| UNIPROT | P08243 |
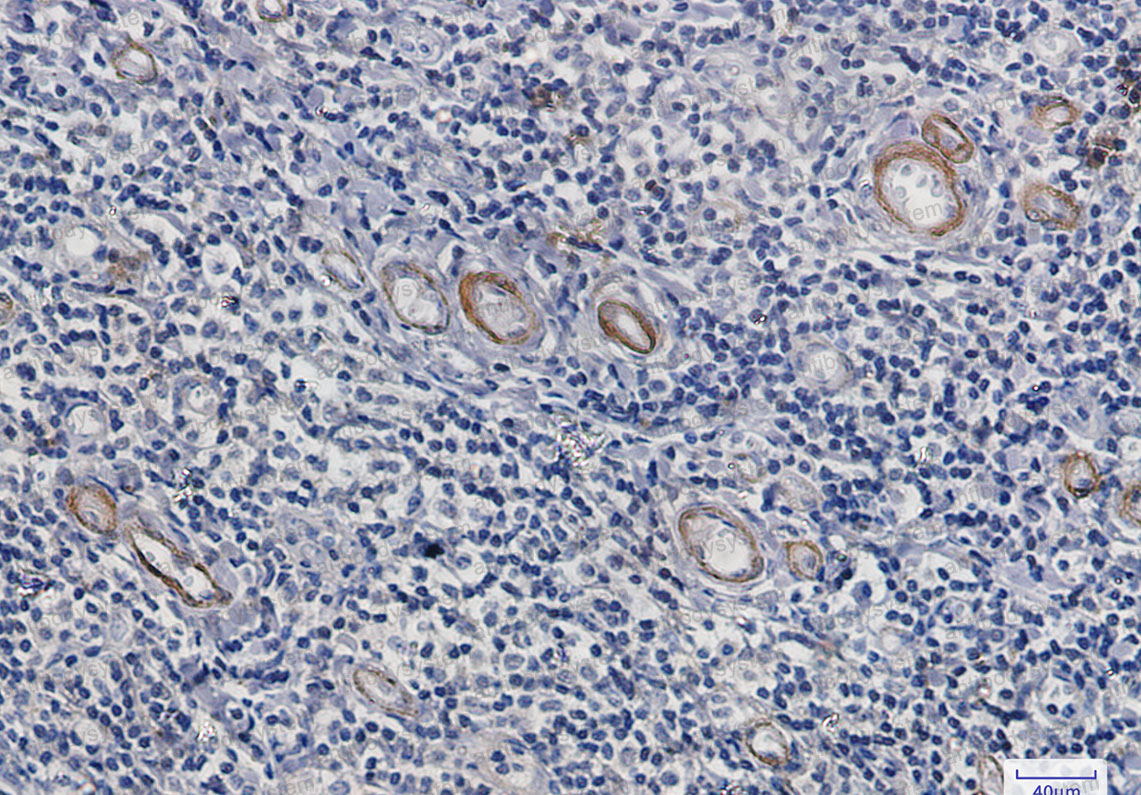
Anti-ASNS Antibody (R1L55) (RHC32001)
Реактивность подтвержденная:
человек, крыса
Источник (хозяин):
кролик
Валидировано для:
IHC
WB
Характеристики
Техническое описание
| Русское название | RHC32001 Моноклональное антитело к ASNS (R1L55) <AntibodySystem,Китай> |
| Каталожный номер | RHC32001 |
| Название антигена | Asparagine Synthetase (ASNS) |
| UNIPROT | P08243 |
| Английские синонимы | Aspartate-Ammonia Ligase, Asparagine synthetase [glutamine-hydrolyzing], Cell cycle control protein TS11, Glutamine-dependent asparagine synthetase |
Реактивность подтвержденная Нужна другая реактивность? |
человек, крыса |
| Источник (хозяин) | кролик |
| Изотип | IgG |
| Клональность | моноклональное |
| Клон | R1L55 |
| Рекомбинантное | да |
| Готовое к использованию | нет |
| Концентрация | 1 мг/мл |
| Конъюгат | нет |
| Валидировано для | IHC WB Иммуногистохимия; Вестерн-блоттинг |
| Рекомендуемые разведения | IHC: 1:50-1:100, WB: 1:500-1:1000 |
| Метод очистки | Очистка с белками A/G из супернатанта клеточной культуры |
| Чистота | >95% |
| Состав буфера | 0.01M PBS, pH 7.4, 0.05% БСА, 50% глицерин, 0.05% азид натрия |
| Условия доставки | термобокс с аккумуляторами холода |
| Условия хранения | Хранить при -20 С -12 месяцев |
| Срок хранения | 12 месяцев |
| Производитель | AntibodySystem |
| Ссылка на страницу товара на сайте производителя | https://www.antibodysystem.com/product/30698.html |
|
Артикул
|
Наименование |
Производитель
|
|---|
|
Артикул
|
Наименование |
Производитель
|
|---|
|
Артикул
|
Наименование |
Производитель
|
|---|
Акции и предложения
Популярные продукты:
ELISA Kit for Chemokine C-X3-C-Motif Receptor 1 (CX3CR1) (SEB523Mu)
Организм: мышь
Диапазон определения: 0.156-10 нг/мл
Чувствительность: 0.113 нг/мл
Диапазон определения: 0.156-10 нг/мл
Чувствительность: 0.113 нг/мл
Guinea Pig Cyclin T2(CCNT2) ELISA kit (E05C1172)
Организм: морская свинка
Monkey Gamma Glutamyltransferase 1 ELISA kit (E09G0160)
Организм: обезьяна
Anti-Serpina3n Polyclonal Antibody (PMK97301)
Источник (хозяин): кролик
Реактивность подтвержденная: мышь, крыса
Валидировано для: ELISA, IHC, WB
Реактивность подтвержденная: мышь, крыса
Валидировано для: ELISA, IHC, WB
Anti-Miro2 Antibody (N384/63) (RHK43201)
Источник (хозяин): мышь
Реактивность подтвержденная: для всех
Валидировано для: IHC, WB
Реактивность подтвержденная: для всех
Валидировано для: IHC, WB
Anti-ASNS Antibody (R1L55) (RHC32001)
Источник (хозяин): кролик
Реактивность подтвержденная: человек, крыса
Валидировано для: IHC, WB
Реактивность подтвержденная: человек, крыса
Валидировано для: IHC, WB

