| UNIPROT | Q9Y2Z9 |
| Иммуноген | Рекомбинантный гибридный белок из человеческого COQ6 |
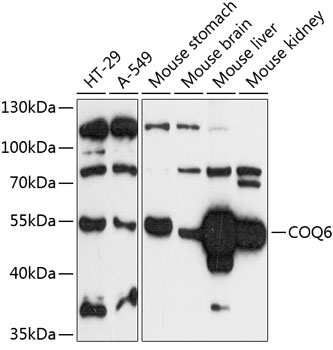
COQ6 Polyclonal Antibody (E-AB-90808)
Реактивность подтвержденная:
человек, мышь
Источник (хозяин):
кролик
Валидировано для:
WB
Характеристики
Техническое описание
| Каталожный номер | E-AB-90808 |
| Название антигена | Coenzyme Q6 Homolog, Monooxygenase (COQ6) |
| UNIPROT | Q9Y2Z9 |
| Иммуноген | Рекомбинантный гибридный белок из человеческого COQ6 |
| Английские синонимы | CGI-10, Coenzyme Q10 monooxygenase 6, Ubiquinone biosynthesis monooxygenase COQ6, mitochondrial |
Реактивность подтвержденная Нужна другая реактивность? |
человек, мышь |
| Источник (хозяин) | кролик |
| Изотип | IgG |
| Клональность | поликлональное |
| Рекомбинантное | нет |
| Готовое к использованию | нет |
| Концентрация | 1мг/мл |
| Конъюгат | нет |
| Валидировано для | WB Вестерн-блоттинг |
| Рекомендуемые разведения | WB 1:500-1:2000 |
| Метод очистки | Аффинная хроматография |
| Состав буфера | PBS с 0.01% тиомерсал,50% глицерин,pH7.3 |
| Условия доставки | термобокс с аккумуляторами холода |
| Условия хранения | Хранить при -20°C - 12 месяцев. Избегать повторяющихся циклов замораживания/оттаивания |
| Срок хранения | 12 месяцев |
| Производитель | Elabscience |
| Ссылка на страницу товара на сайте производителя | https://www.elabscience.com/p-coq6_polyclonal_antibody-e_ab_90808 |
|
Артикул
|
Наименование |
Производитель
|
|---|
|
Артикул
|
Наименование |
Производитель
|
|---|
|
Артикул
|
Наименование |
Производитель
|
|---|
Акции и предложения
Популярные продукты:
HPV16 E7/Protein E7 ELISA Kit (KVV08902)
Организм: вирусы
Диапазон определения: 15.63 - 1,000 пг/мл
Чувствительность: 8.98 пг/мл
Диапазон определения: 15.63 - 1,000 пг/мл
Чувствительность: 8.98 пг/мл
ELISA Kit DIY Materials for Claudin 1 (CLDN1) (KSC388Hu01)
Организм: человек
Диапазон определения: 0.156-10 нг/мл
Чувствительность: 0.061 нг/мл
Диапазон определения: 0.156-10 нг/мл
Чувствительность: 0.061 нг/мл
Monoclonal Antibody to Myelin Basic Protein (MBP) (MAA539Hu24)
Источник (хозяин): мышь
Реактивность подтвержденная: человек
Валидировано для: ICC, IF
Реактивность подтвержденная: человек
Валидировано для: ICC, IF
Monkey Phosphatidylinositol 3 kinase ELISA kit (E09P0185)
Организм: обезьяна
Canine Cholesterol 25 hydroxylase(CH25H) ELISA kit (E08C1649)
Организм: собака

