| UNIPROT | Q9ULZ3 |
Anti-ASC/TMS1/PYCARD Antibody (R3X48) (RHJ80803)
Реактивность подтвержденная:
человек
Источник (хозяин):
мышь
Валидировано для:
ELISA
FCM
IF
IHC
Характеристики
Техническое описание
| Русское название | RHJ80803 Моноклональное антитело к ASC/TMS1/PYCARD (R3X48) <AntibodySystem,Китай> |
| Каталожный номер | RHJ80803 |
| Название антигена | PYD And CARD Domain Containing Protein (PYCARD) |
| UNIPROT | Q9ULZ3 |
| Английские синонимы | ASC, CARD5, TMS1, Apoptosis-associated speck-like protein containing a CARD, Caspase recruitment domain-containing protein 5, Target of methylation-induced silencing 1 |
Реактивность подтвержденная Нужна другая реактивность? |
человек |
| Источник (хозяин) | мышь |
| Изотип | IgG1 |
| Клональность | моноклональное |
| Клон | R3X48 |
| Рекомбинантное | да |
| Готовое к использованию | нет |
| Концентрация | 1 мг/мл |
| Конъюгат | нет |
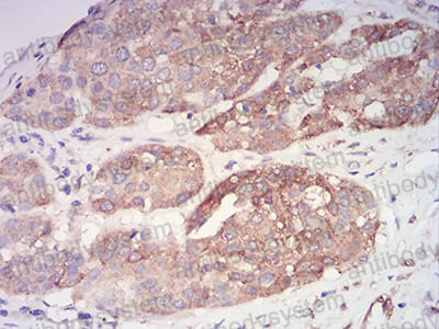
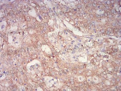
| Валидировано для | ELISA FCM IF IHC Иммуноферментный анализ; Проточная цитометрия; Иммунофлуоресценция; Иммуногистохимия |
| Рекомендуемые разведения | ELISA: 1:10000, FCM: 1:200-1:400, IF: 1:200-1:1000, IHC: 1:200-1:1000 |
| Метод очистки | Очистка с белками A/G из супернатанта клеточной культуры |
| Чистота | >95% |
| Состав буфера | 0.01M PBS, pH 7.4, 0.05% натрия азид |
| Условия хранения | Хранить при 4°C не более 1-2 недель. Хранить при -20°C - 12 месяцев |
| Срок хранения | 12 месяцев |
| Производитель | AntibodySystem |
| Ссылка на страницу товара на сайте производителя | https://www.antibodysystem.com/product/36808.html |
|
Артикул
|
Наименование |
Производитель
|
|---|
|
Артикул
|
Наименование |
Производитель
|
|---|
Акции и предложения
Популярные продукты:
Recombinant Human ASC/TMS1/PYCARD Protein, N-His (YHJ80801)
Источник (хозяин): E.coli
Организм: человек
Фрагмент: Leu112-Ser195
Теги: N-His
Биоактивность: нет
Организм: человек
Фрагмент: Leu112-Ser195
Теги: N-His
Биоактивность: нет
Anti-ASC/TMS1/PYCARD Antibody (R3X48) (RHJ80803)
Источник (хозяин): мышь
Реактивность подтвержденная: человек
Валидировано для: ELISA, FCM, IF, IHC
Реактивность подтвержденная: человек
Валидировано для: ELISA, FCM, IF, IHC
Anti-Human MUC1-Tn/STn Antibody (5E5#), PE (FHD14212)
Источник (хозяин): человек
Реактивность подтвержденная: человек
Валидировано для: ELISA, FCM, WB
Реактивность подтвержденная: человек
Валидировано для: ELISA, FCM, WB
GNAI3 Antibody (DF4107)
Источник (хозяин): кролик
Реактивность подтвержденная: человек, мышь, крыса
Валидировано для: IHC, WB, IF, ICC
Реактивность подтвержденная: человек, мышь, крыса
Валидировано для: IHC, WB, IF, ICC
Monoclonal Antibody to Mucin 1 (MUC1) (MAA413Hu22)
Источник (хозяин): мышь
Реактивность подтвержденная: человек
Валидировано для: WB
Реактивность подтвержденная: человек
Валидировано для: WB
OR5D3 Mouse Monoclonal Antibody (BF9376)
Источник (хозяин): мышь
Реактивность подтвержденная: человек, мышь
Валидировано для: WB
Реактивность подтвержденная: человек, мышь
Валидировано для: WB

