| UNIPROT | O43521 |
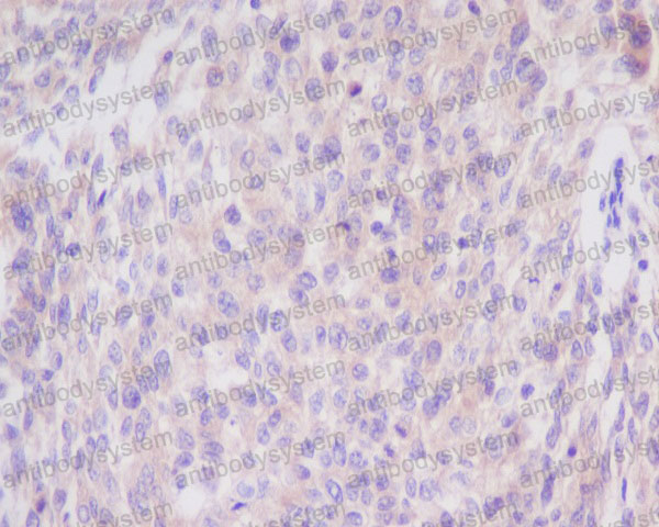
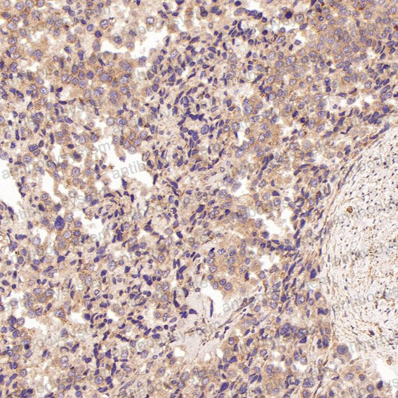
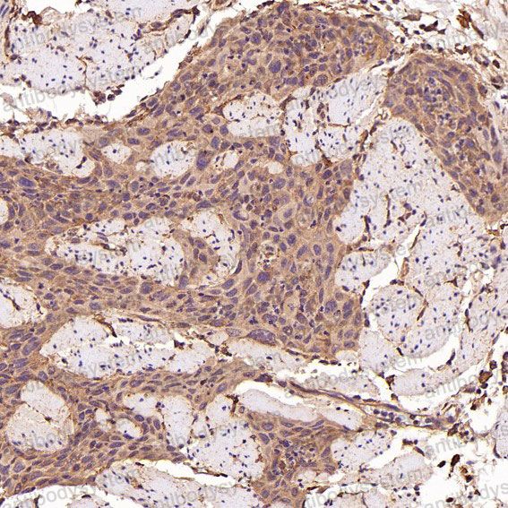
Anti-BIM/BCL2L11 Antibody (R1B25) (RHA69701)
Реактивность подтвержденная:
человек, мышь, крыса
Источник (хозяин):
кролик
Валидировано для:
FCM
IF
IHC
IP
WB
Характеристики
Техническое описание
| Русское название | RHA69701 Моноклональное антитело к BIM/BCL2L11 (R1B25) <AntibodySystem,Китай> |
| Каталожный номер | RHA69701 |
| Название антигена | Bcl2 Like Protein 11 (BCL2L11) |
| UNIPROT | O43521 |
| Английские синонимы | BOD, BimL, BimEL, BIM, Bcl2-interacting mediator of cell death |
Реактивность подтвержденная Нужна другая реактивность? |
человек, мышь, крыса |
| Источник (хозяин) | кролик |
| Изотип | IgG |
| Клональность | моноклональное |
| Клон | R1B25 |
| Рекомбинантное | да |
| Готовое к использованию | нет |
| Концентрация | 1 мг/мл |
| Конъюгат | нет |
| Валидировано для | FCM IF IHC IP WB Проточная цитометрия; Иммунофлуоресценция; Иммуногистохимия; Иммунопреципитация; Вестерн-блоттинг |
| Рекомендуемые разведения | FCM: 1:20-1:100, IF: 1:50-1:200, IHC: 1:100-1:200, IP: 1:20-1:50, WB: 1:1000-1:2000 |
| Метод очистки | Очистка с белками A/G из супернатанта клеточной культуры |
| Чистота | >95% |
| Состав буфера | 0.01M PBS, pH 7.4, 0.05% БСА, 50% глицерин, 0.05% азид натрия |
| Условия доставки | термобокс с аккумуляторами холода |
| Условия хранения | Хранить при -20 С -12 месяцев |
| Срок хранения | 12 месяцев |
| Производитель | AntibodySystem |
| Ссылка на страницу товара на сайте производителя | https://www.antibodysystem.com/product/29730.html |
|
Артикул
|
Наименование |
Производитель
|
|---|
|
Артикул
|
Наименование |
Производитель
|
|---|
|
Артикул
|
Наименование |
Производитель
|
|---|
Акции и предложения
Популярные продукты:
Bovine Tumor Protein P63 ELISA kit (E11T0290)
Организм: корова
Chicken Angiotensin Converting Enzyme ELISA kit (E12A0498)
Организм: курица
Anti-BIM/BCL2L11 Antibody (R1B25) (RHA69701)
Источник (хозяин): кролик
Реактивность подтвержденная: человек, мышь, крыса
Валидировано для: FCM, IF, IHC, IP, WB
Реактивность подтвержденная: человек, мышь, крыса
Валидировано для: FCM, IF, IHC, IP, WB
Recombinant FTO Monoclonal Antibody (E-AB-81470)
Источник (хозяин): кролик
Реактивность подтвержденная: человек
Валидировано для: IF, IHC, WB
Реактивность подтвержденная: человек
Валидировано для: IF, IHC, WB
CACNA1D Polyclonal Antibody (E-AB-91631)
Источник (хозяин): кролик
Реактивность подтвержденная: человек, крыса
Валидировано для: WB
Реактивность подтвержденная: человек, крыса
Валидировано для: WB
Biotin-Linked Polyclonal Antibody to Cluster Of Differentiation 26 (CD26) (LAA884Ra71)
Источник (хозяин): кролик
Реактивность подтвержденная: крыса
Валидировано для: WB
Реактивность подтвержденная: крыса
Валидировано для: WB

