| UNIPROT | Q9BYF1 |
Anti-ACE2 Antibody (R2K09) (RHJ51602)
Реактивность подтвержденная:
человек, мышь, крыса
Источник (хозяин):
кролик
Валидировано для:
IF
IHC
IP
WB
Характеристики
Техническое описание
| Русское название | RHJ51602 Моноклональное антитело к ACE2 (R2K09) <AntibodySystem,Китай> |
| Каталожный номер | RHJ51602 |
| Название антигена | Angiotensin I Converting Enzyme 2 (ACE2) |
| UNIPROT | Q9BYF1 |
| Английские синонимы | ACEH, ACEII, ACE-II, Peptidyl-Dipeptidase A, ACE-related carboxypeptidase, Angiotensin-converting enzyme homolog, Metalloprotease MPROT15 |
Реактивность подтвержденная Нужна другая реактивность? |
человек, мышь, крыса |
| Источник (хозяин) | кролик |
| Изотип | IgG |
| Клональность | моноклональное |
| Клон | R2K09 |
| Рекомбинантное | да |
| Готовое к использованию | нет |
| Концентрация | 1 мг/мл |
| Конъюгат | нет |
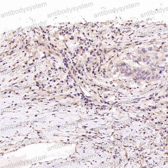
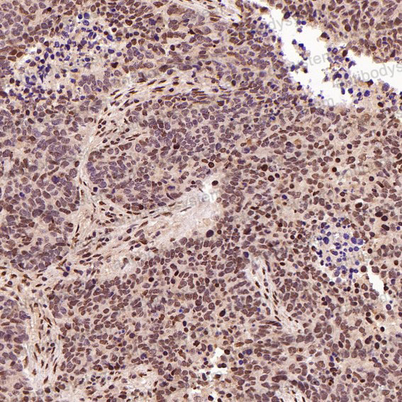
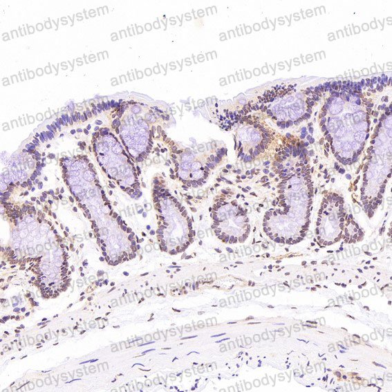
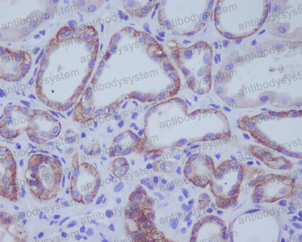
| Валидировано для | IF IHC IP WB Иммунофлуоресценция; Иммуногистохимия; Иммунопреципитация; Вестерн-блоттинг |
| Рекомендуемые разведения | IF: 1:50-1:200, IHC: 1:100-1:200, IP: 1:20-1:50, WB: 1:1000-1:2000 |
| Метод очистки | Очистка с белками A/G из супернатанта клеточной культуры |
| Чистота | >95% |
| Состав буфера | 0.01M PBS, pH 7.4, 0.05% БСА, 50% глицерин, 0.05% азид натрия |
| Условия доставки | термобокс с аккумуляторами холода |
| Условия хранения | Хранить при -20 С -12 месяцев |
| Срок хранения | 12 месяцев |
| Производитель | AntibodySystem |
| Ссылка на страницу товара на сайте производителя | https://www.antibodysystem.com/product/32929.html |
|
Артикул
|
Наименование |
Производитель
|
|---|
|
Артикул
|
Наименование |
Производитель
|
|---|
|
Артикул
|
Наименование |
Производитель
|
|---|
|
Артикул
|
Наименование |
Производитель
|
|---|
Акции и предложения
Популярные продукты:
Monkey Coactosin like protein(COTL1) ELISA kit (E09C1959)
Организм: обезьяна
Goat Transgelin 2 ELISA kit (E06T0896)
Организм: коза
Human 60S ribosomal protein L9(RPL9) ELISA kit (E01R0470)
Организм: человек
Диапазон определения: 1-25 нг/мл
Чувствительность: 0.1 нг/мл
Диапазон определения: 1-25 нг/мл
Чувствительность: 0.1 нг/мл
Rat Casein kinase I isoform delta(CSNK1D) ELISA kit (E02C2103)
Организм: крыса
Goat Complement Component 8b ELISA kit (E06C0355)
Организм: коза
Recombinant Human DYNC1I1 Protein, N-His (YHA22801)
Источник (хозяин): E.coli
Организм: человек
Фрагмент: Leu273-Gly608
Теги: N-His
Биоактивность: нет
Организм: человек
Фрагмент: Leu273-Gly608
Теги: N-His
Биоактивность: нет

