| UNIPROT | Q6UY14 |
| Иммуноген | Рекомбинантный гибридный белок из человеческого ADAMTSL4 |
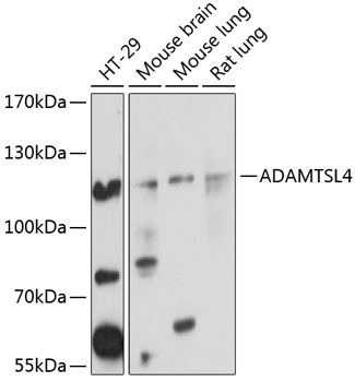
ADAMTSL4 Polyclonal Antibody (E-AB-92612)
Реактивность подтвержденная:
человек, мышь, крыса
Источник (хозяин):
кролик
Валидировано для:
WB
Характеристики
Техническое описание
| Каталожный номер | E-AB-92612 |
| Название антигена | A Disintegrin And Metalloproteinase With Thrombospondin Like Protein 4 (ADAMTSL4) |
| UNIPROT | Q6UY14 |
| Иммуноген | Рекомбинантный гибридный белок из человеческого ADAMTSL4 |
| Английские синонимы | TSRC1, Thrombospondin Repeat Containing 1 |
Реактивность подтвержденная Нужна другая реактивность? |
человек, мышь, крыса |
| Источник (хозяин) | кролик |
| Изотип | IgG |
| Клональность | поликлональное |
| Рекомбинантное | нет |
| Готовое к использованию | нет |
| Концентрация | 1мг/мл |
| Конъюгат | нет |
| Валидировано для | WB Вестерн-блоттинг |
| Рекомендуемые разведения | WB 1:500-1:2000 |
| Метод очистки | Аффинная хроматография |
| Состав буфера | PBS с 0.02% азид натрия,50% глицерин,pH7.3 |
| Условия доставки | термобокс с аккумуляторами холода |
| Условия хранения | Хранить при -20°C - 12 месяцев. Избегать повторяющихся циклов замораживания/оттаивания |
| Срок хранения | 12 месяцев |
| Производитель | Elabscience |
| Ссылка на страницу товара на сайте производителя | https://www.elabscience.com/p-adamtsl4_polyclonal_antibody-e_ab_92612 |
|
Артикул
|
Наименование |
Производитель
|
|---|
Акции и предложения
Популярные продукты:
Anti-DERP2 Antibody (SAA0635) (RXX51814)
Источник (хозяин): человек
Реактивность подтвержденная: паукообразные
Валидировано для: ELISA, SPR
Реактивность подтвержденная: паукообразные
Валидировано для: ELISA, SPR
ADAMTSL4 Polyclonal Antibody (E-AB-92612)
Источник (хозяин): кролик
Реактивность подтвержденная: человек, мышь, крыса
Валидировано для: WB
Реактивность подтвержденная: человек, мышь, крыса
Валидировано для: WB
Mitochondrial Complex Ⅲ (Coenzyme Q-Cytochrome c Reductase) Activity Assay Kit (E-BC-K151-M)
Организм: для всех
Диапазон определения: 4.45–106.8 Ед/л
Чувствительность: 4.45 Ед/л
Диапазон определения: 4.45–106.8 Ед/л
Чувствительность: 4.45 Ед/л
Anti-Etanercept Neutralizing Antibody ELISA kit (KAB94451)
Организм: человек
Диапазон определения: 15.625-1000 нг/мл
Диапазон определения: 15.625-1000 нг/мл
Anti-Human CD273/PD-L2/PDCD1LG2 Antibody (24F.10C12), PE (FHJ48512)
Источник (хозяин): мышь
Реактивность подтвержденная: человек
Валидировано для: FCM
Реактивность подтвержденная: человек
Валидировано для: FCM
Anti-Human CD6 Antibody (T1h) (FHD87610)
Источник (хозяин): человек
Реактивность подтвержденная: человек
Валидировано для: FCM
Реактивность подтвержденная: человек
Валидировано для: FCM

