| UNIPROT | O14965 |
Anti-AURKA Antibody (R2U18) (RHA36102)
Реактивность подтвержденная:
человек, крыса, обезьяна
Источник (хозяин):
мышь
Валидировано для:
ELISA
IHC
WB
Характеристики
Техническое описание
| Русское название | RHA36102 Моноклональное антитело к AURKA (R2U18) <AntibodySystem,Китай> |
| Каталожный номер | RHA36102 |
| Название антигена | Aurora Kinase A (AURKA) |
| UNIPROT | O14965 |
| Английские синонимы | AIK, ARK1, AURA, AURORA2, BTAK, STK15, STK6, STK7, Aurora/IPL1-related kinase 1, Breast tumor-amplified kinase, Serine/threonine-protein kinase 6 |
Реактивность подтвержденная Нужна другая реактивность? |
человек, крыса, обезьяна |
| Источник (хозяин) | мышь |
| Изотип | IgG1 |
| Клональность | моноклональное |
| Клон | R2U18 |
| Рекомбинантное | да |
| Готовое к использованию | нет |
| Концентрация | 1 мг/мл |
| Конъюгат | нет |
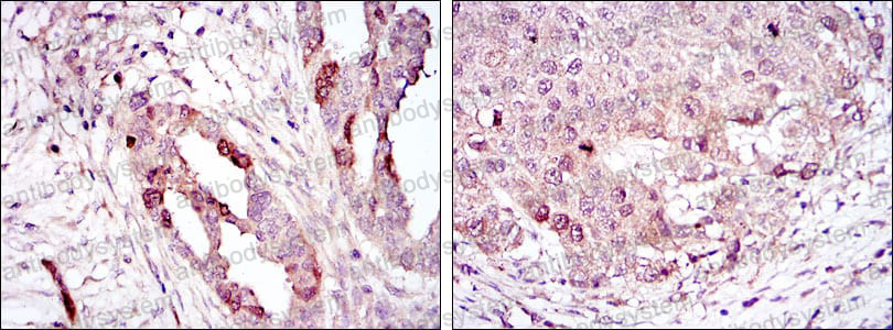
| Валидировано для | ELISA IHC WB Иммуноферментный анализ; Иммуногистохимия; Вестерн-блоттинг |
| Рекомендуемые разведения | ELISA: 1:10000, IHC: 1:200-1:1000, WB: 1:500-1:2000 |
| Метод очистки | Очистка с белками A/G из супернатанта клеточной культуры |
| Чистота | >95% |
| Состав буфера | 0.01M PBS, pH 7.4, 0.05% натрия азид |
| Условия доставки | термобокс с аккумуляторами холода |
| Условия хранения | Хранить при 4°C не более 1-2 недель. Хранить при -20°C - 12 месяцев |
| Срок хранения | 12 месяцев |
| Производитель | AntibodySystem |
| Ссылка на страницу товара на сайте производителя | https://www.antibodysystem.com/product/34106.html |
|
Артикул
|
Наименование |
Производитель
|
|---|
|
Артикул
|
Наименование |
Производитель
|
|---|
|
Артикул
|
Наименование |
Производитель
|
|---|
|
Артикул
|
Наименование |
Производитель
|
|---|
|
Артикул
|
Наименование |
Производитель
|
|---|
|
Артикул
|
Наименование |
Производитель
|
|---|
Акции и предложения
Популярные продукты:
STXBP2 Mouse Monoclonal Antibody (BF8577)
Источник (хозяин): мышь
Реактивность подтвержденная: человек, мышь
Валидировано для: WB
Реактивность подтвержденная: человек, мышь
Валидировано для: WB
Anti-HLA-A02:01-peptide (EBV-LMP2A: CLGGLLTMV) Complex Antibody (MAB243) (RHM02505)
Источник (хозяин): мышь
Реактивность подтвержденная: человек
Валидировано для: ELISA, FCM, ICC, IF, IHC, WB
Реактивность подтвержденная: человек
Валидировано для: ELISA, FCM, ICC, IF, IHC, WB
ELISA Kit DIY Materials for Guanylate Cyclase 1 Beta 3 (GUCY1b3) (KSH947Hu01)
Организм: человек
Диапазон определения: 0.156-10 нг/мл
Чувствительность: 0.059 нг/мл
Диапазон определения: 0.156-10 нг/мл
Чувствительность: 0.059 нг/мл
ELISA Kit DIY Materials for ATP Binding Cassette Transporter C6 (ABCC6) (KSD626Mu01)
Организм: мышь
Диапазон определения: 0.312-20 нг/мл
Чувствительность: 0.122 нг/мл
Диапазон определения: 0.312-20 нг/мл
Чувствительность: 0.122 нг/мл
Sheep Insulin ELISA kit (E14I0004)
Организм: овца
Диапазон определения: 0.5-10 нг/мл
Чувствительность: 0.1 нг/мл
Диапазон определения: 0.5-10 нг/мл
Чувствительность: 0.1 нг/мл
Goat Meprin A Alpha ELISA kit (E06M0529)
Организм: коза

