| UNIPROT | Q96EV8 |
| Иммуноген | Рекомбинантный гибридный белок из человеческого DTNBP1 (NP_115498.2) |
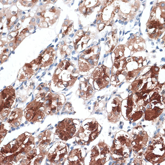
DTNBP1 Polyclonal Antibody (E-AB-66863)
Реактивность подтвержденная:
человек
Источник (хозяин):
кролик
Валидировано для:
IHC
Характеристики
Техническое описание
| Каталожный номер | E-AB-66863 |
| Название антигена | Dystrobrevin Binding Protein 1 (DTNBP1) |
| UNIPROT | Q96EV8 |
| Иммуноген | Рекомбинантный гибридный белок из человеческого DTNBP1 (NP_115498.2) |
| Английские синонимы | DBND, HPS7, My031, SDY, Dysbindin, Biogenesis of lysosome-related organelles complex 1 subunit 8, Hermansky-Pudlak syndrome 7 protein |
Реактивность подтвержденная Нужна другая реактивность? |
человек |
| Источник (хозяин) | кролик |
| Изотип | IgG |
| Клональность | поликлональное |
| Рекомбинантное | нет |
| Готовое к использованию | нет |
| Концентрация | 1мг/мл |
| Конъюгат | нет |
| Валидировано для | IHC Иммуногистохимия |
| Рекомендуемые разведения | IHC 1:50-1:200 |
| Метод очистки | Аффинная хроматография |
| Состав буфера | PBS с 0.02% азид натрия, 50% глицерин, pH7.3 |
| Условия доставки | термобокс с аккумуляторами холода |
| Условия хранения | Хранить при -20°C - 12 месяцев. Избегать повторяющихся циклов замораживания/оттаивания |
| Срок хранения | 12 месяцев |
| Производитель | Elabscience |
| Ссылка на страницу товара на сайте производителя | https://www.elabscience.com/p-dtnbp1_polyclonal_antibody-e_ab_66863 |
|
Артикул
|
Наименование |
Производитель
|
|---|
|
Артикул
|
Наименование |
Производитель
|
|---|
|
Артикул
|
Наименование |
Производитель
|
|---|
Акции и предложения
Популярные продукты:
ELISA Kit DIY Materials for Wingless Type MMTV Integration Site Family, Member 7B (WNT7B) (KSP546Hu01)
Организм: человек
Диапазон определения: 0.156-10 нг/мл
Чувствительность: 0.053 нг/мл
Диапазон определения: 0.156-10 нг/мл
Чувствительность: 0.053 нг/мл
Sheep Calicin(CCIN) ELISA kit (E14C1437)
Организм: овца
Rat DNA Methyltransferase 3beta ELISA kit (E02D0322)
Организм: крыса
Monkey Complement C1q subcomponent subunit A(C1QA) ELISA kit (E09C1234)
Организм: обезьяна
Rat Phospholipidase D ELISA kit (E02P0677)
Организм: крыса
Human Phospholipidase D ELISA kit (E01P0677)
Организм: человек
Диапазон определения: 1-25 нг/мл
Чувствительность: 0.1 нг/мл
Диапазон определения: 1-25 нг/мл
Чувствительность: 0.1 нг/мл

