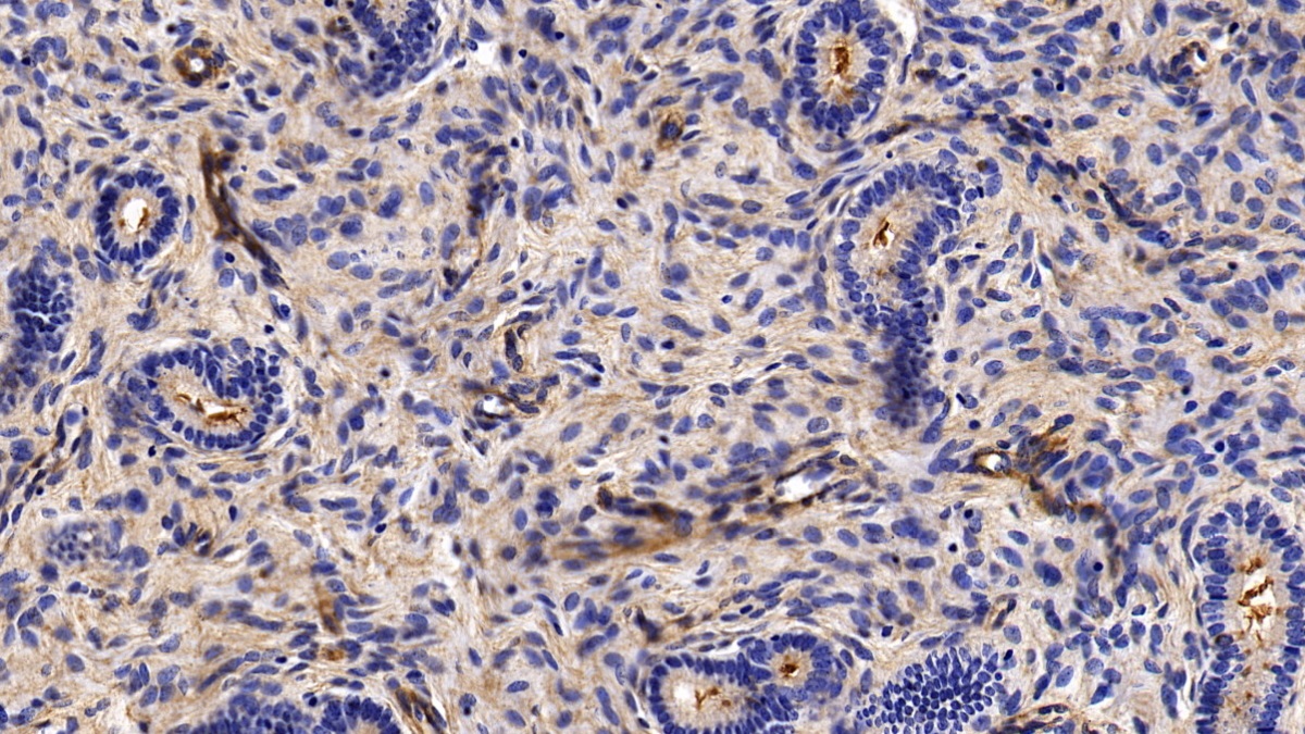
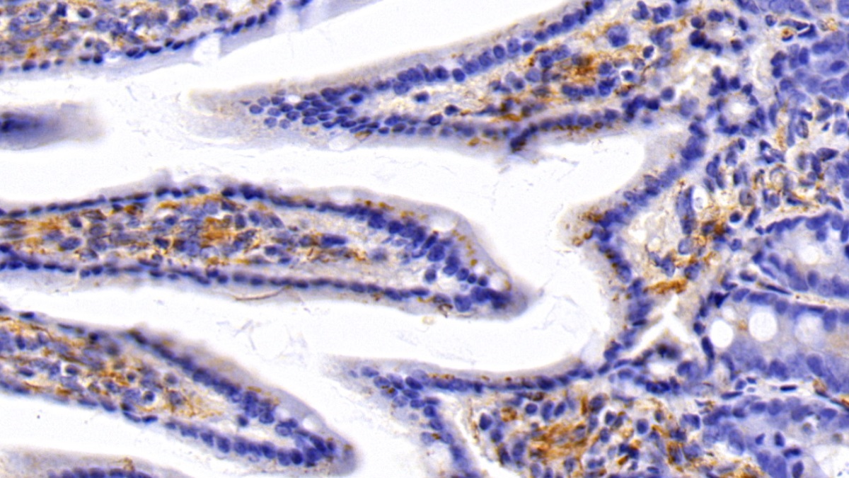
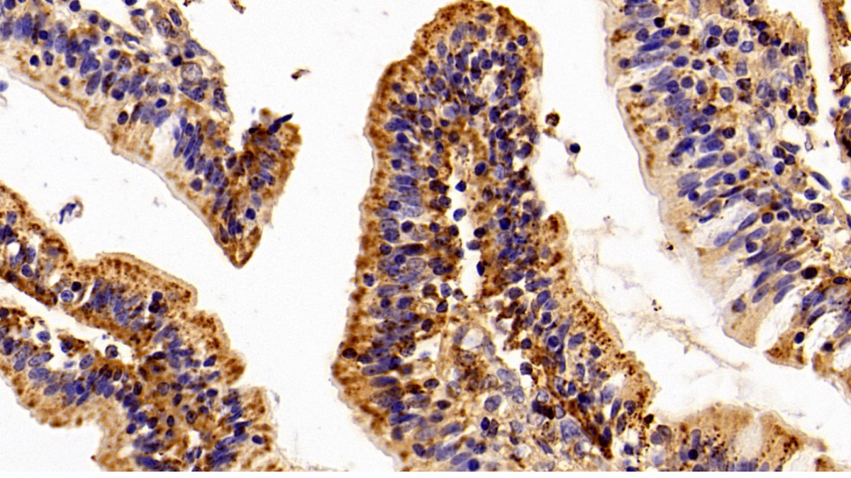
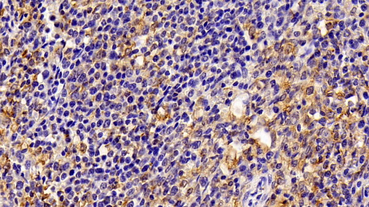
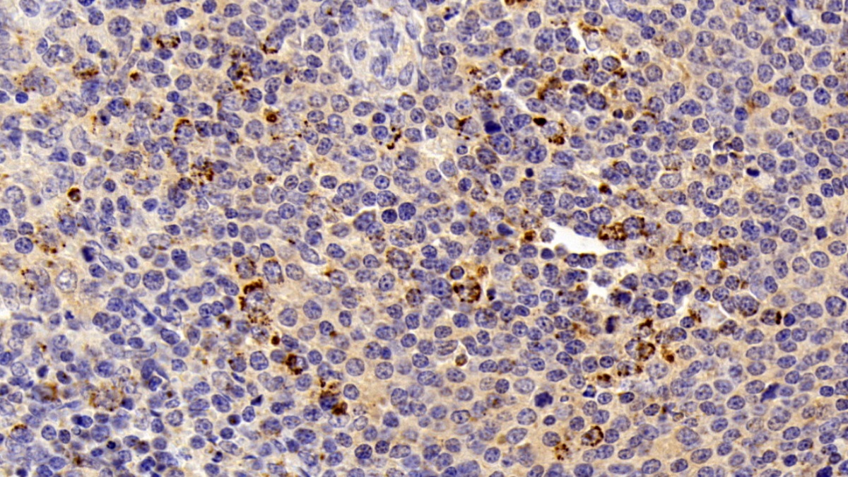
Использование высококачественных первичных антител является неотъемлемым условием получения точных и воспроизводимых результатов в современных научных исследованиях. Например, в рамках онкологического исследования удалось достоверно идентифицировать экспрессию белка PD-L1, что сыграло ключевую роль в оценке потенциальной эффективности иммунотерапии. Применение надежных антител обеспечило стабильность сигнала и высокую специфичность детекции, что позволило получить данные, пригодные для публикации в рецензируемых научных изданиях.
Использование некачественных антител, напротив, сопряжено с рядом существенных рисков. Низкая специфичность может привести к неселективному связыванию с незапланированными молекулами, а недостаточная чувствительность — к слабому или нестабильному сигналу. Такие проблемы не только снижают достоверность результатов, но и могут стать причиной неверной интерпретации данных, что особенно критично в условиях фундаментальных и прикладных исследований.
Таким образом, выбор высококачественных антител с подтвержденной специфичностью и стабильностью характеристик является обязательным условием успешного выполнения научных проектов.
Способы применения первичных антител
Первичные антитела используют в разных методах: от вестерн-блоттинга до иммунофлюоресценции и проточной цитометрии. Всё решает подготовка: нужно грамотно выбрать буфер, точно рассчитать, сколько продукта добавить, и не затянуть с инкубацией. Например, в вестерн-блоттинге без правильной блокировки мембраны фон может всё испортить, а в иммунофлюоресценции фиксация клеток решает, будет ли сигнал ярким. Мы не просто продаём реагенты, а помогаем довести эксперимент до результата: подбираем реагенты и даём советы по методам, если есть специфика в протоколах производителя. Нужен особый подход? Оформите спецзаказ по ссылке — мы найдём решение для вашего проекта.
Почему стоит приобрести первичные антитела у нас?
На сайте belkiantitela.ru вы найдёте реагенты для любых исследований — от диагностики до создания новых лекарств. Наши продукты дают точные и стабильные результаты, без проблем встраиваются в работу с вашим оборудованием. Мы тестируем каждую партию, чтобы вы не тратили время на лишние проверки. А ещё у нас есть эксперты, которые помогут выбрать продукцию под ваш проект и подскажут, как обойти лабораторные загвоздки. С нами вы получаете не просто реагенты, а данные, на которые можно опереться в научной статье.
Загляните в каталог и выберите антитела для ваших исследований! Свяжитесь с нами для консультации или запросите коммерческое предложение, чтобы ускорить ваш научный прогресс.
