| UNIPROT | P18089 |
| Иммуноген | Синтетический пептид, соответствующий человеческому ADRA2B (NP_000673.2) |
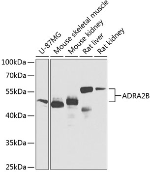
ADRA2B Polyclonal Antibody (E-AB-62614)
Реактивность подтвержденная:
человек, мышь, крыса
Источник (хозяин):
кролик
Валидировано для:
WB
Характеристики
Техническое описание
| Каталожный номер | E-AB-62614 |
| Название антигена | Adrenergic Receptor Alpha 2B (ADRa2B) |
| UNIPROT | P18089 |
| Иммуноген | Синтетический пептид, соответствующий человеческому ADRA2B (NP_000673.2) |
| Английские синонимы | ADRA2L1, ADRA2RL1, ADRARL1, ALPHA2BAR, Alpha-2 adrenergic receptor subtype C2, Alpha-2B adrenoreceptor |
Реактивность подтвержденная Нужна другая реактивность? |
человек, мышь, крыса |
| Источник (хозяин) | кролик |
| Изотип | IgG |
| Клональность | поликлональное |
| Рекомбинантное | нет |
| Готовое к использованию | нет |
| Концентрация | 1мг/мл |
| Конъюгат | нет |
| Валидировано для | WB Вестерн-блоттинг |
| Рекомендуемые разведения | WB 1:500-1:2000 |
| Метод очистки | Аффинная хроматография |
| Состав буфера | PBS с 0.02% азид натрия, 50% глицерин, pH7.3 |
| RRID | AB_528088 |
| Условия доставки | термобокс с аккумуляторами холода |
| Условия хранения | Хранить при -20°C - 12 месяцев. Избегать повторяющихся циклов замораживания/оттаивания |
| Срок хранения | 12 месяцев |
| Производитель | Elabscience |
| Ссылка на страницу товара на сайте производителя | https://www.elabscience.com/p-adra2b_polyclonal_antibody-e_ab_62614 |
|
Артикул
|
Наименование |
Производитель
|
|---|
Акции и предложения
Популярные продукты:
Anti-Albumin/Alb Antibody (R4E22) (RHC01411)
Источник (хозяин): кролик
Реактивность подтвержденная: человек, мышь, крыса
Валидировано для: ELISA, IF, IHC, IP, WB
Реактивность подтвержденная: человек, мышь, крыса
Валидировано для: ELISA, IF, IHC, IP, WB
Bovine Engrailed Homeobox Protein 2 ELISA kit (E11E0151)
Организм: корова
Guinea Pig Centrobin(CNTROB) ELISA kit (E05C1877)
Организм: морская свинка
Canine 26S protease regulatory subunit 8 ELISA kit (E08P0914)
Организм: собака
Canine Centrosomal protein of 70 kDa(CEP70) ELISA kit (E08C0957)
Организм: собака

