Anti-Alpha Tubulin Antibody (R3P39) (RHF62204)
Реактивность подтвержденная:
человек
Источник (хозяин):
мышь
Валидировано для:
IHC
IP
WB
Характеристики
Техническое описание
| Русское название | RHF62204 Моноклональное антитело к альфа-тубулину (R3P39) <AntibodySystem,Китай> |
| Каталожный номер | RHF62204 |
| Название антигена | Tubulin Alpha 1A (TUBa1A) |
| UNIPROT | P68363, Q71U36 |
| Английские синонимы | B-ALPHA-1, TUBA3, Brain-Specific Tubulin,Alpha, Alpha-tubulin 3, Tubulin B-alpha-1 |
Реактивность подтвержденная Нужна другая реактивность? |
человек |
| Источник (хозяин) | мышь |
| Изотип | IgG2b |
| Клональность | моноклональное |
| Клон | R3P39 |
| Рекомбинантное | да |
| Готовое к использованию | нет |
| Концентрация | 1 мг/мл |
| Конъюгат | нет |
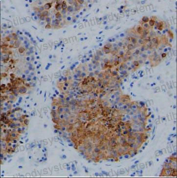
| Валидировано для | IHC IP WB Иммуногистохимия; Иммунопреципитация; Вестерн-блоттинг |
| Рекомендуемые разведения | IHC: 1:500, IP: 1:100-1:200, WB: 1:500-1:1000 |
| Метод очистки | Очистка с белками A/G из супернатанта клеточной культуры |
| Чистота | >95% |
| Состав буфера | 0.01M PBS, pH 7.4, 0.05% натрия азид |
| Условия хранения | Хранить при 4°C не более 1-2 недель. Хранить при -20°C - 12 месяцев |
| Срок хранения | 12 месяцев |
| Производитель | AntibodySystem |
| Ссылка на страницу товара на сайте производителя | https://www.antibodysystem.com/product/36008.html |
|
Артикул
|
Наименование |
Производитель
|
|---|
|
Артикул
|
Наименование |
Производитель
|
|---|
|
Артикул
|
Наименование |
Производитель
|
|---|
|
Артикул
|
Наименование |
Производитель
|
|---|
|
Артикул
|
Наименование |
Производитель
|
|---|
|
Артикул
|
Наименование |
Производитель
|
|---|
|
Артикул
|
Наименование |
Производитель
|
|---|
|
Артикул
|
Наименование |
Производитель
|
|---|
Акции и предложения
Популярные продукты:
Anti-HMPV F/Fusion glycoprotein F0 Antibody (SAb2441) (RVV22906)
Источник (хозяин): человек
Реактивность подтвержденная: вирусы
Валидировано для: ELISA, IF, SPR, WB
Реактивность подтвержденная: вирусы
Валидировано для: ELISA, IF, SPR, WB
ELISA Kit for Cytochrome C Oxidase Subunit VIc (COX6c) (SEC394Mu)
Организм: мышь
Диапазон определения: 0.312-20 нг/мл
Чувствительность: 0.061 нг/мл
Диапазон определения: 0.312-20 нг/мл
Чувствительность: 0.061 нг/мл
Guinea Pig ATP sensitive inward rectifier potassium channel 1(KCNJ1) ELISA kit (E05A1890)
Организм: морская свинка

