| UNIPROT | P29972 |
Anti-AQP1 Antibody (R1T81) (RHD85602)
Реактивность подтвержденная:
человек, мышь, крыса
Источник (хозяин):
кролик
Валидировано для:
IF
IHC
WB
Характеристики
Техническое описание
| Русское название | RHD85602 Моноклональное антитело к AQP1 (R1T81) <AntibodySystem,Китай> |
| Каталожный номер | RHD85602 |
| Название антигена | Aquaporin 1, Colton Blood Group (AQP1) |
| UNIPROT | P29972 |
| Английские синонимы | AQP-CHIP, CHIP28, CO, Channel-Forming Integral Protein,28kDa, Aquaporin-CHIP, Urine water channel, Water channel protein for red blood cells and kidney proximal tubule |
Реактивность подтвержденная Нужна другая реактивность? |
человек, мышь, крыса |
| Источник (хозяин) | кролик |
| Изотип | IgG |
| Клональность | моноклональное |
| Клон | R1T81 |
| Рекомбинантное | да |
| Готовое к использованию | нет |
| Концентрация | 1 мг/мл |
| Конъюгат | нет |
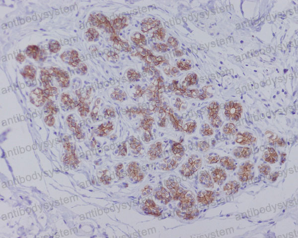
| Валидировано для | IF IHC WB Иммунофлуоресценция; Иммуногистохимия; Вестерн-блоттинг |
| Рекомендуемые разведения | IF: 1:50-1:200, IHC: 1:100-1:200, WB: 1:1000-1:2000 |
| Метод очистки | Очистка с белками A/G из супернатанта клеточной культуры |
| Чистота | >95% |
| Состав буфера | 0.01M PBS, pH 7.4, 0.05% БСА, 50% глицерин, 0.05% азид натрия |
| Условия доставки | термобокс с аккумуляторами холода |
| Условия хранения | Хранить при -20 С -12 месяцев |
| Срок хранения | 12 месяцев |
| Производитель | AntibodySystem |
| Ссылка на страницу товара на сайте производителя | https://www.antibodysystem.com/product/31417.html |
|
Артикул
|
Наименование |
Производитель
|
|---|
|
Артикул
|
Наименование |
Производитель
|
|---|
|
Артикул
|
Наименование |
Производитель
|
|---|
|
Артикул
|
Наименование |
Производитель
|
|---|
|
Артикул
|
Наименование |
Производитель
|
|---|
Акции и предложения
Популярные продукты:
ELISA Kit DIY Materials for Intercellular Adhesion Molecule 1 (ICAM1) (KSA548Rb01)
Организм: кролик
Диапазон определения: 6.25-400 пг/мл
Чувствительность: 2.99 пг/мл
Диапазон определения: 6.25-400 пг/мл
Чувствительность: 2.99 пг/мл
Sheep Protein BTG3(BTG3) ELISA kit (E14P0800)
Организм: овца
Bovine Lecithin Cholesterol Acyltransferase ELISA kit (E11L0303)
Организм: корова
Canine Lecithin Cholesterol Acyltransferase ELISA kit (E08L0303)
Организм: собака
Porcine Lecithin Cholesterol Acyltransferase ELISA kit (E07L0303)
Организм: свинья

