| UNIPROT | Q16186 |
| Иммуноген | Гибридный белок, соответствующий человеческому ADRM1 |
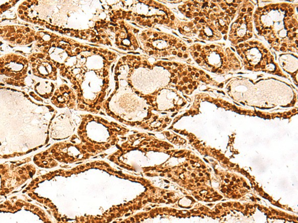
ADRM1 Polyclonal Antibody (E-AB-52740)
Реактивность подтвержденная:
человек, мышь, крыса
Источник (хозяин):
кролик
Валидировано для:
IHC
Характеристики
Техническое описание
| Каталожный номер | E-AB-52740 |
| Название антигена | Adhesion Regulating Molecule 1 (ADRM1) |
| UNIPROT | Q16186 |
| Иммуноген | Гибридный белок, соответствующий человеческому ADRM1 |
| Английские синонимы | GP110, Rpn13, Proteasomal Ubiquitin Receptor ADRM1, 110 kDa cell membrane glycoprotein, Proteasome regulatory particle non-ATPase 13 |
Реактивность подтвержденная Нужна другая реактивность? |
человек, мышь, крыса |
| Источник (хозяин) | кролик |
| Изотип | IgG |
| Клональность | поликлональное |
| Рекомбинантное | нет |
| Готовое к использованию | нет |
| Концентрация | 0.54 мг/мл |
| Конъюгат | нет |
| Валидировано для | IHC Иммуногистохимия |
| Рекомендуемые разведения | IHC 1:40-1:200 |
| Метод очистки | Аффинная очистка с антигеном |
| Состав буфера | PBS с 0.05% NaN3 и 40% глицерин,pH7.4 |
| Условия доставки | термобокс с аккумуляторами холода |
| Условия хранения | Хранить при -20°C - 12 месяцев. Избегать повторяющихся циклов замораживания/оттаивания |
| Срок хранения | 12 месяцев |
| Производитель | Elabscience |
| Ссылка на страницу товара на сайте производителя | https://www.elabscience.com/p-adrm1_polyclonal_antibody-e_ab_52740 |
|
Артикул
|
Наименование |
Производитель
|
|---|
|
Артикул
|
Наименование |
Производитель
|
|---|
Акции и предложения
Популярные продукты:
Canine Valproic Acid ELISA kit (E08V0432)
Организм: собака
Sheep Carboxypeptidase E(CPE) ELISA kit (E14C1997)
Организм: овца
Human Desmin(DES) ELISA kit (E01D0282)
Организм: человек
Диапазон определения: 10-250 нг/мл
Чувствительность: 1 нг/мл
Диапазон определения: 10-250 нг/мл
Чувствительность: 1 нг/мл
Anti-TMOD1 Polyclonal Antibody (PHD77501)
Источник (хозяин): кролик
Реактивность подтвержденная: человек, мышь, крыса
Валидировано для: ELISA, IHC, WB
Реактивность подтвержденная: человек, мышь, крыса
Валидировано для: ELISA, IHC, WB
Anti-DES/Desmin Polyclonal Antibody (PHD25501)
Источник (хозяин): кролик
Реактивность подтвержденная: человек, мышь, крыса
Валидировано для: ELISA, IHC, WB
Реактивность подтвержденная: человек, мышь, крыса
Валидировано для: ELISA, IHC, WB

