| UNIPROT | Q6NSI1 |
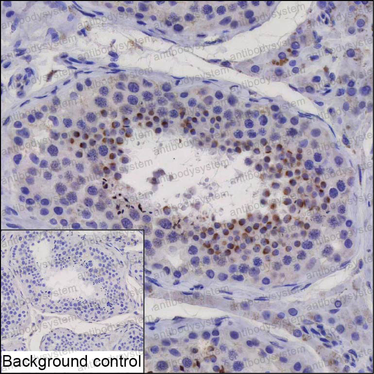
Anti-ANKRD26P1 Antibody (R4D52) (RHP10901)
Реактивность подтвержденная:
человек
Источник (хозяин):
мышь
Валидировано для:
IHC
Характеристики
Техническое описание
| Русское название | RHP10901 Моноклональное антитело к ANKRD26P1 (R4D52) <AntibodySystem,Китай> |
| Каталожный номер | RHP10901 |
| Название антигена | Putative ankyrin repeat domain-containing protein 26-like protein (ANKRD26P1) |
| UNIPROT | Q6NSI1 |
Реактивность подтвержденная Нужна другая реактивность? |
человек |
| Источник (хозяин) | мышь |
| Изотип | IgG1 |
| Клональность | моноклональное |
| Клон | R4D52 |
| Рекомбинантное | да |
| Готовое к использованию | нет |
| Концентрация | 1 мг/мл |
| Конъюгат | нет |
| Валидировано для | IHC Иммуногистохимия |
| Рекомендуемые разведения | IHC: 1:200-1:400 |
| Метод очистки | Очистка с белками A/G из супернатанта клеточной культуры |
| Чистота | >95% |
| Состав буфера | 0.01M PBS, pH 7.4, 0.05% натрия азид |
| Условия хранения | Хранить при 4°C не более 1-2 недель. Хранить при -20°C - 12 месяцев |
| Срок хранения | 12 месяцев |
| Производитель | AntibodySystem |
| Ссылка на страницу товара на сайте производителя | https://www.antibodysystem.com/product/37406.html |
Акции и предложения
Популярные продукты:
Monkey Caspase Activated DNase ELISA kit (E09C0387)
Организм: обезьяна
Recombinant Human IL4 Protein, C-His (YHC13501)
Источник (хозяин): E.coli
Организм: человек
Фрагмент: Gly24-Ser153
Теги: C-His
Биоактивность: нет
Организм: человек
Фрагмент: Gly24-Ser153
Теги: C-His
Биоактивность: нет
Anti-ANKRD26P1 Antibody (R4D52) (RHP10901)
Источник (хозяин): мышь
Реактивность подтвержденная: человек
Валидировано для: IHC
Реактивность подтвержденная: человек
Валидировано для: IHC
Anti-TSPAN16 Antibody (R4B91) (RHN98102)
Источник (хозяин): мышь
Реактивность подтвержденная: человек, мышь, крыса, обезьяна
Валидировано для: ELISA, FCM, IHC, WB
Реактивность подтвержденная: человек, мышь, крыса, обезьяна
Валидировано для: ELISA, FCM, IHC, WB
Anti-ALDH6A1 Antibody (R3Q56) (RHF92802)
Источник (хозяин): мышь
Реактивность подтвержденная: человек
Валидировано для: ELISA, FCM, IF, IHC, WB
Реактивность подтвержденная: человек
Валидировано для: ELISA, FCM, IF, IHC, WB

