| UNIPROT | P09525 |
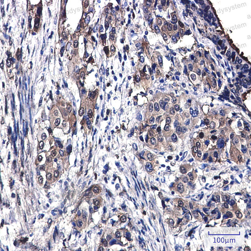
Anti-ANXA4 Antibody (R1M11) (RHC41403)
Реактивность подтвержденная:
человек, мышь, крыса, хомяк
Источник (хозяин):
кролик
Валидировано для:
IF
IHC
WB
Характеристики
Техническое описание
| Русское название | RHC41403 Моноклональное антитело к ANXA4 (R1M11) <AntibodySystem,Китай> |
| Каталожный номер | RHC41403 |
| Название антигена | Annexin A4 (ANXA4) |
| UNIPROT | P09525 |
| Английские синонимы | ANX-A4, ANX4, PIG28, 35-beta calcimedin, Carbohydrate-binding protein p33/p41, Chromobindin-4, Endonexin I, Lipocortin IV, Placental anticoagulant protein II |
Реактивность подтвержденная Нужна другая реактивность? |
человек, мышь, крыса, хомяк |
| Источник (хозяин) | кролик |
| Изотип | IgG |
| Клональность | моноклональное |
| Клон | R1M11 |
| Рекомбинантное | да |
| Готовое к использованию | нет |
| Концентрация | 1 мг/мл |
| Конъюгат | нет |
| Валидировано для | IF IHC WB Иммунофлуоресценция; Иммуногистохимия; Вестерн-блоттинг |
| Рекомендуемые разведения | IF: 1:50-1:200, IHC: 1:50-1:100, WB: 1:500-1:1000 |
| Метод очистки | Очистка с белками A/G из супернатанта клеточной культуры |
| Чистота | >95% |
| Состав буфера | 0.01M PBS, pH 7.4, 0.05% БСА, 50% глицерин, 0.05% азид натрия |
| Условия доставки | термобокс с аккумуляторами холода |
| Условия хранения | Хранить при -20 С -12 месяцев |
| Срок хранения | 12 месяцев |
| Производитель | AntibodySystem |
| Ссылка на страницу товара на сайте производителя | https://www.antibodysystem.com/product/30753.html |
|
Артикул
|
Наименование |
Производитель
|
|---|
|
Артикул
|
Наименование |
Производитель
|
|---|
|
Артикул
|
Наименование |
Производитель
|
|---|
|
Артикул
|
Наименование |
Производитель
|
|---|
|
Артикул
|
Наименование |
Производитель
|
|---|
|
Артикул
|
Наименование |
Производитель
|
|---|
|
Артикул
|
Наименование |
Производитель
|
|---|
|
Артикул
|
Наименование |
Производитель
|
|---|
Акции и предложения
Популярные продукты:
Canine Cyclosporine A ELISA kit (E08C0832)
Организм: собака
Диапазон определения: 25-500 нг/мл
Чувствительность: 1 нг/мл
Диапазон определения: 25-500 нг/мл
Чувствительность: 1 нг/мл
Guinea Pig cystathionine β synthase(CBS) ELISA kit (E05C1414)
Организм: морская свинка
Rabbit Carbohyde sulfotransferase 10(CHST10) ELISA kit (E04C1704)
Организм: кролик
Chicken Calcipressin 3(RCAN3) ELISA kit (E12C2418)
Организм: курица
Chicken Annexin Ⅲ(ANX Ⅲ) ELISA kit (E12A1545)
Организм: курица
Human Apelin receptor(APLNR) ELISA kit (E01A1593)
Организм: человек
Диапазон определения: 1-25 нг/мл
Чувствительность: 0.1 нг/мл
Диапазон определения: 1-25 нг/мл
Чувствительность: 0.1 нг/мл

