| UNIPROT | P57087 |
| Иммуноген | Рекомбинантный гибридный белок из человеческого JAM2 |
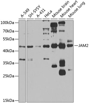
JAM2 Polyclonal Antibody (E-AB-90742)
Реактивность подтвержденная:
человек, мышь
Источник (хозяин):
кролик
Валидировано для:
WB
Характеристики
Техническое описание
| Каталожный номер | E-AB-90742 |
| Название антигена | Junctional Adhesion Molecule 2 (JAM2) |
| UNIPROT | P57087 |
| Иммуноген | Рекомбинантный гибридный белок из человеческого JAM2 |
| Английские синонимы | CD322, CD 322, CD-322, JAM-B, JAMB, VE-JAM, VEJAM, Junctional adhesion molecule B, Vascular endothelial junction-associated molecule |
| Русские синонимы | Кластер дифференцировки 322 |
Реактивность подтвержденная Нужна другая реактивность? |
человек, мышь |
| Источник (хозяин) | кролик |
| Изотип | IgG |
| Клональность | поликлональное |
| Рекомбинантное | нет |
| Готовое к использованию | нет |
| Концентрация | 1мг/мл |
| Конъюгат | нет |
| Валидировано для | WB Вестерн-блоттинг |
| Рекомендуемые разведения | WB 1:500-1:2000 |
| Метод очистки | Аффинная хроматография |
| Состав буфера | PBS с 0.02% азид натрия,50% глицерин,pH7.3 |
| Условия доставки | термобокс с аккумуляторами холода |
| Условия хранения | Хранить при -20°C - 12 месяцев. Избегать повторяющихся циклов замораживания/оттаивания |
| Срок хранения | 12 месяцев |
| Производитель | Elabscience |
| Ссылка на страницу товара на сайте производителя | https://www.elabscience.com/p-jam2_polyclonal_antibody-e_ab_90742 |
|
Артикул
|
Наименование |
Производитель
|
|---|
|
Артикул
|
Наименование |
Производитель
|
|---|
|
Артикул
|
Наименование |
Производитель
|
|---|
|
Артикул
|
Наименование |
Производитель
|
|---|
Акции и предложения
Популярные продукты:
ELISA Kit DIY Materials for Interleukin 12B (IL12B) (KSA058Hu01)
Организм: человек
Диапазон определения: 78-5000 пг/мл
Чувствительность: 33 пг/мл
Диапазон определения: 78-5000 пг/мл
Чувствительность: 33 пг/мл
Rat ADP ribosylation factor 1(ARF1) ELISA kit (E02A1624)
Организм: крыса
Bovine Coagulation Factor IX ELISA kit (E11F0017)
Организм: корова
Rabbit Coagulation Factor IX ELISA kit (E04F0017)
Организм: кролик
Monkey Carbonic Anhydrase II ELISA kit (E09C0621)
Организм: обезьяна
Rabbit Carbonic Anhydrase II ELISA kit (E04C0621)
Организм: кролик

