| UNIPROT | O15105 |
| Иммуноген | Синтетический пептид, соответствующий человеческому SMAD7 |
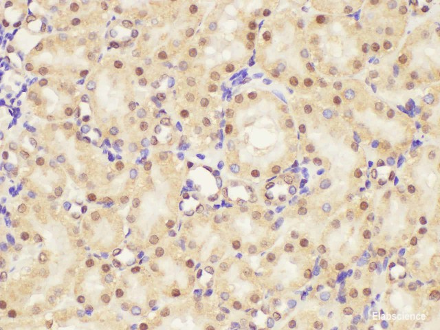
SMAD7 Polyclonal Antibody (E-AB-53271)
Реактивность подтвержденная:
человек, мышь, крыса
Источник (хозяин):
кролик
Валидировано для:
IHC
WB
Характеристики
Техническое описание
| Каталожный номер | E-AB-53271 |
| Название антигена | Mothers Against Decapentaplegic Homolog 7 (Smad7) |
| UNIPROT | O15105 |
| Иммуноген | Синтетический пептид, соответствующий человеческому SMAD7 |
| Английские синонимы | MADH7, MADH8, Mothers against DPP homolog 8 |
Реактивность подтвержденная Нужна другая реактивность? |
человек, мышь, крыса |
| Источник (хозяин) | кролик |
| Изотип | IgG |
| Клональность | поликлональное |
| Рекомбинантное | нет |
| Готовое к использованию | нет |
| Концентрация | 1.14 мг/мл |
| Конъюгат | нет |
| Валидировано для | IHC WB Иммуногистохимия; Вестерн-блоттинг |
| Рекомендуемые разведения | WB 1:500-1:2000; IHC 1:40-1:200 |
| Метод очистки | Аффинная очистка с антигеном |
| Состав буфера | PBS с 0.05% NaN3 и 40% глицерин,pH7.4 |
| Условия доставки | термобокс с аккумуляторами холода |
| Условия хранения | Хранить при -20°C - 12 месяцев. Избегать повторяющихся циклов замораживания/оттаивания |
| Срок хранения | 12 месяцев |
| Производитель | Elabscience |
| Ссылка на страницу товара на сайте производителя | https://www.elabscience.com/p-smad7_polyclonal_antibody-e_ab_53271 |
|
Артикул
|
Наименование |
Производитель
|
|---|
|
Артикул
|
Наименование |
Производитель
|
|---|
|
Артикул
|
Наименование |
Производитель
|
|---|
|
Артикул
|
Наименование |
Производитель
|
|---|
Акции и предложения
Популярные продукты:
Cell Hydrogen Sulfide (H2S) Fluorometric Assay Kit (E-BC-F103)
Организм: для всех
Monkey Paired Box Protein Pax-7 ELISA Kit (E09P1242)
Организм: обезьяна
Monkey Stabilin 1 ELISA kit (E09S0862)
Организм: обезьяна
Monkey Glucagon ELISA kit (E09G0101)
Организм: обезьяна
Rabbit Glucagon ELISA kit (E04G0101)
Организм: кролик
Mouse Glucagon ELISA kit (E03G0101)
Организм: мышь
Диапазон определения: 100-2500 пг/мл
Чувствительность: 1 пг/мл
Диапазон определения: 100-2500 пг/мл
Чувствительность: 1 пг/мл

