| UNIPROT | P46098 |
Anti-5HT3/HTR3A Antibody (R3L50) (RHE47403)
Реактивность подтвержденная:
человек
Источник (хозяин):
мышь
Валидировано для:
ELISA
FCM
IF
IHC
Характеристики
Техническое описание
| Русское название | RHE47403 Моноклональное антитело к 5HT3/HTR3A (R3L50) <AntibodySystem,Китай> |
| Каталожный номер | RHE47403 |
| Название антигена | 5-Hydroxytryptamine Receptor 3A (HTR3A) |
| UNIPROT | P46098 |
| Английские синонимы | HTR3, 5-HT-3, 5-HT3A, 5-HT3R, 5HT3R, Serotonin Receptor 3A, Serotonin-gated ion channel receptor |
| Русские синонимы | Серотониновый рецептор 3А |
Реактивность подтвержденная Нужна другая реактивность? |
человек |
| Источник (хозяин) | мышь |
| Изотип | IgG2a |
| Клональность | моноклональное |
| Клон | R3L50 |
| Рекомбинантное | да |
| Готовое к использованию | нет |
| Концентрация | 1 мг/мл |
| Конъюгат | нет |
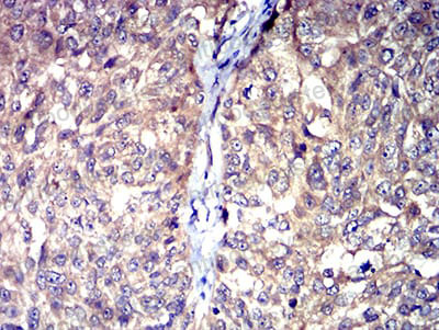
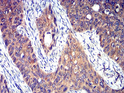
| Валидировано для | ELISA FCM IF IHC Иммуноферментный анализ; Проточная цитометрия; Иммунофлуоресценция; Иммуногистохимия |
| Рекомендуемые разведения | ELISA: 1:10000, FCM: 1:200-1:400, IF: 1:100-1:500, IHC: 1:200-1:1000 |
| Метод очистки | Очистка с белками A/G из супернатанта клеточной культуры |
| Чистота | >95% |
| Состав буфера | 0.01M PBS, pH 7.4, 0.05% натрия азид |
| Условия хранения | Хранить при 4°C не более 1-2 недель. Хранить при -20°C - 12 месяцев |
| Срок хранения | 12 месяцев |
| Производитель | AntibodySystem |
| Ссылка на страницу товара на сайте производителя | https://www.antibodysystem.com/product/35722.html |
|
Артикул
|
Наименование |
Производитель
|
|---|
|
Артикул
|
Наименование |
Производитель
|
|---|
|
Артикул
|
Наименование |
Производитель
|
|---|
|
Артикул
|
Наименование |
Производитель
|
|---|
Акции и предложения
Популярные продукты:
Porcine ATP binding cassette transpoter G2 ELISA kit (E07A0694)
Организм: свинья
Porcine Somatostatin ELISA kit (E07S0192)
Организм: свинья
Диапазон определения: 25-500 пг/мл
Чувствительность: 1 пг/мл
Диапазон определения: 25-500 пг/мл
Чувствительность: 1 пг/мл
Recombinant Human ABCG2 Protein(Gst Tag) (PDEH100635)
Источник (хозяин): E.coli
Организм: человек
Фрагмент: Asn557-His630
Теги: N-Gst
Биоактивность: нет
Организм: человек
Фрагмент: Asn557-His630
Теги: N-Gst
Биоактивность: нет
Recombinant Pig GRIN1/NMDAR1 Protein, N-His & C-strep (YPG05301)
Источник (хозяин): E.coli
Организм: свинья
Фрагмент: Asp23-His371
Теги: N-His & C-strep
Биоактивность: нет
Организм: свинья
Фрагмент: Asp23-His371
Теги: N-His & C-strep
Биоактивность: нет
Recombinant Human HTR2C Protein, N-His-KSI (YHD78501)
Источник (хозяин): E.coli
Организм: человек
Фрагмент: Leu236-Lys311
Теги: N-His-KSI
Биоактивность: нет
Организм: человек
Фрагмент: Leu236-Lys311
Теги: N-His-KSI
Биоактивность: нет

