| UNIPROT | Q8K4F2 |
| Иммуноген | RPB356Ra01-Recombinant 15-Lipoxygenase-2 (15-LO-2) |
Polyclonal Antibody to 15-Lipoxygenase-2 (15-LO-2) (PAB356Ra01)
Реактивность подтвержденная:
крыса
Источник (хозяин):
кролик
Валидировано для:
IHC
Характеристики
Техническое описание
| Русское название | PAB356Ra01 Поликлональное антитело к 15-LO-2 (крыса) <Cloud-Clone,Китай> |
| Каталожный номер | PAB356Ra01 |
| Название антигена | Arachidonate-15-Lipoxygenase, Type B (ALOX15B) |
| UNIPROT | Q8K4F2 |
| Иммуноген | RPB356Ra01-Recombinant 15-Lipoxygenase-2 (15-LO-2) |
| Английские синонимы | LOX15B, 15-LOX-2, Arachidonate 15-lipoxygenase type II, Lipoxygenase 15, Type B, 15-lipoxygenase 2, Linoleate 13-lipoxygenase 15-LOb |
Реактивность подтвержденная Нужна другая реактивность? |
крыса |
| Источник (хозяин) | кролик |
| Клональность | поликлональное |
| Рекомбинантное | нет |
| Готовое к использованию | нет |
| Концентрация | 0.5 мг/мл |
| Конъюгат | По запросу: HRP, biotin, PerCP, PE, Cy3, FITC, Cy7, Cy5.5, PE-Cy5, PE-Cy7, PerCp-Cy5.5, APC, Cy5, PE-Cy3, PE-Cy5.5, APC-Cy7, Biotin-APC, FITC-Biotin, TRITC, APC-Cy5, AF488, AF594, AF405, AF555, AF700, AF647, AF750 |
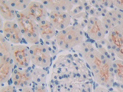
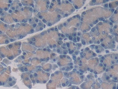
| Валидировано для | IHC Иммуногистохимия |
| Рекомендуемые разведения | WB: 0.5-2 мкг/мл; 1:350-1400; IHC: 5-20 мкг/мл; 1:35-140; ICC: 5-20 мкг/мл; 1:35-140; Оптимальное разведение определяется конечным потребителем |
| Метод очистки | Антигенспецифическая аффинная хроматография с последующей аффинной хроматографией с белком А |
| Состав буфера | 0.01M PBS, pH7.4, 0.05% Proclin-300, 50% глицерин |
| Условия доставки | термобокс с аккумуляторами холода |
| Условия хранения | Сразу после получения аликвотировать и хранить при -20ºС до 24 месяцев. Для частого использования хранить при +4ºС не более 2 недель. Избегать повторения циклов замерзания/оттаивания |
| Срок хранения | 24 месяца |
| Производитель | Cloud-Clone Corp. |
| Ссылка на страницу товара на сайте производителя | http://www.cloud-clone.com/products/PAB356Ra01.html |
|
Артикул
|
Наименование |
Производитель
|
|---|
|
Артикул
|
Наименование |
Производитель
|
|---|
|
Артикул
|
Наименование |
Производитель
|
|---|
|
Артикул
|
Наименование |
Производитель
|
|---|
Акции и предложения
Популярные продукты:
ELISA Kit DIY Materials for Podocalyxin (PODXL) (KSA768Ra01)
Организм: крыса
Диапазон определения: 0.156-10 нг/мл
Чувствительность: 0.057 нг/мл
Диапазон определения: 0.156-10 нг/мл
Чувствительность: 0.057 нг/мл
ELISA Kit DIY Materials for Fibrinogen (FG) (KSA193Ra01)
Организм: крыса
Диапазон определения: 12.5-800 нг/мл
Чувствительность: 4.9 нг/мл
Диапазон определения: 12.5-800 нг/мл
Чувствительность: 4.9 нг/мл
ELISA Kit for Anti-Apolipoprotein B Antibody (Anti-APOB) (AEC003Hu)
Организм: человек
Диапазон определения: 3.12-200 нг/мл
Чувствительность: 0.054 нг/мл
Диапазон определения: 3.12-200 нг/мл
Чувствительность: 0.054 нг/мл
Porcine Apolipoprotein B ELISA kit (E07A0513)
Организм: свинья
Porcine Osteoprotegerin ELISA kit (E07O0020)
Организм: свинья
Recombinant Human APOB/Apolipoprotein B-100 Protein (His Tag) (PKSH033763)
Источник (хозяин): E.coli
Организм: человек
Фрагмент: Glu28-Ser127
Теги: N-His
Биоактивность: нет
Организм: человек
Фрагмент: Glu28-Ser127
Теги: N-His
Биоактивность: нет

