| UNIPROT | Q92843 |
Anti-BCL2L2 Antibody (R3Y31) (RHK05402)
Реактивность подтвержденная:
человек
Источник (хозяин):
мышь
Валидировано для:
ELISA
FCM
IF
IHC
WB
Характеристики
Техническое описание
| Русское название | RHK05402 Моноклональное антитело к BCL2L2 (R3Y31) <AntibodySystem,Китай> |
| Каталожный номер | RHK05402 |
| Название антигена | B-Cell CLL/Lymphoma 2 Like Protein 2 (Bcl2L2) |
| UNIPROT | Q92843 |
| Английские синонимы | BCL-W, BCLW, PPP1R51, Apoptosis regulator Bcl-W, Bcl-2-like protein 2 |
Реактивность подтвержденная Нужна другая реактивность? |
человек |
| Источник (хозяин) | мышь |
| Изотип | IgG2a |
| Клональность | моноклональное |
| Клон | R3Y31 |
| Рекомбинантное | да |
| Готовое к использованию | нет |
| Концентрация | 1 мг/мл |
| Конъюгат | нет |
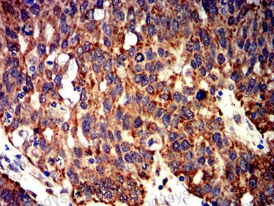
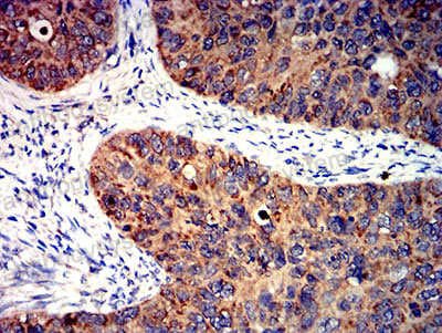
| Валидировано для | ELISA FCM IF IHC WB Иммуноферментный анализ; Проточная цитометрия; Иммунофлуоресценция; Иммуногистохимия; Вестерн-блоттинг |
| Рекомендуемые разведения | ELISA: 1:10000, FCM: 1:200-1:400, IF: 1:200-1:1000, IHC: 1:200-1:1000, WB: 1:500-1:2000 |
| Метод очистки | Очистка с белками A/G из супернатанта клеточной культуры |
| Чистота | >95% |
| Состав буфера | 0.01M PBS, pH 7.4, 0.05% натрия азид |
| Условия хранения | Хранить при 4°C не более 1-2 недель. Хранить при -20°C - 12 месяцев |
| Срок хранения | 12 месяцев |
| Производитель | AntibodySystem |
| Ссылка на страницу товара на сайте производителя | https://www.antibodysystem.com/product/36890.html |
|
Артикул
|
Наименование |
Производитель
|
|---|
|
Артикул
|
Наименование |
Производитель
|
|---|
|
Артикул
|
Наименование |
Производитель
|
|---|
|
Артикул
|
Наименование |
Производитель
|
|---|
|
Артикул
|
Наименование |
Производитель
|
|---|
Акции и предложения
Популярные продукты:
Anti-HIV-1 p24 Antibody (SAb2367) (RVV19307)
Источник (хозяин): мышь
Реактивность подтвержденная: вирусы
Валидировано для: CLIA, ELISA
Реактивность подтвержденная: вирусы
Валидировано для: CLIA, ELISA
ELISA Kit DIY Materials for Mucin 5 Subtype AC (MUC5AC) (KSA756Ra01)
Организм: крыса
Диапазон определения: 0.312-20 нг/мл
Чувствительность: 0.113 нг/мл
Диапазон определения: 0.312-20 нг/мл
Чувствительность: 0.113 нг/мл
ELISA Kit for Glucocerebrosidase (GBA) (SEC511Mu)
Организм: мышь
Диапазон определения: 0.312-20 нг/мл
Чувствительность: 0.59 нг/мл
Диапазон определения: 0.312-20 нг/мл
Чувствительность: 0.59 нг/мл
Monkey Cystatin SN(CST1) ELISA kit (E09C2119)
Организм: обезьяна
Rabbit Semaphorin 7A ELISA kit (E04S0083)
Организм: кролик
Monkey Antidiuretic hormone ELISA kit (E09A0430)
Организм: обезьяна

