| UNIPROT | P08709 |
| Иммуноген | Рекомбинантный гибридный белок из человеческого F7 |
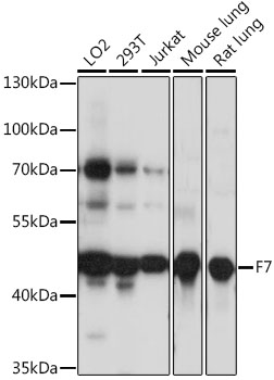
F7 Polyclonal Antibody (E-AB-91407)
Реактивность подтвержденная:
человек, мышь, крыса
Источник (хозяин):
кролик
Валидировано для:
WB
Характеристики
Техническое описание
| Каталожный номер | E-AB-91407 |
| Название антигена | Coagulation Factor VII (F7) |
| UNIPROT | P08709 |
| Иммуноген | Рекомбинантный гибридный белок из человеческого F7 |
| Английские синонимы | FVII, SPCA, proconvertin, Cothromboplastin, Serum Prothrombin Conversation Accelerator, Stable Factor, Eptacog alfa |
| Русские синонимы | Проконвертин |
Реактивность подтвержденная Нужна другая реактивность? |
человек, мышь, крыса |
| Источник (хозяин) | кролик |
| Изотип | IgG |
| Клональность | поликлональное |
| Рекомбинантное | нет |
| Готовое к использованию | нет |
| Концентрация | 1мг/мл |
| Конъюгат | нет |
| Валидировано для | WB Вестерн-блоттинг |
| Рекомендуемые разведения | WB 1:500-1:2000 |
| Метод очистки | Аффинная хроматография |
| Состав буфера | PBS с 0.01% тиомерсал,50% глицерин,pH7.3 |
| Условия доставки | термобокс с аккумуляторами холода |
| Условия хранения | Хранить при -20°C - 12 месяцев. Избегать повторяющихся циклов замораживания/оттаивания |
| Срок хранения | 12 месяцев |
| Производитель | Elabscience |
| Ссылка на страницу товара на сайте производителя | https://www.elabscience.com/p-f7_polyclonal_antibody-e_ab_91407 |
|
Артикул
|
Наименование |
Производитель
|
|---|
|
Артикул
|
Наименование |
Производитель
|
|---|
|
Артикул
|
Наименование |
Производитель
|
|---|
|
Артикул
|
Наименование |
Производитель
|
|---|
|
Артикул
|
Наименование |
Производитель
|
|---|
|
Артикул
|
Наименование |
Производитель
|
|---|
Акции и предложения
Популярные продукты:
ELISA Kit DIY Materials for B-Cell CLL/Lymphoma 2 Like Protein (Bcl2L) (KSE582Mu01)
Организм: мышь
Диапазон определения: 7.81-500 пг/мл
Чувствительность: 3.1 пг/мл
Диапазон определения: 7.81-500 пг/мл
Чувствительность: 3.1 пг/мл
Polyclonal Antibody to Immunoglobulin M (IgM) (PAA543Hu02)
Источник (хозяин): кролик
Реактивность подтвержденная: человек
Валидировано для: WB
Реактивность подтвержденная: человек
Валидировано для: WB
Rat Cerebellin 1 ELISA kit (E02C0910)
Организм: крыса
Human Cerebellin 1 ELISA kit (E01C0910)
Организм: человек
Диапазон определения: 0.5-10 нг/мл
Чувствительность: 0.1 нг/мл
Диапазон определения: 0.5-10 нг/мл
Чувствительность: 0.1 нг/мл

