| UNIPROT | P12429 |
Anti-ANXA3 Antibody (R3C89) (RHC93701)
Реактивность подтвержденная:
человек
Источник (хозяин):
мышь
Валидировано для:
IHC
IP
WB
Характеристики
Техническое описание
| Русское название | RHC93701 Моноклональное антитело к ANXA3 (R3C89) <AntibodySystem,Китай> |
| Каталожный номер | RHC93701 |
| Название антигена | Annexin A3 (ANXA3) |
| UNIPROT | P12429 |
| Английские синонимы | ANX-A3, ANX3, PAP-III, 35-alpha calcimedin, Inositol 1,2-cyclic phosphate 2-phosphohydrolase, Lipocortin III, Placental anticoagulant protein III |
Реактивность подтвержденная Нужна другая реактивность? |
человек |
| Источник (хозяин) | мышь |
| Изотип | IgG2a |
| Клональность | моноклональное |
| Клон | R3C89 |
| Рекомбинантное | да |
| Готовое к использованию | нет |
| Концентрация | 1 мг/мл |
| Конъюгат | нет |
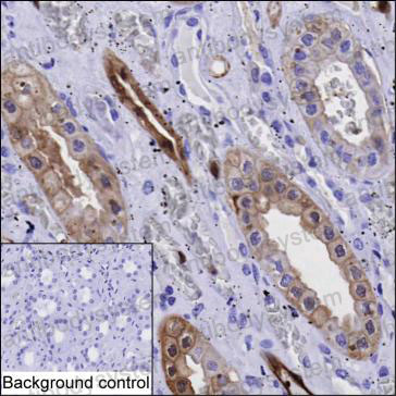
| Валидировано для | IHC IP WB Иммуногистохимия; Иммунопреципитация; Вестерн-блоттинг |
| Рекомендуемые разведения | IHC: 1:100-1:200, IP: 1:100-1:200, WB: 1:500-1:1000 |
| Метод очистки | Очистка с белками A/G из супернатанта клеточной культуры |
| Чистота | >95% |
| Состав буфера | 0.01M PBS, pH 7.4, 0.05% натрия азид |
| Условия доставки | термобокс с аккумуляторами холода |
| Условия хранения | Хранить при 4°C не более 1-2 недель. Хранить при -20°C - 12 месяцев |
| Срок хранения | 12 месяцев |
| Производитель | AntibodySystem |
| Ссылка на страницу товара на сайте производителя | https://www.antibodysystem.com/product/34969.html |
|
Артикул
|
Наименование |
Производитель
|
|---|
|
Артикул
|
Наименование |
Производитель
|
|---|
|
Артикул
|
Наименование |
Производитель
|
|---|
|
Артикул
|
Наименование |
Производитель
|
|---|
|
Артикул
|
Наименование |
Производитель
|
|---|
Акции и предложения
Популярные продукты:
Mouse Calsyntenin 3(CLSTN3) ELISA kit (E03C1818)
Организм: мышь
Guinea Pig Cyclin I(CCNI) ELISA kit (E05C1161)
Организм: морская свинка
Canine Interferon epsilon(IFNE) ELISA kit (E08I0428)
Организм: собака
Rat Glutathione Peroxidase 2 ELISA kit (E02G0616)
Организм: крыса

