| UNIPROT | Q9Y653 |
Anti-ADGRG1 Antibody (R4B87) (RHN97901)
Реактивность подтвержденная:
человек
Источник (хозяин):
мышь
Валидировано для:
ELISA
FCM
IHC
Характеристики
Техническое описание
| Русское название | RHN97901 Моноклональное антитело к ADGRG1 (R4B87) <AntibodySystem,Китай> |
| Каталожный номер | RHN97901 |
| Название антигена | G Protein Coupled Receptor 56 (GPR56) |
| UNIPROT | Q9Y653 |
| Английские синонимы | BFPP, TM7LN4, TM7XN1, GPR56 seven-transmembrane subunit |
Реактивность подтвержденная Нужна другая реактивность? |
человек |
| Источник (хозяин) | мышь |
| Изотип | IgG1 |
| Клональность | моноклональное |
| Клон | R4B87 |
| Рекомбинантное | да |
| Готовое к использованию | нет |
| Концентрация | 1 мг/мл |
| Конъюгат | нет |
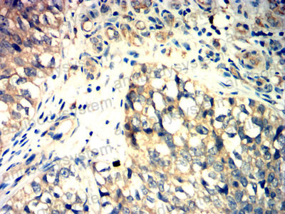
| Валидировано для | ELISA FCM IHC Иммуноферментный анализ; Проточная цитометрия; Иммуногистохимия |
| Рекомендуемые разведения | ELISA: 1:10000, FCM: 1:200-1:400, IHC: 1:200-1:1000 |
| Метод очистки | Очистка с белками A/G из супернатанта клеточной культуры |
| Чистота | >95% |
| Состав буфера | 0.01M PBS, pH 7.4, 0.05% натрия азид |
| Условия хранения | Хранить при 4°C не более 1-2 недель. Хранить при -20°C - 12 месяцев |
| Срок хранения | 12 месяцев |
| Производитель | AntibodySystem |
| Ссылка на страницу товара на сайте производителя | https://www.antibodysystem.com/product/37243.html |
|
Артикул
|
Наименование |
Производитель
|
|---|
Акции и предложения
Популярные продукты:
Mouse Kallikrein 2 ELISA kit (E03K0077)
Организм: мышь
Human Kallikrein 2 ELISA kit (E01K0077)
Организм: человек
Диапазон определения: 100-2500 пг/мл
Чувствительность: 1 пг/мл
Диапазон определения: 100-2500 пг/мл
Чувствительность: 1 пг/мл
InVivoMAb Anti-Mouse CD309/VEGFR-2 Antibody (DC101) (VME16601)
Источник (хозяин): крыса
Реактивность подтвержденная: мышь
Валидировано для: ELISA, FuncS
Реактивность подтвержденная: мышь
Валидировано для: ELISA, FuncS
Anti-Human FADS2 Polyclonal Antibody (PHB77601)
Источник (хозяин): кролик
Реактивность подтвержденная: человек
Валидировано для: ELISA, IHC, WB
Реактивность подтвержденная: человек
Валидировано для: ELISA, IHC, WB
Bovine Bloom syndrome protein(BLM) ELISA kit (E11B0804)
Организм: корова
Rat Bloom syndrome protein(BLM) ELISA kit (E02B0804)
Организм: крыса

