| UNIPROT | P15056 |
Anti-BRAF/B-Raf Antibody (R3D78) (RHD08205)
Реактивность подтвержденная:
человек
Источник (хозяин):
мышь
Валидировано для:
IHC
Характеристики
Техническое описание
| Русское название | RHD08205 Моноклональное антитело к BRAF/B-Raf (R3D78) <AntibodySystem,Китай> |
| Каталожный номер | RHD08205 |
| Название антигена | B-Raf Proto Oncogene Serine/Threonine Protein Kinase (BRAF) |
| UNIPROT | P15056 |
| Английские синонимы | B-raf 1, BRAF1, RAFB1, V-Raf Murine Sarcoma Viral Oncogene Homolog B1 |
Реактивность подтвержденная Нужна другая реактивность? |
человек |
| Источник (хозяин) | мышь |
| Изотип | IgG1 |
| Клональность | моноклональное |
| Клон | R3D78 |
| Рекомбинантное | да |
| Готовое к использованию | нет |
| Концентрация | 1 мг/мл |
| Конъюгат | нет |
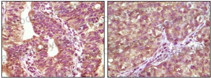
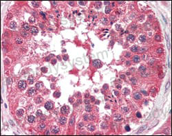
| Валидировано для | IHC Иммуногистохимия |
| Рекомендуемые разведения | IHC: 1:200-1:1000 |
| Метод очистки | Очистка с белками A/G из супернатанта клеточной культуры |
| Чистота | >95% |
| Состав буфера | 0.01M PBS, pH 7.4, 0.05% натрия азид |
| Условия доставки | термобокс с аккумуляторами холода |
| Условия хранения | Хранить при 4°C не более 1-2 недель. Хранить при -20°C - 12 месяцев |
| Срок хранения | 12 месяцев |
| Производитель | AntibodySystem |
| Ссылка на страницу товара на сайте производителя | https://www.antibodysystem.com/product/35057.html |
|
Артикул
|
Наименование |
Производитель
|
|---|
|
Артикул
|
Наименование |
Производитель
|
|---|
|
Артикул
|
Наименование |
Производитель
|
|---|
|
Артикул
|
Наименование |
Производитель
|
|---|
|
Артикул
|
Наименование |
Производитель
|
|---|
|
Артикул
|
Наименование |
Производитель
|
|---|
Акции и предложения
Популярные продукты:
Sheep Myelin and lymphocyte protein ELISA kit (E14M1087)
Организм: овца
Porcine vitamin B5 ELISA kit (E07V0429)
Организм: свинья
Anti-Ataxin-1 Antibody (N76/3) (RHC51602)
Источник (хозяин): мышь
Реактивность подтвержденная: для всех
Валидировано для: IHC, WB
Реактивность подтвержденная: для всех
Валидировано для: IHC, WB
Elab Fluor®Violet 500 Anti-Mouse MHC II Antibody[M5/114] (E-AB-F0990R)
Источник (хозяин): крыса
Реактивность подтвержденная: мышь
Валидировано для: FCM
Реактивность подтвержденная: мышь
Валидировано для: FCM
Phospho-NF2 / Merlin (Ser518) Antibody (AF3271)
Источник (хозяин): кролик
Реактивность подтвержденная: человек, мышь, крыса
Валидировано для: WB, IF, ICC
Реактивность подтвержденная: человек, мышь, крыса
Валидировано для: WB, IF, ICC
Nipah virus/NiV Glycoprotein ELISA Kit (KVV07901)
Организм: вирусы

