| UNIPROT | Q12983 |
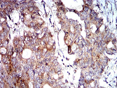
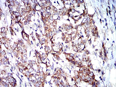
Anti-BNIP3 Antibody (R3R99) (RHG36302)
Реактивность подтвержденная:
человек
Источник (хозяин):
мышь
Валидировано для:
ELISA
FCM
IF
IHC
Характеристики
Техническое описание
| Русское название | RHG36302 Моноклональное антитело к BNIP3 (R3R99) <AntibodySystem,Китай> |
| Каталожный номер | RHG36302 |
| Название антигена | Bcl2/Adenovirus E1B 19kDa Interacting Protein 3 (BNIP3) |
| UNIPROT | Q12983 |
| Английские синонимы | NIP3 |
Реактивность подтвержденная Нужна другая реактивность? |
человек |
| Источник (хозяин) | мышь |
| Изотип | IgG2a |
| Клональность | моноклональное |
| Клон | R3R99 |
| Рекомбинантное | да |
| Готовое к использованию | нет |
| Концентрация | 1 мг/мл |
| Конъюгат | нет |
| Валидировано для | ELISA FCM IF IHC Иммуноферментный анализ; Проточная цитометрия; Иммунофлуоресценция; Иммуногистохимия |
| Рекомендуемые разведения | ELISA: 1:10000, FCM: 1:200-1:400, IF: 1:50-1:250, IHC: 1:200-1:1000 |
| Метод очистки | Очистка с белками A/G из супернатанта клеточной культуры |
| Чистота | >95% |
| Состав буфера | 0.01M PBS, pH 7.4, 0.05% натрия азид |
| Условия хранения | Хранить при 4°C не более 1-2 недель. Хранить при -20°C - 12 месяцев |
| Срок хранения | 12 месяцев |
| Производитель | AntibodySystem |
| Ссылка на страницу товара на сайте производителя | https://www.antibodysystem.com/product/36265.html |
|
Артикул
|
Наименование |
Производитель
|
|---|
|
Артикул
|
Наименование |
Производитель
|
|---|
|
Артикул
|
Наименование |
Производитель
|
|---|
|
Артикул
|
Наименование |
Производитель
|
|---|
|
Артикул
|
Наименование |
Производитель
|
|---|
Акции и предложения
Популярные продукты:
AQP2 Mouse Monoclonal Antibody (BF8424)
Источник (хозяин): мышь
Реактивность подтвержденная: человек, мышь, крыса
Валидировано для: ICC, IF, IHC, WB
Реактивность подтвержденная: человек, мышь, крыса
Валидировано для: ICC, IF, IHC, WB
Monoclonal Antibody to Clenbuterol (Clen) (MAV621Ge22)
Источник (хозяин): мышь
Реактивность подтвержденная: для всех
Валидировано для: ELISA, ICC
Реактивность подтвержденная: для всех
Валидировано для: ELISA, ICC
Human Cochlin(COCH) ELISA kit (E01C1879)
Организм: человек
Диапазон определения: 1-25 нг/мл
Чувствительность: 0.1 нг/мл
Диапазон определения: 1-25 нг/мл
Чувствительность: 0.1 нг/мл
Canine Coronin 1B(CORO1B) ELISA kit (E08C1951)
Организм: собака
Human AP 1 complex subunit sigma 1A(AP1S1) ELISA kit (E01A1559)
Организм: человек
Диапазон определения: 1-25 нг/мл
Чувствительность: 0.1 нг/мл
Диапазон определения: 1-25 нг/мл
Чувствительность: 0.1 нг/мл

