| UNIPROT | O95999 |
Anti-BCL10 Antibody (R2W56) (RHB82405)
Реактивность подтвержденная:
человек, мышь
Источник (хозяин):
мышь
Валидировано для:
FCM
IF
IHC
WB
Характеристики
Техническое описание
| Русское название | RHB82405 Моноклональное антитело к BCL10 (R2W56) <AntibodySystem,Китай> |
| Каталожный номер | RHB82405 |
| Название антигена | B-Cell CLL/Lymphoma 10 (Bcl10) |
| UNIPROT | O95999 |
| Английские синонимы | CARMEN, CIPER, CLAP, c-E10, mE10, CARD-containing molecule enhancing NF-kappa-B, CED-3/ICH-1 prodomain homologous E10-like regulator, Cellular homolog of vCARMEN |
Реактивность подтвержденная Нужна другая реактивность? |
человек, мышь |
| Источник (хозяин) | мышь |
| Изотип | IgG1 |
| Клональность | моноклональное |
| Клон | R2W56 |
| Рекомбинантное | да |
| Готовое к использованию | нет |
| Концентрация | 1 мг/мл |
| Конъюгат | нет |
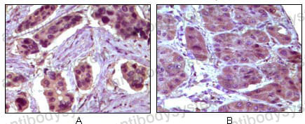
| Валидировано для | FCM IF IHC WB Проточная цитометрия; Иммунофлуоресценция; Иммуногистохимия; Вестерн-блоттинг |
| Рекомендуемые разведения | FCM: 1:200-1:400, IF: 1:200-1:1000, IHC: 1:200-1:1000, WB: 1:500-1:2000 |
| Метод очистки | Очистка с белками A/G из супернатанта клеточной культуры |
| Чистота | >95% |
| Состав буфера | 0.01M PBS, pH 7.4, 0.05% натрия азид |
| Условия доставки | термобокс с аккумуляторами холода |
| Условия хранения | Хранить при 4°C не более 1-2 недель. Хранить при -20°C - 12 месяцев |
| Срок хранения | 12 месяцев |
| Производитель | AntibodySystem |
| Ссылка на страницу товара на сайте производителя | https://www.antibodysystem.com/product/34342.html |
|
Артикул
|
Наименование |
Производитель
|
|---|
|
Артикул
|
Наименование |
Производитель
|
|---|
|
Артикул
|
Наименование |
Производитель
|
|---|
|
Артикул
|
Наименование |
Производитель
|
|---|
Акции и предложения
Популярные продукты:
Monoclonal Antibody to Interleukin 1 Receptor Type II (IL1R2) (MAA065Si21)
Источник (хозяин): мышь
Реактивность подтвержденная: обезьяна
Валидировано для: ICC, IHC, IP, WB
Реактивность подтвержденная: обезьяна
Валидировано для: ICC, IHC, IP, WB
Anti-Ubiquitin (Ub) Monoclonal Antibody (FAA164Hu04)
Источник (хозяин): мышь
Реактивность подтвержденная: человек
Валидировано для: FCM
Реактивность подтвержденная: человек
Валидировано для: FCM
ELISA Kit DIY Materials for Heat Shock Protein Beta 7 (HSPb7) (KSD505Hu01)
Организм: человек
Диапазон определения: 0.312-20 нг/мл
Чувствительность: 0.122 нг/мл
Диапазон определения: 0.312-20 нг/мл
Чувствительность: 0.122 нг/мл
ELISA Kit DIY Materials for Prolyl-4-Hydroxylase Alpha Polypeptide II (P4Ha2) (KSE254Hu01)
Организм: человек
Диапазон определения: 0.156-10 нг/мл
Чувствительность: 0.055 нг/мл
Диапазон определения: 0.156-10 нг/мл
Чувствительность: 0.055 нг/мл
ELISA Kit DIY Materials for Cluster Of Differentiation 40 Ligand (CD40L) (KSA119Hu01)
Организм: человек
Диапазон определения: 0.156-10 нг/мл
Чувствительность: 0.057 нг/мл
Диапазон определения: 0.156-10 нг/мл
Чувствительность: 0.057 нг/мл
ELISA Kit DIY Materials for B-Cell Leukemia/Lymphoma 2 (Bcl2) (KSA778Hu01)
Организм: человек
Диапазон определения: 0.156-10 нг/мл
Чувствительность: 0.056 нг/мл
Диапазон определения: 0.156-10 нг/мл
Чувствительность: 0.056 нг/мл

