| UNIPROT | P04075 |
Anti-ALDOA Antibody (R2Y50) (RHC06002)
Реактивность подтвержденная:
человек, мышь
Источник (хозяин):
мышь
Валидировано для:
ELISA
FCM
IHC
WB
Характеристики
Техническое описание
| Русское название | RHC06002 Моноклональное антитело к ALDOA (R2Y50) <AntibodySystem,Китай> |
| Каталожный номер | RHC06002 |
| Название антигена | Aldolase A, Fructose Bisphosphate (ALDOA) |
| UNIPROT | P04075 |
| Английские синонимы | FBA, ALDO-A, Fructose 1,6 Bisphosphate Aldolase, Lung cancer antigen NY-LU-1, Muscle-type aldolase |
Реактивность подтвержденная Нужна другая реактивность? |
человек, мышь |
| Источник (хозяин) | мышь |
| Изотип | IgG2a |
| Клональность | моноклональное |
| Клон | R2Y50 |
| Рекомбинантное | да |
| Готовое к использованию | нет |
| Концентрация | 1 мг/мл |
| Конъюгат | нет |
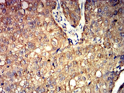
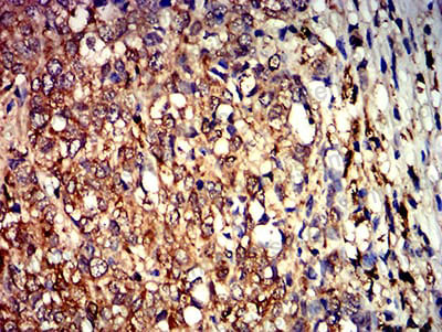
| Валидировано для | ELISA FCM IHC WB Иммуноферментный анализ; Проточная цитометрия; Иммуногистохимия; Вестерн-блоттинг |
| Рекомендуемые разведения | ELISA: 1:10000, FCM: 1:200-1:400, IHC: 1:200-1:1000, WB: 1:500-1:2000 |
| Метод очистки | Очистка с белками A/G из супернатанта клеточной культуры |
| Чистота | >95% |
| Состав буфера | 0.01M PBS, pH 7.4, 0.05% натрия азид |
| Условия доставки | термобокс с аккумуляторами холода |
| Условия хранения | Хранить при 4°C не более 1-2 недель. Хранить при -20°C - 12 месяцев |
| Срок хранения | 12 месяцев |
| Производитель | AntibodySystem |
| Ссылка на страницу товара на сайте производителя | https://www.antibodysystem.com/product/34534.html |
|
Артикул
|
Наименование |
Производитель
|
|---|
|
Артикул
|
Наименование |
Производитель
|
|---|
|
Артикул
|
Наименование |
Производитель
|
|---|
Акции и предложения
Популярные продукты:
ELISA Kit DIY Materials for Proteasome 26S Subunit, Non ATPase 10 (PSMD10) (KSP783Hu01)
Организм: человек
Диапазон определения: 0.156-10 нг/мл
Чувствительность: 0.059 нг/мл
Диапазон определения: 0.156-10 нг/мл
Чувствительность: 0.059 нг/мл
Bovine Delta Like Protein 4 ELISA kit (E11D0545)
Организм: корова
Диапазон определения: 1-25 нг/мл
Диапазон определения: 1-25 нг/мл
Canine 26S protease regulatory subunit 7 ELISA kit (E08P0912)
Организм: собака
Canine Acetyl CoA carboxylase 2(ACACB) ELISA kit (E08A1170)
Организм: собака
Rabbit Interleukin 7 ELISA kit (E04I0207)
Организм: кролик
Mouse Interleukin 7 ELISA kit (E03I0207)
Организм: мышь

