| UNIPROT | P68032 |
| Иммуноген | RPB341Hu01-Recombinant Actin Alpha 1, Cardiac Muscle (ACTC1) |
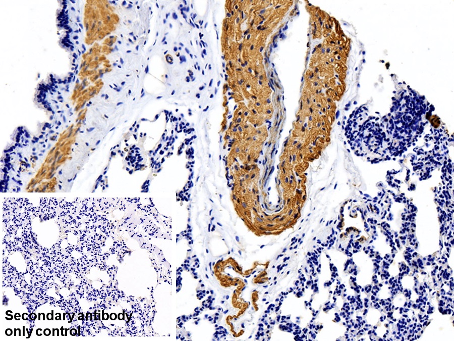
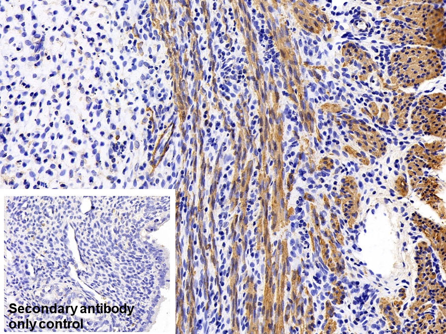
Monoclonal Antibody to Actin Alpha 1, Cardiac Muscle (ACTC1) (MAB341Hu27)
Реактивность подтвержденная:
человек
Источник (хозяин):
мышь
Валидировано для:
IHC
Характеристики
Техническое описание
| Русское название | MAB341Hu27 Моноклональное антитело к ACTC1 (человек) <Cloud-Clone,Китай> |
| Каталожный номер | MAB341Hu27 |
| Название антигена | Actin Alpha 1, Cardiac Muscle (ACTC1) |
| UNIPROT | P68032 |
| Иммуноген | RPB341Hu01-Recombinant Actin Alpha 1, Cardiac Muscle (ACTC1) |
| Английские синонимы | ACTC, CMD1R, CMD1-R, ACT-a1 |
Реактивность подтвержденная Нужна другая реактивность? |
человек |
| Источник (хозяин) | мышь |
| Изотип | IgG2b Kappa |
| Клональность | моноклональное |
| Клон | C8 |
| Рекомбинантное | нет |
| Готовое к использованию | нет |
| Концентрация | 1 мг/мл |
| Конъюгат | По запросу: HRP, biotin, PerCP, PE, Cy3, FITC, Cy7, Cy5.5, PE-Cy5, PE-Cy7, PerCp-Cy5.5, APC, Cy5, PE-Cy3, PE-Cy5.5, APC-Cy7, Biotin-APC, FITC-Biotin, TRITC, APC-Cy5, AF488, AF594, AF405, AF555, AF700, AF647, AF750 |
| Валидировано для | IHC Иммуногистохимия |
| Рекомендуемые разведения | WB: 0.2-2 мкг/мл; 1:500-5000; IHC: 5-20 мкг/мл; 1:50-200; ICC: 5-20 мкг/мл; 1:50-200; Оптимальное разведение определяется конечным потребителем |
| Метод очистки | Аффинная хроматография с белком А и белком G |
| Состав буфера | PBS, pH7.4, 0.02% NaN3, 50% глицерин |
| Условия доставки | термобокс с аккумуляторами холода |
| Условия хранения | Сразу после получения аликвотировать и хранить при -20ºС до 24 месяцев. Для частого использования хранить при +4ºС не более 2 недель. Избегать повторения циклов замерзания/оттаивания |
| Срок хранения | 24 месяца |
| Производитель | Cloud-Clone Corp. |
| Ссылка на страницу товара на сайте производителя | http://www.cloud-clone.com/products/MAB341Hu27.html |
|
Артикул
|
Наименование |
Производитель
|
|---|
|
Артикул
|
Наименование |
Производитель
|
|---|
|
Артикул
|
Наименование |
Производитель
|
|---|
|
Артикул
|
Наименование |
Производитель
|
|---|
Акции и предложения
Популярные продукты:
Guinea Pig Canalicular multispecific organic anion transporter 2(ABCC3) ELISA kit (E05C1179)
Организм: морская свинка
Orforglipron ELISA Kit (KDE40104)
Организм: человек
Диапазон определения: 78.125-5000 нг/мл
Чувствительность: 33.12 нг/мл
Диапазон определения: 78.125-5000 нг/мл
Чувствительность: 33.12 нг/мл
Anti-Methyltestosterone/MT Monoclonal Antibody (1A472) (MGN45602)
Источник (хозяин): мышь
Реактивность подтвержденная: для всех
Валидировано для: ELISA
Реактивность подтвержденная: для всех
Валидировано для: ELISA
Bovine Cystatin B (CSTB/CST6/STFB) ELISA kit (E11C2130)
Организм: корова
Canine Cystatin B (CSTB/CST6/STFB) ELISA kit (E08C2130)
Организм: собака
Goat Cystatin B (CSTB/CST6/STFB) ELISA kit (E06C2130)
Организм: коза

