| UNIPROT | Q02252 |
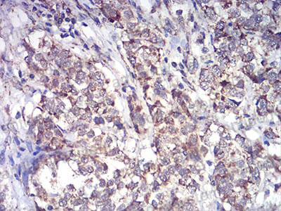
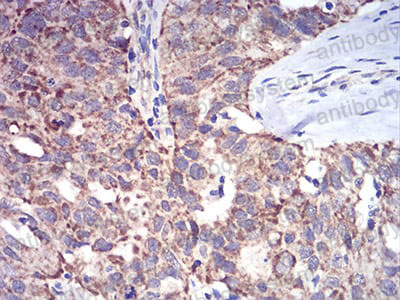
Anti-ALDH6A1 Antibody (R3Q57) (RHF92801)
Реактивность подтвержденная:
человек
Источник (хозяин):
мышь
Валидировано для:
ELISA
FCM
IF
IHC
Характеристики
Техническое описание
| Русское название | RHF92801 Моноклональное антитело к ALDH6A1 (R3Q57) <AntibodySystem,Китай> |
| Каталожный номер | RHF92801 |
| Название антигена | Aldehyde Dehydrogenase 6 Family, Member A1 (ALDH6A1) |
| UNIPROT | Q02252 |
| Английские синонимы | MMSADHA, MMSDH, Malonate-semialdehyde dehydrogenase |
Реактивность подтвержденная Нужна другая реактивность? |
человек |
| Источник (хозяин) | мышь |
| Изотип | IgG1 |
| Клональность | моноклональное |
| Клон | R3Q57 |
| Рекомбинантное | да |
| Готовое к использованию | нет |
| Концентрация | 1 мг/мл |
| Конъюгат | нет |
| Валидировано для | ELISA FCM IF IHC Иммуноферментный анализ; Проточная цитометрия; Иммунофлуоресценция; Иммуногистохимия |
| Рекомендуемые разведения | ELISA: 1:10000, FCM: 1:200-1:400, IF: 1:200-1:1000, IHC: 1:200-1:1000 |
| Метод очистки | Очистка с белками A/G из супернатанта клеточной культуры |
| Чистота | >95% |
| Состав буфера | 0.01M PBS, pH 7.4, 0.05% натрия азид |
| Условия хранения | Хранить при 4°C не более 1-2 недель. Хранить при -20°C - 12 месяцев |
| Срок хранения | 12 месяцев |
| Производитель | AntibodySystem |
| Ссылка на страницу товара на сайте производителя | https://www.antibodysystem.com/product/36125.html |
|
Артикул
|
Наименование |
Производитель
|
|---|
|
Артикул
|
Наименование |
Производитель
|
|---|
Акции и предложения
Популярные продукты:
ELISA Kit DIY Materials for 3-Mercaptopyruvate Sulfurtransferase (MST) (KSC625Hu01)
Организм: человек
Диапазон определения: 0.156-10 нг/мл
Чувствительность: 0.057 нг/мл
Диапазон определения: 0.156-10 нг/мл
Чувствительность: 0.057 нг/мл
Human Fibroblast growth factor 18 ELISA kit (E01F0019)
Организм: человек
Диапазон определения: 50-1000 пг/мл
Чувствительность: 1 пг/мл
Диапазон определения: 50-1000 пг/мл
Чувствительность: 1 пг/мл
Monkey Glutamate receptor interacting protein 1(GRIP1) ELISA kit (E09G0400)
Организм: обезьяна
Anti-DERP2 Antibody (SAA0629) (RXX51808)
Источник (хозяин): человек
Реактивность подтвержденная: паукообразные
Валидировано для: ELISA, SPR
Реактивность подтвержденная: паукообразные
Валидировано для: ELISA, SPR
Anti-DERP2 Antibody (SAA0628) (RXX51807)
Источник (хозяин): человек
Реактивность подтвержденная: паукообразные
Валидировано для: ELISA, SPR
Реактивность подтвержденная: паукообразные
Валидировано для: ELISA, SPR
Anti-DERP2 Antibody (SAA0627) (RXX51806)
Источник (хозяин): человек
Реактивность подтвержденная: паукообразные
Валидировано для: ELISA, SPR
Реактивность подтвержденная: паукообразные
Валидировано для: ELISA, SPR

