| UNIPROT | Q14123 |
| Иммуноген | Рекомбинантный гибридный белок из человеческого PDE1C |
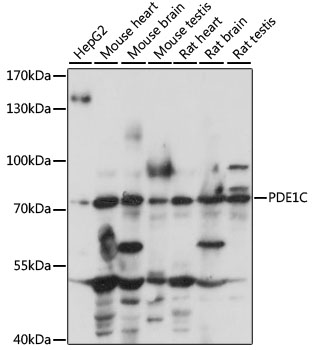
PDE1C Polyclonal Antibody (E-AB-91038)
Реактивность подтвержденная:
человек, мышь, крыса
Источник (хозяин):
кролик
Валидировано для:
WB
Характеристики
Техническое описание
| Каталожный номер | E-AB-91038 |
| Название антигена | Phosphodiesterase 1C, Calmodulin Dependent (PDE1C) |
| UNIPROT | Q14123 |
| Иммуноген | Рекомбинантный гибридный белок из человеческого PDE1C |
| Английские синонимы | Hcam3, Cam-PDE 1C, Calcium/calmodulin-dependent 3""",5"""-cyclic nucleotide phosphodiesterase 1C |
Реактивность подтвержденная Нужна другая реактивность? |
человек, мышь, крыса |
| Источник (хозяин) | кролик |
| Изотип | IgG |
| Клональность | поликлональное |
| Рекомбинантное | нет |
| Готовое к использованию | нет |
| Концентрация | 1мг/мл |
| Конъюгат | нет |
| Валидировано для | WB Вестерн-блоттинг |
| Рекомендуемые разведения | WB 1:500-1:2000 |
| Метод очистки | Аффинная хроматография |
| Состав буфера | PBS с 0.01% тиомерсал,50% глицерин,pH7.3 |
| Условия доставки | термобокс с аккумуляторами холода |
| Условия хранения | Хранить при -20°C - 12 месяцев. Избегать повторяющихся циклов замораживания/оттаивания |
| Срок хранения | 12 месяцев |
| Производитель | Elabscience |
| Ссылка на страницу товара на сайте производителя | https://www.elabscience.com/p-pde1c_polyclonal_antibody-e_ab_91038 |
|
Артикул
|
Наименование |
Производитель
|
|---|
|
Артикул
|
Наименование |
Производитель
|
|---|
Акции и предложения
Популярные продукты:
Canine β ureidopropionase (UPB1) ELISA kit (E08B0984)
Организм: собака
ELISA Kit for Steroidogenic Acute Regulatory Protein (STAR) (SEG512Hu)
Организм: человек
Диапазон определения: 0.156-10 нг/мл
Чувствительность: 0.064 нг/мл
Диапазон определения: 0.156-10 нг/мл
Чувствительность: 0.064 нг/мл
Multiplex Assay Kit for Cytochrome C Oxidase Subunit IV Isoform 1 (COX4I1) (LMD286Mu)
Организм: мышь
Диапазон определения: 0.05-50 нг/мл
Чувствительность: 0.017 нг/мл
Диапазон определения: 0.05-50 нг/мл
Чувствительность: 0.017 нг/мл
Polyclonal Antibody to Complement Component 3a (C3a) (PAA387Ca02)
Источник (хозяин): кролик
Реактивность подтвержденная: собака
Валидировано для: WB
Реактивность подтвержденная: собака
Валидировано для: WB
Bovine Cystinosin(CTNS) ELISA kit (E11C2155)
Организм: корова

