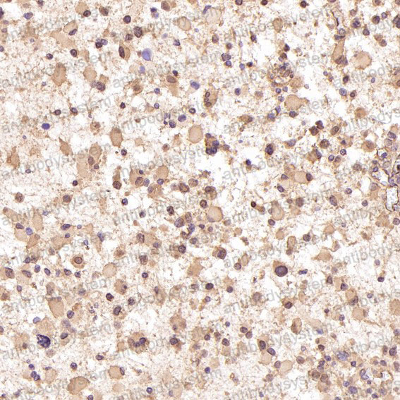
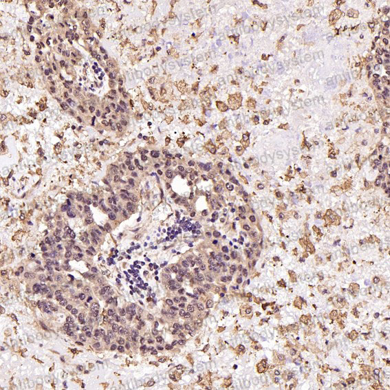
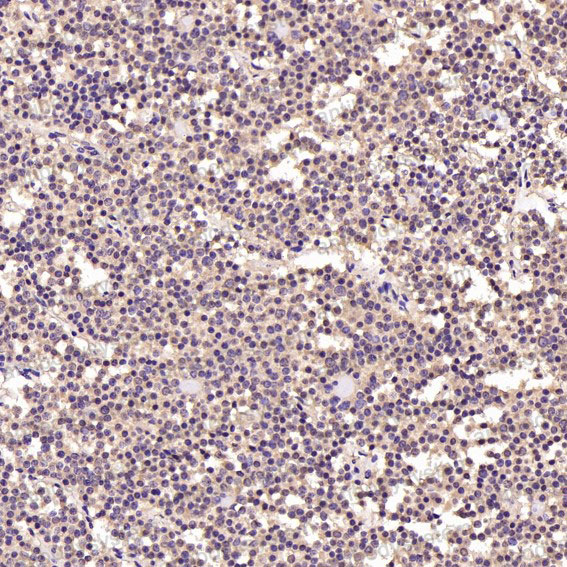
Anti-AKT1/2/3 Antibody (R1C47) (RHD96504)
Реактивность подтвержденная:
человек, мышь, крыса
Источник (хозяин):
кролик
Валидировано для:
FCM
IF
IHC
IP
WB
Характеристики
Техническое описание
| Русское название | RHD96504 Моноклональное антитело к AKT1/2/3 (R1C47) <AntibodySystem,Китай> |
| Каталожный номер | RHD96504 |
| Название антигена | Protein Kinase B Alpha (PKBa) |
| UNIPROT | P31749, P31751, Q9Y243 |
| Английские синонимы | AKT1, AKT, PKB-A, Proto-oncogene c-Akt, RAC-Alpha Serine/Threonine-Protein Kinase, V-akt Murine Thymoma Viral Oncogene Homolog 1 |
Реактивность подтвержденная Нужна другая реактивность? |
человек, мышь, крыса |
| Источник (хозяин) | кролик |
| Изотип | IgG |
| Клональность | моноклональное |
| Клон | R1C47 |
| Рекомбинантное | да |
| Готовое к использованию | нет |
| Концентрация | 1 мг/мл |
| Конъюгат | нет |
| Валидировано для | FCM IF IHC IP WB Проточная цитометрия; Иммунофлуоресценция; Иммуногистохимия; Иммунопреципитация; Вестерн-блоттинг |
| Рекомендуемые разведения | FCM: 1:20-1:100, IF: 1:50-1:200, IHC: 1:100-1:200, IP: 1:20-1:50, WB: 1:1000-1:2000 |
| Метод очистки | Очистка с белками A/G из супернатанта клеточной культуры |
| Чистота | >95% |
| Состав буфера | 0.01M PBS, pH 7.4, 0.05% БСА, 50% глицерин, 0.05% азид натрия |
| Условия доставки | термобокс с аккумуляторами холода |
| Условия хранения | Хранить при -20 С -12 месяцев |
| Срок хранения | 12 месяцев |
| Производитель | AntibodySystem |
| Ссылка на страницу товара на сайте производителя | https://www.antibodysystem.com/product/29851.html |
|
Артикул
|
Наименование |
Производитель
|
|---|
|
Артикул
|
Наименование |
Производитель
|
|---|
|
Артикул
|
Наименование |
Производитель
|
|---|
|
Артикул
|
Наименование |
Производитель
|
|---|
|
Артикул
|
Наименование |
Производитель
|
|---|
|
Артикул
|
Наименование |
Производитель
|
|---|
|
Артикул
|
Наименование |
Производитель
|
|---|
|
Артикул
|
Наименование |
Производитель
|
|---|
|
Артикул
|
Наименование |
Производитель
|
|---|
|
Артикул
|
Наименование |
Производитель
|
|---|
|
Артикул
|
Наименование |
Производитель
|
|---|
Акции и предложения
Популярные продукты:
Anti-Influenza A virus HA/Hemagglutinin Broad-Neutralizing Antibody (Fs0376) (RVV03802)
Источник (хозяин): человек
Реактивность подтвержденная: вирусы
Валидировано для: ELISA, NEUT
Реактивность подтвержденная: вирусы
Валидировано для: ELISA, NEUT
Guinea Pig Acyl-coenzyme A thioesterase 1(ACOT1) ELISA kit (E05A1193)
Организм: морская свинка
Monkey Proline Rich Protein 4, Lacrimal ELISA kit (E09P0146)
Организм: обезьяна
Mouse Heat shock 70 kDa protein 2A ELISA kit (E03H1399)
Организм: мышь
Porcine Toll Like Receptor 8 ELISA kit (E07T0071)
Организм: свинья
Bovine β tubulin ELISA kit (E11T0555)
Организм: корова

