| UNIPROT | P13521 |
| Иммуноген | Рекомбинантный гибридный белок из человеческого SCG2 |
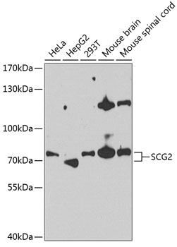
SCG2 Polyclonal Antibody (E-AB-90639)
Реактивность подтвержденная:
человек, мышь
Источник (хозяин):
кролик
Валидировано для:
WB
Характеристики
Техническое описание
| Каталожный номер | E-AB-90639 |
| Название антигена | Secretogranin II (SCG2) |
| UNIPROT | P13521 |
| Иммуноген | Рекомбинантный гибридный белок из человеческого SCG2 |
| Английские синонимы | SN, SgII, CHGC, Chromogranin C, Secretoneurin |
Реактивность подтвержденная Нужна другая реактивность? |
человек, мышь |
| Источник (хозяин) | кролик |
| Изотип | IgG |
| Клональность | поликлональное |
| Рекомбинантное | нет |
| Готовое к использованию | нет |
| Концентрация | 1мг/мл |
| Конъюгат | нет |
| Валидировано для | WB Вестерн-блоттинг |
| Рекомендуемые разведения | WB 1:500-1:2000 |
| Метод очистки | Аффинная хроматография |
| Состав буфера | PBS с 0.02% азид натрия,50% глицерин,pH7.3 |
| Условия доставки | термобокс с аккумуляторами холода |
| Условия хранения | Хранить при -20°C - 12 месяцев. Избегать повторяющихся циклов замораживания/оттаивания |
| Срок хранения | 12 месяцев |
| Производитель | Elabscience |
| Ссылка на страницу товара на сайте производителя | https://www.elabscience.com/p-scg2_polyclonal_antibody-e_ab_90639 |
|
Артикул
|
Наименование |
Производитель
|
|---|
|
Артикул
|
Наименование |
Производитель
|
|---|
|
Артикул
|
Наименование |
Производитель
|
|---|
|
Артикул
|
Наименование |
Производитель
|
|---|
Акции и предложения
Популярные продукты:
Anti-Transforming Growth Factor Alpha (TGFa) Monoclonal Antibody (FAA123Hu08)
Источник (хозяин): мышь
Реактивность подтвержденная: человек
Валидировано для: FCM
Реактивность подтвержденная: человек
Валидировано для: FCM
Human Cyclosporine A ELISA kit (E01C0832)
Организм: человек
Диапазон определения: 5-100 нг/мл
Чувствительность: 1 нг/мл
Диапазон определения: 5-100 нг/мл
Чувствительность: 1 нг/мл
Monkey SET domain containing 1B ELISA kit (E09S0800)
Организм: обезьяна

