| UNIPROT | P15056 |
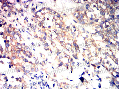
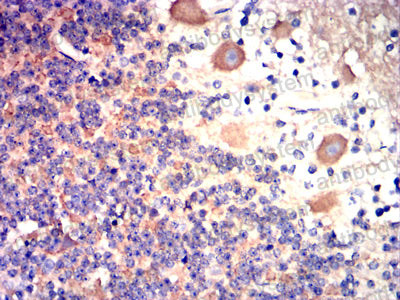
Anti-BRAF/B-Raf Antibody (R3D80) (RHD08207)
Реактивность подтвержденная:
человек, крыса
Источник (хозяин):
мышь
Валидировано для:
ELISA
FCM
IHC
WB
Характеристики
Техническое описание
| Русское название | RHD08207 Моноклональное антитело к BRAF/B-Raf (R3D80) <AntibodySystem,Китай> |
| Каталожный номер | RHD08207 |
| Название антигена | B-Raf Proto Oncogene Serine/Threonine Protein Kinase (BRAF) |
| UNIPROT | P15056 |
| Английские синонимы | B-raf 1, BRAF1, RAFB1, V-Raf Murine Sarcoma Viral Oncogene Homolog B1 |
Реактивность подтвержденная Нужна другая реактивность? |
человек, крыса |
| Источник (хозяин) | мышь |
| Изотип | IgG1 |
| Клональность | моноклональное |
| Клон | R3D80 |
| Рекомбинантное | да |
| Готовое к использованию | нет |
| Концентрация | 1 мг/мл |
| Конъюгат | нет |
| Валидировано для | ELISA FCM IHC WB Иммуноферментный анализ; Проточная цитометрия; Иммуногистохимия; Вестерн-блоттинг |
| Рекомендуемые разведения | ELISA: 1:10000, FCM: 1:200-1:400, IHC: 1:200-1:1000, WB: 1:500-1:2000 |
| Метод очистки | Очистка с белками A/G из супернатанта клеточной культуры |
| Чистота | >95% |
| Состав буфера | 0.01M PBS, pH 7.4, 0.05% натрия азид |
| Условия доставки | термобокс с аккумуляторами холода |
| Условия хранения | Хранить при 4°C не более 1-2 недель. Хранить при -20°C - 12 месяцев |
| Срок хранения | 12 месяцев |
| Производитель | AntibodySystem |
| Ссылка на страницу товара на сайте производителя | https://www.antibodysystem.com/product/35059.html |
|
Артикул
|
Наименование |
Производитель
|
|---|
|
Артикул
|
Наименование |
Производитель
|
|---|
|
Артикул
|
Наименование |
Производитель
|
|---|
|
Артикул
|
Наименование |
Производитель
|
|---|
|
Артикул
|
Наименование |
Производитель
|
|---|
Акции и предложения
Популярные продукты:
Sheep Ribonuclease Inhibitor ELISA kit (E14R0052)
Организм: овца
InVivo MAb Anti-SFTSV Gn/Glycoprotein N Antibody (FS0301) (VVV33502)
Источник (хозяин): человек
Реактивность подтвержденная: вирусы
Валидировано для: ELISA, IF, NEUT
Реактивность подтвержденная: вирусы
Валидировано для: ELISA, IF, NEUT
Anti-Plasmodium falciparum CSP Antibody (FS0294) (RXX55202)
Источник (хозяин): человек
Реактивность подтвержденная: простейшие
Валидировано для: ELISA, NEUT
Реактивность подтвержденная: простейшие
Валидировано для: ELISA, NEUT
Anti-Tissue Plasminogen Activator (tPA) Monoclonal Antibody (FAA525Hu06)
Источник (хозяин): мышь
Реактивность подтвержденная: человек
Валидировано для: FCM
Реактивность подтвержденная: человек
Валидировано для: FCM
ELISA Kit for Tryptophan Hydroxylase 1 (TPH1) (SEG342Ra)
Организм: крыса
Диапазон определения: 3.12-200 нг/мл
Чувствительность: 85.7 пг/мл
Диапазон определения: 3.12-200 нг/мл
Чувствительность: 85.7 пг/мл
ELISA Kit for Fetuin B (FETUB) (SEB860Po)
Организм: свинья
Диапазон определения: 0.312-20 нг/мл
Чувствительность: 0.57 мкг/мл
Диапазон определения: 0.312-20 нг/мл
Чувствительность: 0.57 мкг/мл

