| UNIPROT | P05023 |
Anti-ATP1A1 Antibody (R2Y92) (RHC12102)
Реактивность подтвержденная:
человек
Источник (хозяин):
мышь
Валидировано для:
ELISA
FCM
IF
IHC
WB
Характеристики
Техническое описание
| Русское название | RHC12102 Моноклональное антитело к ATP1A1 (R2Y92) <AntibodySystem,Китай> |
| Каталожный номер | RHC12102 |
| Название антигена | ATPase, Na+/K+ Transporting Alpha 1 Polypeptide (ATP1a1) |
| UNIPROT | P05023 |
| Английские синонимы | Sodium pump subunit alpha-1, Na(+)/K(+) ATPase alpha-1 subunit, Sodium/potassium-transporting ATPase subunit alpha-1 |
Реактивность подтвержденная Нужна другая реактивность? |
человек |
| Источник (хозяин) | мышь |
| Изотип | IgG2a |
| Клональность | моноклональное |
| Клон | R2Y92 |
| Рекомбинантное | да |
| Готовое к использованию | нет |
| Концентрация | 1 мг/мл |
| Конъюгат | нет |
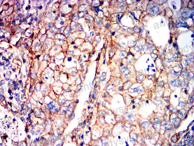
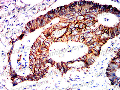
| Валидировано для | ELISA FCM IF IHC WB Иммуноферментный анализ; Проточная цитометрия; Иммунофлуоресценция; Иммуногистохимия; Вестерн-блоттинг |
| Рекомендуемые разведения | ELISA: 1:10000, FCM: 1:200-1:400, IF: 1:200-1:1000, IHC: 1:200-1:1000, WB: 1:500-1:2000 |
| Метод очистки | Очистка с белками A/G из супернатанта клеточной культуры |
| Чистота | >95% |
| Состав буфера | 0.01M PBS, pH 7.4, 0.05% натрия азид |
| Условия доставки | термобокс с аккумуляторами холода |
| Условия хранения | Хранить при 4°C не более 1-2 недель. Хранить при -20°C - 12 месяцев |
| Срок хранения | 12 месяцев |
| Производитель | AntibodySystem |
| Ссылка на страницу товара на сайте производителя | https://www.antibodysystem.com/product/34576.html |
|
Артикул
|
Наименование |
Производитель
|
|---|
|
Артикул
|
Наименование |
Производитель
|
|---|
|
Артикул
|
Наименование |
Производитель
|
|---|
|
Артикул
|
Наименование |
Производитель
|
|---|
Акции и предложения
Популярные продукты:
Polyclonal Antibody to Maltose Binding Protein (MBP) (PAX185Ge01)
Источник (хозяин): кролик
Реактивность подтвержденная: для всех
Валидировано для: WB
Реактивность подтвержденная: для всех
Валидировано для: WB
Canine Arylsulfatase D(ARSD) ELISA kit (E08A1685)
Организм: собака
Canine Anoctamin 3(ANO3) ELISA kit (E08A1529)
Организм: собака
Anti-Mouse EPOR Antibody (Fs0378), PerCP (FMD32814)
Источник (хозяин): мышь
Реактивность подтвержденная: мышь
Валидировано для: ELISA, FCM
Реактивность подтвержденная: мышь
Валидировано для: ELISA, FCM
Anti-HPV31 Major capsid protein L1 Antibody (5D10) (RVV19502)
Источник (хозяин): мышь
Реактивность подтвержденная: вирусы
Валидировано для: ELISA, NEUT
Реактивность подтвержденная: вирусы
Валидировано для: ELISA, NEUT
Anti-EBV/HHV-4 BLLF1/MA Antibody (SAb2304) (RVV15205)
Источник (хозяин): человек
Реактивность подтвержденная: вирусы
Валидировано для: ELISA
Реактивность подтвержденная: вирусы
Валидировано для: ELISA

