| UNIPROT | P46527 |
| Иммуноген | RPE625Hu01-Recombinant Cyclin Dependent Kinase Inhibitor 1B (CDKN1B) |
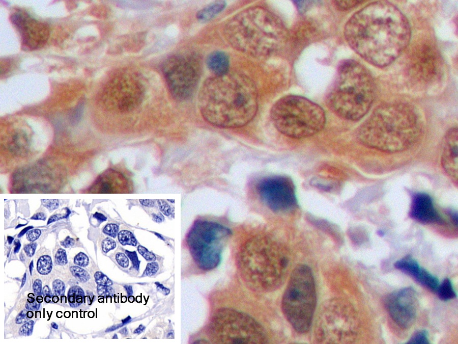
Polyclonal Antibody to Cyclin Dependent Kinase Inhibitor 1B (CDKN1B) (PAE625Hu01)
Реактивность подтвержденная:
человек
Источник (хозяин):
кролик
Валидировано для:
IHC
WB
Характеристики
Техническое описание
| Русское название | PAE625Hu01 Поликлональное антитело к CDKN1B (человек) <Cloud-Clone,Китай> |
| Каталожный номер | PAE625Hu01 |
| Название антигена | Cyclin Dependent Kinase Inhibitor 1B (CDKN1B) |
| UNIPROT | P46527 |
| Иммуноген | RPE625Hu01-Recombinant Cyclin Dependent Kinase Inhibitor 1B (CDKN1B) |
| Английские синонимы | CDKN4, KIP1, P27KIP1, p27, Cyclin-dependent kinase inhibitor p27 |
Реактивность подтвержденная Нужна другая реактивность? |
человек |
| Реактивность предсказываемая | мышь, крыса |
| Источник (хозяин) | кролик |
| Клональность | поликлональное |
| Рекомбинантное | нет |
| Готовое к использованию | нет |
| Концентрация | 0.5 мг/мл |
| Конъюгат | По запросу: HRP, biotin, PerCP, PE, Cy3, FITC, Cy7, Cy5.5, PE-Cy5, PE-Cy7, PerCp-Cy5.5, APC, Cy5, PE-Cy3, PE-Cy5.5, APC-Cy7, Biotin-APC, FITC-Biotin, TRITC, APC-Cy5, AF488, AF594, AF405, AF555, AF700, AF647, AF750 |
| Валидировано для | IHC WB Иммуногистохимия; Вестерн-блоттинг |
| Рекомендуемые разведения | WB: 0.01-2 мкг/мл; IHC: 5-20 мкг/мл; Оптимальное разведение определяется конечным потребителем |
| Метод очистки | Антигенспецифическая аффинная хроматография с последующей аффинной хроматографией с белком А |
| Состав буфера | 0.01M PBS, pH7.4, 0.05% Proclin-300, 50% глицерин |
| Условия доставки | термобокс с аккумуляторами холода |
| Условия хранения | Сразу после получения аликвотировать и хранить при -20ºС до 24 месяцев. Для частого использования хранить при +4ºС не более 2 недель. Избегать повторения циклов замерзания/оттаивания |
| Срок хранения | 24 месяца |
| Производитель | Cloud-Clone Corp. |
| Ссылка на страницу товара на сайте производителя | http://www.cloud-clone.com/products/PAE625Hu01.html |
|
Артикул
|
Наименование |
Производитель
|
|---|
|
Артикул
|
Наименование |
Производитель
|
|---|
|
Артикул
|
Наименование |
Производитель
|
|---|
|
Артикул
|
Наименование |
Производитель
|
|---|
|
Артикул
|
Наименование |
Производитель
|
|---|
Акции и предложения
Популярные продукты:
Anti-SFTSV NP/Nucleoprotein Antibody (SAb2391) (RVV40601)
Источник (хозяин): мышь
Реактивность подтвержденная: вирусы
Валидировано для: CLIA, ELISA, IHC, IP, WB
Реактивность подтвержденная: вирусы
Валидировано для: CLIA, ELISA, IHC, IP, WB
ELISA Kit DIY Materials for Integrin Associated Protein (IAP) (KSB014Mu01)
Организм: мышь
Диапазон определения: 0.312-20 нг/мл
Чувствительность: 0.112 нг/мл
Диапазон определения: 0.312-20 нг/мл
Чувствительность: 0.112 нг/мл
ELISA Kit DIY Materials for Dual Specificity Phosphatase 1 (DUSP1) (KSC902Hu01)
Организм: человек
Диапазон определения: 31.2-2000 пг/мл
Чувствительность: 12.2 пг/мл
Диапазон определения: 31.2-2000 пг/мл
Чувствительность: 12.2 пг/мл
ELISA Kit DIY Materials for Interleukin 17 (IL17) (KSA063Ca01)
Организм: собака
Диапазон определения: 15.6-1000 пг/мл
Чувствительность: 6.3 пг/мл
Диапазон определения: 15.6-1000 пг/мл
Чувствительность: 6.3 пг/мл
Monoclonal Antibody to Ubiquitin Cross Reactive Protein (UCRP) (MAL630Hu26)
Источник (хозяин): мышь
Реактивность подтвержденная: человек
Валидировано для: WB
Реактивность подтвержденная: человек
Валидировано для: WB
ELISA Kit for Solute Carrier Family 7, Member 9 (SLC7A9) (SEE419Hu)
Организм: человек
Диапазон определения: 1.56-100 нг/мл
Чувствительность: 0.057 нг/мл
Диапазон определения: 1.56-100 нг/мл
Чувствительность: 0.057 нг/мл

