| UNIPROT | O15392 |
Anti-BIRC5 Antibody (R2U58) (RHA51404)
Реактивность подтвержденная:
человек
Источник (хозяин):
мышь
Валидировано для:
ELISA
FCM
IF
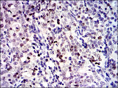
IHC
WB
Характеристики
Техническое описание
| Русское название | RHA51404 Моноклональное антитело к BIRC5 (R2U58) <AntibodySystem,Китай> |
| Каталожный номер | RHA51404 |
| Название антигена | Survivin (Surv) |
| UNIPROT | O15392 |
| Английские синонимы | BIRC5, API4, EPR-1, Baculoviral Inhibitor Of Apoptosis Repeat Containing 5, Apoptosis Inhibitor 4, Survivin Variant 3 Alpha |
Реактивность подтвержденная Нужна другая реактивность? |
человек |
| Источник (хозяин) | мышь |
| Изотип | IgG1 |
| Клональность | моноклональное |
| Клон | R2U58 |
| Рекомбинантное | да |
| Готовое к использованию | нет |
| Концентрация | 1 мг/мл |
| Конъюгат | нет |
| Валидировано для | ELISA FCM IF IHC WB Иммуноферментный анализ; Проточная цитометрия; Иммунофлуоресценция; Иммуногистохимия; Вестерн-блоттинг |
| Рекомендуемые разведения | ELISA: 1:10000, FCM: 1:200-1:400, IF: 1:200-1:1000, IHC: 1:200-1:1000, WB: 1:500-1:2000 |
| Метод очистки | Очистка с белками A/G из супернатанта клеточной культуры |
| Чистота | >95% |
| Состав буфера | 0.01M PBS, pH 7.4, 0.05% натрия азид |
| Условия доставки | термобокс с аккумуляторами холода |
| Условия хранения | Хранить при 4°C не более 1-2 недель. Хранить при -20°C - 12 месяцев |
| Срок хранения | 12 месяцев |
| Производитель | AntibodySystem |
| Ссылка на страницу товара на сайте производителя | https://www.antibodysystem.com/product/34146.html |
|
Артикул
|
Наименование |
Производитель
|
|---|
|
Артикул
|
Наименование |
Производитель
|
|---|
|
Артикул
|
Наименование |
Производитель
|
|---|
|
Артикул
|
Наименование |
Производитель
|
|---|
|
Артикул
|
Наименование |
Производитель
|
|---|
Акции и предложения
Популярные продукты:
Anti-GPM6B Polyclonal Antibody (PHG55701)
Источник (хозяин): кролик
Реактивность подтвержденная: человек, мышь, крыса
Валидировано для: ELISA, WB
Реактивность подтвержденная: человек, мышь, крыса
Валидировано для: ELISA, WB
Anti-Tumor Necrosis Factor Alpha (TNFa) Monoclonal Antibody (FAA133Bo02)
Источник (хозяин): мышь
Реактивность подтвержденная: корова
Валидировано для: FCM
Реактивность подтвержденная: корова
Валидировано для: FCM
Rat Oxalic Acid ELISA kit (E02O0851)
Организм: крыса
Mouse Cullin 4B(CUL4B) ELISA kit (E03C2185)
Организм: мышь
Rat Cullin 4B(CUL4B) ELISA kit (E02C2185)
Организм: крыса
Human Cullin 4B(CUL4B) ELISA kit (E01C2185)
Организм: человек
Диапазон определения: 2.5-50 нг/мл
Чувствительность: 0.1 нг/мл
Диапазон определения: 2.5-50 нг/мл
Чувствительность: 0.1 нг/мл

