| UNIPROT | O94788 |
| Иммуноген | Синтетический пептид, соответствующий человеческому ALDH1A2 |
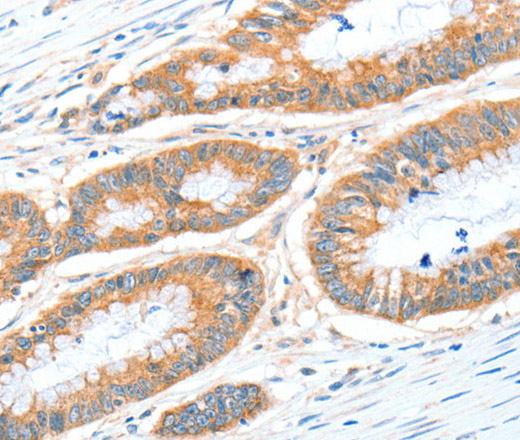
ALDH1A2 Polyclonal Antibody (E-AB-12959)
Реактивность подтвержденная:
человек, мышь, крыса
Источник (хозяин):
кролик
Валидировано для:
IHC
Характеристики
Техническое описание
| Каталожный номер | E-AB-12959 |
| Название антигена | Aldehyde Dehydrogenase 1 Family, Member A2 (ALDH1A2) |
| UNIPROT | O94788 |
| Иммуноген | Синтетический пептид, соответствующий человеческому ALDH1A2 |
| Английские синонимы | RALDH(II), RALDH2, RALDH2-T, Retinaldehyde Dehydrogenase 2, Retinal dehydrogenase 2, Retinaldehyde-specific dehydrogenase type 2 |
Реактивность подтвержденная Нужна другая реактивность? |
человек, мышь, крыса |
| Источник (хозяин) | кролик |
| Изотип | IgG |
| Клональность | поликлональное |
| Рекомбинантное | нет |
| Готовое к использованию | нет |
| Концентрация | 0.3 мг/мл |
| Конъюгат | нет |
| Валидировано для | IHC Иммуногистохимия |
| Рекомендуемые разведения | IHC 1:50-1:200 |
| Метод очистки | Аффинная хроматография |
| Состав буфера | PBS с 0.05% азид натрия и 50% глицерин, PH7.4 |
| RRID | AB_533100 |
| Условия доставки | термобокс с аккумуляторами холода |
| Условия хранения | Хранить при -20°C - 12 месяцев. Избегать повторяющихся циклов замораживания/оттаивания |
| Срок хранения | 12 месяцев |
| Производитель | Elabscience |
| Ссылка на страницу товара на сайте производителя | https://www.elabscience.com/p-aldh1a2_polyclonal_antibody-e_ab_12959 |
|
Артикул
|
Наименование |
Производитель
|
|---|
|
Артикул
|
Наименование |
Производитель
|
|---|
Акции и предложения
Популярные продукты:
Anti-Plant Actin Monoclonal Antibody (1A494) (MZZ06501)
Источник (хозяин): мышь
Реактивность подтвержденная: растения
Валидировано для: WB
Реактивность подтвержденная: растения
Валидировано для: WB
Chicken Transcription factor SOX-1(SOX1) ELISA kit (E12T0642)
Организм: курица
Recombinant Human LTBR/TNFRSF3 Protein (His Tag) (PKSH032719)
Источник (хозяин): HEK293
Организм: человек
Фрагмент: Gln31-Met227
Теги: C-His
Биоактивность: нет
Организм: человек
Фрагмент: Gln31-Met227
Теги: C-His
Биоактивность: нет
Anti-RSV F/Fusion glycoprotein F0 Antibody (4D7) (RVV02817)
Источник (хозяин): мышь
Реактивность подтвержденная: вирусы
Валидировано для: ELISA, SPR
Реактивность подтвержденная: вирусы
Валидировано для: ELISA, SPR

