| UNIPROT | P05412 |
Anti-c-JUN Antibody (R2Z24) (RHC16505)
Реактивность подтвержденная:
человек, мышь, обезьяна
Источник (хозяин):
мышь
Валидировано для:
ELISA
FCM
IF
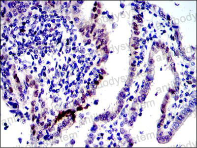
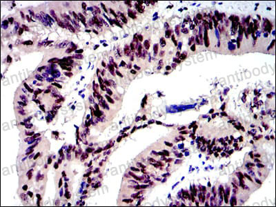
IHC
WB
Характеристики
Техническое описание
| Русское название | RHC16505 Моноклональное антитело к c-JUN (R2Z24) <AntibodySystem,Китай> |
| Каталожный номер | RHC16505 |
| Название антигена | V-Jun Sarcoma Virus 17 Oncogene Homolog (JUN) |
| UNIPROT | P05412 |
| Английские синонимы | C-Jun, AP1, CJun, p39, Jun Oncogene, Proto-oncogene c-Jun, Activator protein 1, Transcription factor AP-1 |
Реактивность подтвержденная Нужна другая реактивность? |
человек, мышь, обезьяна |
| Источник (хозяин) | мышь |
| Изотип | IgG1 |
| Клональность | моноклональное |
| Клон | R2Z24 |
| Рекомбинантное | да |
| Готовое к использованию | нет |
| Концентрация | 1 мг/мл |
| Конъюгат | нет |
| Валидировано для | ELISA FCM IF IHC WB Иммуноферментный анализ; Проточная цитометрия; Иммунофлуоресценция; Иммуногистохимия; Вестерн-блоттинг |
| Рекомендуемые разведения | ELISA: 1:10000, FCM: 1:200-1:400, IF: 1:200-1:1000, IHC: 1:200-1:1000, WB: 1:500-1:2000 |
| Метод очистки | Очистка с белками A/G из супернатанта клеточной культуры |
| Чистота | >95% |
| Состав буфера | 0.01M PBS, pH 7.4, 0.05% натрия азид |
| Условия доставки | термобокс с аккумуляторами холода |
| Условия хранения | Хранить при 4°C не более 1-2 недель. Хранить при -20°C - 12 месяцев |
| Срок хранения | 12 месяцев |
| Производитель | AntibodySystem |
| Ссылка на страницу товара на сайте производителя | https://www.antibodysystem.com/product/34607.html |
|
Артикул
|
Наименование |
Производитель
|
|---|
|
Артикул
|
Наименование |
Производитель
|
|---|
|
Артикул
|
Наименование |
Производитель
|
|---|
|
Артикул
|
Наименование |
Производитель
|
|---|
|
Артикул
|
Наименование |
Производитель
|
|---|
|
Артикул
|
Наименование |
Производитель
|
|---|
|
Артикул
|
Наименование |
Производитель
|
|---|
Акции и предложения
Популярные продукты:
ELISA Kit for Malondialdehyde (MDA) (CEA597Ge)
Организм: для всех
Диапазон определения: 24.69-2000 нг/мл
Чувствительность: 8.84 нг/мл
Диапазон определения: 24.69-2000 нг/мл
Чувствительность: 8.84 нг/мл
ELISA Kit for Glutamate Receptor, Ionotropic, AMPA 1 (GRIA1) (SEE801Ra)
Организм: крыса
Диапазон определения: 0.312-20 нг/мл
Чувствительность: 0.061 нг/мл
Диапазон определения: 0.312-20 нг/мл
Чувствительность: 0.061 нг/мл
Chicken Cdc42 effector protein 3(CDC42EP3) ELISA kit (E12C1517)
Организм: курица
Rat Tetraspanin-7 ELISA kit (E02T0951)
Организм: крыса

