| UNIPROT | P07743 |
Anti-BPIFA2 Antibody (R4B04) (RMN92902)
Реактивность подтвержденная:
мышь
Источник (хозяин):
мышь
Валидировано для:
ELISA
FCM
IHC
Характеристики
Техническое описание
| Русское название | RMN92902 Моноклональное антитело к BPIFA2 (R4B04) <AntibodySystem,Китай> |
| Каталожный номер | RMN92902 |
| Название антигена | Short Palate, Lung And Nasal Epithelium Carcinoma Associated Protein 2 (SPLUNC2) |
| UNIPROT | P07743 |
| Английские синонимы | BPIFA2, PSP, C20orf70, BPI fold-containing family A member 2, Parotid secretory protein |
Реактивность подтвержденная Нужна другая реактивность? |
мышь |
| Источник (хозяин) | мышь |
| Изотип | IgG1 |
| Клональность | моноклональное |
| Клон | R4B04 |
| Рекомбинантное | да |
| Готовое к использованию | нет |
| Концентрация | 1 мг/мл |
| Конъюгат | нет |
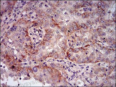
| Валидировано для | ELISA FCM IHC Иммуноферментный анализ; Проточная цитометрия; Иммуногистохимия |
| Рекомендуемые разведения | ELISA: 1:10000, FCM: 1:200-1:400, IHC: 1:200-1:1000 |
| Метод очистки | Очистка с белками A/G из супернатанта клеточной культуры |
| Чистота | >95% |
| Состав буфера | 0.01M PBS, pH 7.4, 0.05% натрия азид |
| Условия хранения | Хранить при 4°C не более 1-2 недель. Хранить при -20°C - 12 месяцев |
| Срок хранения | 12 месяцев |
| Производитель | AntibodySystem |
| Ссылка на страницу товара на сайте производителя | https://www.antibodysystem.com/product/37160.html |
|
Артикул
|
Наименование |
Производитель
|
|---|
|
Артикул
|
Наименование |
Производитель
|
|---|
|
Артикул
|
Наименование |
Производитель
|
|---|
Акции и предложения
Популярные продукты:
Monkey Paired Box Protein Pax-7 ELISA Kit (E09P1242)
Организм: обезьяна
Chicken Advanced Glycosylation End Products ELISA kit (E12A0002)
Организм: курица
Bovine Advanced Glycosylation End Products ELISA kit (E11A0002)
Организм: корова
Canine Advanced Glycosylation End Products ELISA kit (E08A0002)
Организм: собака
Human Peptide YY ELISA kit (E01P0172)
Организм: человек
Диапазон определения: 25-500 пг/мл
Чувствительность: 1 пг/мл
Диапазон определения: 25-500 пг/мл
Чувствительность: 1 пг/мл
Bovine Oxidized lowdensity lipoprotein ELISA kit (E11O0341)
Организм: корова

