| UNIPROT | Q02338 |
Anti-BDH1 Antibody (R3Q58) (RHF93201)
Реактивность подтвержденная:
человек, мышь
Источник (хозяин):
мышь
Валидировано для:
IHC
WB
Характеристики
Техническое описание
| Русское название | RHF93201 Моноклональное антитело к BDH1 (R3Q58) <AntibodySystem,Китай> |
| Каталожный номер | RHF93201 |
| Название антигена | 3-Hydroxybutyrate Dehydrogenase 1 (BDH1) |
| UNIPROT | Q02338 |
| Английские синонимы | DBH, SDR9C1, D-beta-Hydroxybutyrate Dehydrogenase,Mitochondrial, Short Chain Dehydrogenase/Reductase Family 9C,Member 1 |
Реактивность подтвержденная Нужна другая реактивность? |
человек, мышь |
| Источник (хозяин) | мышь |
| Изотип | IgG1 |
| Клональность | моноклональное |
| Клон | R3Q58 |
| Рекомбинантное | да |
| Готовое к использованию | нет |
| Концентрация | 1 мг/мл |
| Конъюгат | нет |
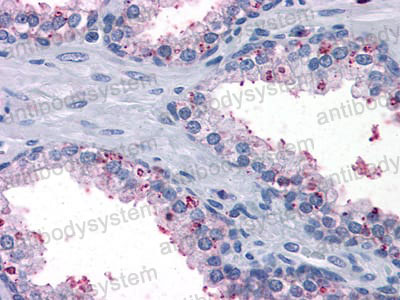
| Валидировано для | IHC WB Иммуногистохимия; Вестерн-блоттинг |
| Рекомендуемые разведения | IHC: 1:200-1:1000, WB: 1:500-1:2000 |
| Метод очистки | Очистка с белками A/G из супернатанта клеточной культуры |
| Чистота | >95% |
| Состав буфера | 0.01M PBS, pH 7.4, 0.05% натрия азид |
| Условия хранения | Хранить при 4°C не более 1-2 недель. Хранить при -20°C - 12 месяцев |
| Срок хранения | 12 месяцев |
| Производитель | AntibodySystem |
| Ссылка на страницу товара на сайте производителя | https://www.antibodysystem.com/product/36126.html |
|
Артикул
|
Наименование |
Производитель
|
|---|
|
Артикул
|
Наименование |
Производитель
|
|---|
|
Артикул
|
Наименование |
Производитель
|
|---|
Акции и предложения
Популярные продукты:
Multiplex Assay Kit for N-Terminal Pro-Brain Natriuretic Peptide (NT-ProBNP) (LMA485Ca)
Организм: собака
Диапазон определения: 4.88-5000 пг/мл
Чувствительность: 1.627 пг/мл
Диапазон определения: 4.88-5000 пг/мл
Чувствительность: 1.627 пг/мл
Rat Matrix metalloproteinase 2 ELISA kit (E02M0304)
Организм: крыса
Диапазон определения: 1-25 нг/мл
Чувствительность: 0.1 нг/мл
Диапазон определения: 1-25 нг/мл
Чувствительность: 0.1 нг/мл
Recombinant Human ENDOG Protein, N-His (YHG76901)
Источник (хозяин): E.coli
Организм: человек
Фрагмент: Leu16-Lys290
Теги: N-His
Биоактивность: нет
Организм: человек
Фрагмент: Leu16-Lys290
Теги: N-His
Биоактивность: нет
Recombinant Human BDH1 Protein, N-His (YHF93201)
Источник (хозяин): E.coli
Организм: человек
Фрагмент: Met1-Arg343
Теги: N-His
Биоактивность: нет
Организм: человек
Фрагмент: Met1-Arg343
Теги: N-His
Биоактивность: нет

