| UNIPROT | O70201 |
Anti-BIRC5/Survivin Antibody (R1C18) (RMA51401)
Реактивность подтвержденная:
мышь, крыса
Источник (хозяин):
кролик
Валидировано для:
IHC
IP
WB
Характеристики
Техническое описание
| Русское название | RMA51401 Моноклональное антитело к BIRC5/Survivin (R1C18) <AntibodySystem,Китай> |
| Каталожный номер | RMA51401 |
| Название антигена | Survivin (Surv) |
| UNIPROT | O70201 |
| Английские синонимы | BIRC5, API4, EPR-1, Baculoviral Inhibitor Of Apoptosis Repeat Containing 5, Apoptosis Inhibitor 4, Survivin Variant 3 Alpha |
Реактивность подтвержденная Нужна другая реактивность? |
мышь, крыса |
| Источник (хозяин) | кролик |
| Изотип | IgG |
| Клональность | моноклональное |
| Клон | R1C18 |
| Рекомбинантное | да |
| Готовое к использованию | нет |
| Концентрация | 1 мг/мл |
| Конъюгат | нет |
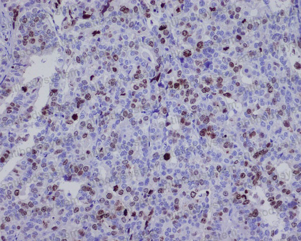
| Валидировано для | IHC IP WB Иммуногистохимия; Иммунопреципитация; Вестерн-блоттинг |
| Рекомендуемые разведения | IHC: 1:100-1:200, IP: 1:20-1:50, WB: 1:1000-1:2000 |
| Метод очистки | Очистка с белками A/G из супернатанта клеточной культуры |
| Чистота | >95% |
| Состав буфера | 0.01M PBS, pH 7.4, 0.05% БСА, 50% глицерин, 0.05% азид натрия |
| Условия доставки | термобокс с аккумуляторами холода |
| Условия хранения | Хранить при -20 С -12 месяцев |
| Срок хранения | 12 месяцев |
| Производитель | AntibodySystem |
| Ссылка на страницу товара на сайте производителя | https://www.antibodysystem.com/product/29822.html |
|
Артикул
|
Наименование |
Производитель
|
|---|
|
Артикул
|
Наименование |
Производитель
|
|---|
|
Артикул
|
Наименование |
Производитель
|
|---|
|
Артикул
|
Наименование |
Производитель
|
|---|
Акции и предложения
Популярные продукты:
Monoclonal Antibody to Interleukin 35 (IL35) (MAC008Hu28)
Источник (хозяин): мышь
Реактивность подтвержденная: человек
Валидировано для: WB
Реактивность подтвержденная: человек
Валидировано для: WB
Bovine Putrescine ELISA kit (E11P1258)
Организм: корова
Bovine Cystatin M(CST6) ELISA kit (E11C2125)
Организм: корова
Guinea Pig Cystatin M(CST6) ELISA kit (E05C2125)
Организм: морская свинка
Sheep Calcipressin 1(RCAN1) ELISA kit (E14C2416)
Организм: овца
Chicken Calcipressin 1(RCAN1) ELISA kit (E12C2416)
Организм: курица

