| UNIPROT | Q02252 |
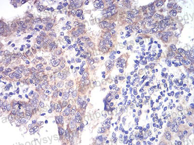
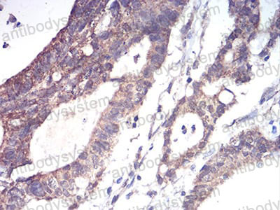
Anti-ALDH6A1 Antibody (R3Q56) (RHF92802)
Реактивность подтвержденная:
человек
Источник (хозяин):
мышь
Валидировано для:
ELISA
FCM
IF
IHC
WB
Характеристики
Техническое описание
| Русское название | RHF92802 Моноклональное антитело к ALDH6A1 (R3Q56) <AntibodySystem,Китай> |
| Каталожный номер | RHF92802 |
| Название антигена | Aldehyde Dehydrogenase 6 Family, Member A1 (ALDH6A1) |
| UNIPROT | Q02252 |
| Английские синонимы | MMSADHA, MMSDH, Malonate-semialdehyde dehydrogenase |
Реактивность подтвержденная Нужна другая реактивность? |
человек |
| Источник (хозяин) | мышь |
| Изотип | IgG1 |
| Клональность | моноклональное |
| Клон | R3Q56 |
| Рекомбинантное | да |
| Готовое к использованию | нет |
| Концентрация | 1 мг/мл |
| Конъюгат | нет |
| Валидировано для | ELISA FCM IF IHC WB Иммуноферментный анализ; Проточная цитометрия; Иммунофлуоресценция; Иммуногистохимия; Вестерн-блоттинг |
| Рекомендуемые разведения | ELISA: 1:10000, FCM: 1:200-1:400, IF: 1:200-1:1000, IHC: 1:200-1:1000, WB: 1:500-1:2000 |
| Метод очистки | Очистка с белками A/G из супернатанта клеточной культуры |
| Чистота | >95% |
| Состав буфера | 0.01M PBS, pH 7.4, 0.05% натрия азид |
| Условия хранения | Хранить при 4°C не более 1-2 недель. Хранить при -20°C - 12 месяцев |
| Срок хранения | 12 месяцев |
| Производитель | AntibodySystem |
| Ссылка на страницу товара на сайте производителя | https://www.antibodysystem.com/product/36124.html |
|
Артикул
|
Наименование |
Производитель
|
|---|
|
Артикул
|
Наименование |
Производитель
|
|---|
Акции и предложения
Популярные продукты:
Monkey Caspase Activated DNase ELISA kit (E09C0387)
Организм: обезьяна
Recombinant Human IL4 Protein, C-His (YHC13501)
Источник (хозяин): E.coli
Организм: человек
Фрагмент: Gly24-Ser153
Теги: C-His
Биоактивность: нет
Организм: человек
Фрагмент: Gly24-Ser153
Теги: C-His
Биоактивность: нет
Anti-ALDH6A1 Antibody (R3Q56) (RHF92802)
Источник (хозяин): мышь
Реактивность подтвержденная: человек
Валидировано для: ELISA, FCM, IF, IHC, WB
Реактивность подтвержденная: человек
Валидировано для: ELISA, FCM, IF, IHC, WB
Anti-EXOSC10 Antibody (R3Q41) (RHF89101)
Источник (хозяин): мышь
Реактивность подтвержденная: человек
Валидировано для: IP, WB
Реактивность подтвержденная: человек
Валидировано для: IP, WB
Anti-CSNK2A2 Antibody (R3F43) (RHD35301)
Источник (хозяин): мышь
Реактивность подтвержденная: человек, мышь, крыса, кролик, обезьяна
Валидировано для: ELISA, FCM, IHC, WB
Реактивность подтвержденная: человек, мышь, крыса, кролик, обезьяна
Валидировано для: ELISA, FCM, IHC, WB

