Назначение
поликлональное антитело от производителя Elabscience к Tumor Necrosis Factor Receptor Superfamily, Member 4 (TNFRSF4) источник — кролик предназначено для детекции целевого антигена в биологических образцах. Продукт характеризуется подтвержденной реактивностью к человек, мышь, крыса.
Преимущества
- Высокая специфичность и аффинность
- Концентрация: 1мг/мл
- Оптимизированный состав буфера: PBS с 0.02% азид натрия,50% глицерин,pH7.3
- Стабильность: 12 месяцев
Применение в исследованиях
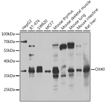
Антитело валидировано для методов: WB. Подходит для научных исследований в области иммунологии, клеточной биологии и молекулярной диагностики.
Условия хранения
Срок годности: 12 месяцев. Хранить при -20°C - 12 месяцев. Избегать повторяющихся циклов замораживания/оттаивания. Рекомендуется соблюдать температурный режим при транспортировке и хранении.

