| UNIPROT | P62736 |
| Иммуноген | Рекомбинантный белок, соответствующий мышиному α smooth muscle actin |
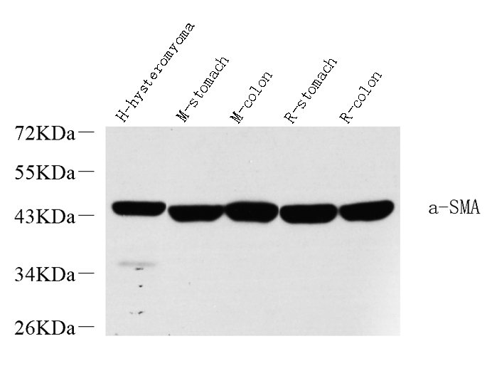
ACTA2 Polyclonal Antibody (E-AB-70226)
Реактивность подтвержденная:
человек, мышь, крыса
Источник (хозяин):
кролик
Валидировано для:
WB
Характеристики
Техническое описание
| Каталожный номер | E-AB-70226 |
| Название антигена | Actin Alpha 2, Smooth Muscle (ACTa2) |
| UNIPROT | P62736 |
| Иммуноген | Рекомбинантный белок, соответствующий мышиному α smooth muscle actin |
| Английские синонимы | ACT-A2, ACTSA, ACTVS, Asma, GIG46, Cell growth-inhibiting gene 46 protein, α-SMA |
Реактивность подтвержденная Нужна другая реактивность? |
человек, мышь, крыса |
| Источник (хозяин) | кролик |
| Изотип | IgG |
| Клональность | поликлональное |
| Рекомбинантное | нет |
| Готовое к использованию | нет |
| Концентрация | 180 мкг/мл |
| Конъюгат | нет |
| Валидировано для | WB Вестерн-блоттинг |
| Рекомендуемые разведения | WB 1:1000-1:3000 |
| Метод очистки | Аффинная хроматография |
| Состав буфера | PBS с 0.02% азид натрия, 1% стабилизирующий белок и 50% глицерин, pH7.4 |
| RRID | AB_558528 |
| Условия доставки | термобокс с аккумуляторами холода |
| Условия хранения | Хранить при -20°C - 12 месяцев. Избегать повторяющихся циклов замораживания/оттаивания |
| Срок хранения | 12 месяцев |
| Производитель | Elabscience |
| Ссылка на страницу товара на сайте производителя | https://www.elabscience.com/p-acta2_polyclonal_antibody-e_ab_70226 |
|
Артикул
|
Наименование |
Производитель
|
|---|
|
Артикул
|
Наименование |
Производитель
|
|---|
|
Артикул
|
Наименование |
Производитель
|
|---|
|
Артикул
|
Наименование |
Производитель
|
|---|
|
Артикул
|
Наименование |
Производитель
|
|---|
|
Артикул
|
Наименование |
Производитель
|
|---|
|
Артикул
|
Наименование |
Производитель
|
|---|
|
Артикул
|
Наименование |
Производитель
|
|---|
|
Артикул
|
Наименование |
Производитель
|
|---|
Акции и предложения
Популярные продукты:
SLC47A2 Mouse Monoclonal Antibody (BF8670)
Источник (хозяин): мышь
Реактивность подтвержденная: человек
Валидировано для: WB
Реактивность подтвержденная: человек
Валидировано для: WB
Anti-Indoxyl Sulfate/IS Antibody (SAb2280) (RGP15401)
Источник (хозяин): мышь
Реактивность подтвержденная: для всех
Валидировано для: ELISA, IHC
Реактивность подтвержденная: для всех
Валидировано для: ELISA, IHC
Anti-HPIV3 F/Fusion glycoprotein F0 Antibody (Fs0343) (RVV33705)
Источник (хозяин): человек
Реактивность подтвержденная: вирусы
Валидировано для: ELISA, NEUT
Реактивность подтвержденная: вирусы
Валидировано для: ELISA, NEUT
Anti-Estriol/E3 Antibody (R4E05) (RGK61504)
Источник (хозяин): овца
Реактивность подтвержденная: для всех
Валидировано для: CLIA, ELISA
Реактивность подтвержденная: для всех
Валидировано для: CLIA, ELISA
Anti-BECN1 Antibody (m1A02) (RHG80203)
Источник (хозяин): кролик
Реактивность подтвержденная: человек, мышь, крыса
Валидировано для: ELISA, IF, IHC, IP, WB
Реактивность подтвержденная: человек, мышь, крыса
Валидировано для: ELISA, IF, IHC, IP, WB
Anti-Catechol-O-Methyltransferase (COMT) Monoclonal Antibody (FAJ365Hu02)
Источник (хозяин): мышь
Реактивность подтвержденная: человек
Валидировано для: FCM
Реактивность подтвержденная: человек
Валидировано для: FCM

