| UNIPROT | P05186 |
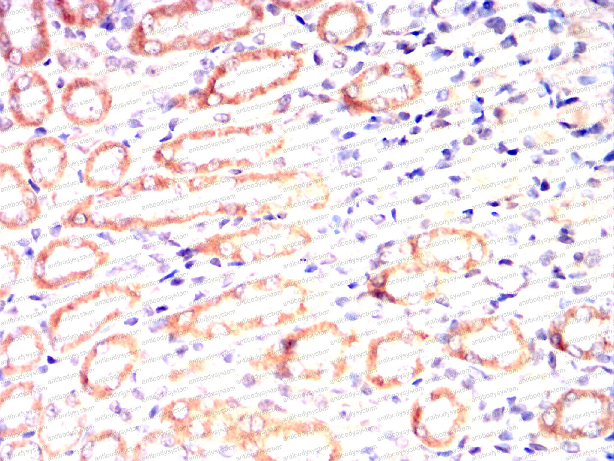
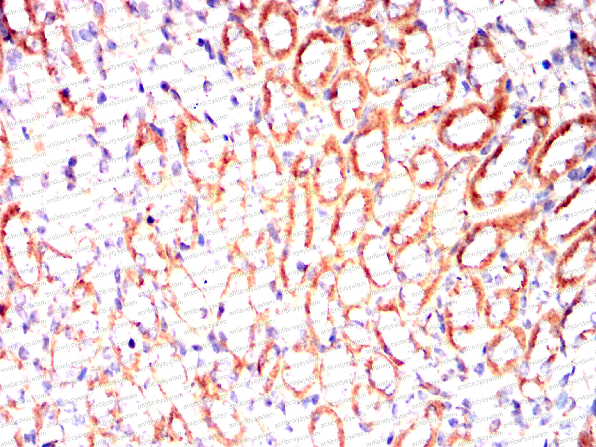
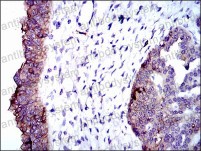
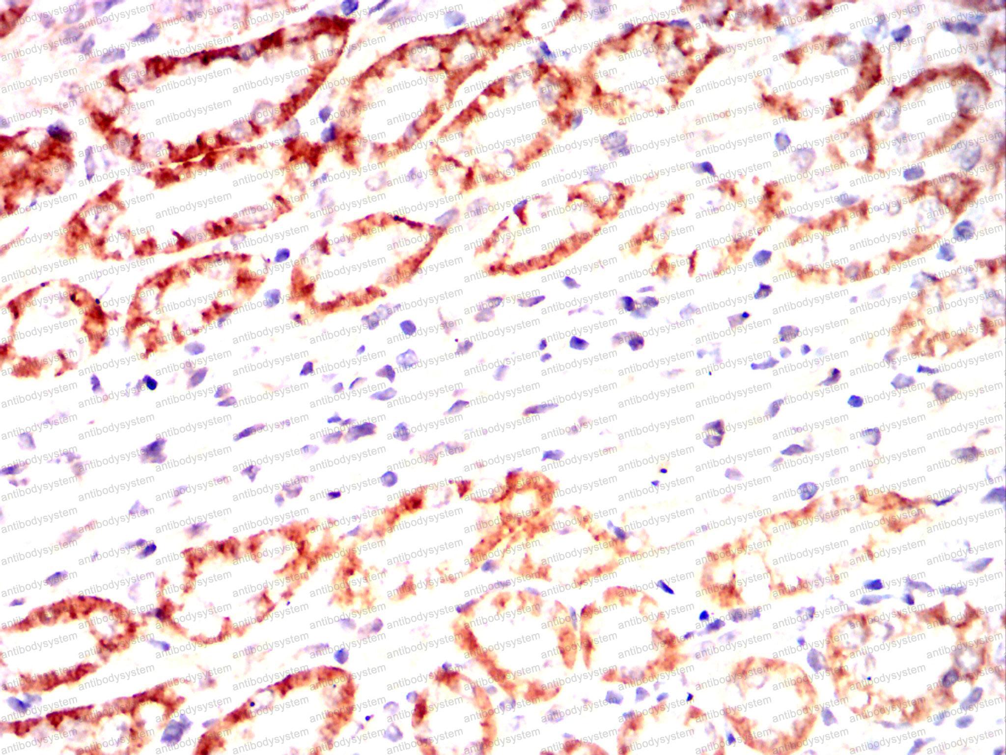
Anti-ALPL Antibody (R2Z11) (RHC15302)
Реактивность подтвержденная:
человек, мышь, крыса, кролик
Источник (хозяин):
мышь
Валидировано для:
ELISA
FCM
IHC
WB
Характеристики
Техническое описание
| Русское название | RHC15302 Моноклональное антитело к ALPL (R2Z11) <AntibodySystem,Китай> |
| Каталожный номер | RHC15302 |
| Название антигена | Alkaline Phosphatase, Liver/Bone/Kidney (ALPL) |
| UNIPROT | P05186 |
| Английские синонимы | BALP, BSAP, HOPS, AP-TNAP, TNSALP, Bone Alkaline Phosphatase, Alkaline Phosphatase,Tissue-Nonspecific Isozyme |
| Русские синонимы | Неспецифическая щелочная фосфатаза |
Реактивность подтвержденная Нужна другая реактивность? |
человек, мышь, крыса, кролик |
| Источник (хозяин) | мышь |
| Изотип | IgG1 |
| Клональность | моноклональное |
| Клон | R2Z11 |
| Рекомбинантное | да |
| Готовое к использованию | нет |
| Концентрация | 1 мг/мл |
| Конъюгат | нет |
| Валидировано для | ELISA FCM IHC WB Иммуноферментный анализ; Проточная цитометрия; Иммуногистохимия; Вестерн-блоттинг |
| Рекомендуемые разведения | ELISA: 1:10000, FCM: 1:200-1:400, IHC: 1:200-1:1000, WB: 1:500-1:2000 |
| Метод очистки | Очистка с белками A/G из супернатанта клеточной культуры |
| Чистота | >95% |
| Состав буфера | 0.01M PBS, pH 7.4, 0.05% натрия азид |
| Условия доставки | термобокс с аккумуляторами холода |
| Условия хранения | Хранить при 4°C не более 1-2 недель. Хранить при -20°C - 12 месяцев |
| Срок хранения | 12 месяцев |
| Производитель | AntibodySystem |
| Ссылка на страницу товара на сайте производителя | https://www.antibodysystem.com/product/34594.html |
|
Артикул
|
Наименование |
Производитель
|
|---|
|
Артикул
|
Наименование |
Производитель
|
|---|
|
Артикул
|
Наименование |
Производитель
|
|---|
|
Артикул
|
Наименование |
Производитель
|
|---|
|
Артикул
|
Наименование |
Производитель
|
|---|
|
Артикул
|
Наименование |
Производитель
|
|---|
|
Артикул
|
Наименование |
Производитель
|
|---|
Акции и предложения
Популярные продукты:
Human Apolipoprotein L3(APOL3) ELISA kit (E01A1601)
Организм: человек
Диапазон определения: 50-1000 нг/мл
Чувствительность: 1 нг/мл
Диапазон определения: 50-1000 нг/мл
Чувствительность: 1 нг/мл
Monkey Interleukin 2 Receptor a ELISA kit (E09I0379)
Организм: обезьяна
Anti-ALPL Antibody (R2Z11) (RHC15302)
Источник (хозяин): мышь
Реактивность подтвержденная: человек, мышь, крыса, кролик
Валидировано для: ELISA, FCM, IHC, WB
Реактивность подтвержденная: человек, мышь, крыса, кролик
Валидировано для: ELISA, FCM, IHC, WB
InVivoMAb Anti-Human LTA/TNF-beta Antibody (Iv0051) (VHB94301)
Источник (хозяин): человек
Реактивность подтвержденная: человек
Валидировано для: ELISA, FCM, NEUT
Реактивность подтвержденная: человек
Валидировано для: ELISA, FCM, NEUT
T0057 V5 tag antibody (T0057)
Источник (хозяин): мышь
Реактивность подтвержденная: для всех
Валидировано для: WB
Реактивность подтвержденная: для всех
Валидировано для: WB

