| UNIPROT | Q04864 |
Anti-c-Rel Antibody (R3R06) (RHG03202)
Реактивность подтвержденная:
человек, мышь
Источник (хозяин):
мышь
Валидировано для:
ELISA
IF
IHC
WB
Характеристики
Техническое описание
| Русское название | RHG03202 Моноклональное антитело к c-Rel (R3R06) <AntibodySystem,Китай> |
| Каталожный номер | RHG03202 |
| Название антигена | V-Rel Reticuloendotheliosis Viral Oncogene Homolog (REL) |
| UNIPROT | Q04864 |
| Английские синонимы | I-Rel, c-Rel, Proto-oncogene c-Rel |
Реактивность подтвержденная Нужна другая реактивность? |
человек, мышь |
| Источник (хозяин) | мышь |
| Изотип | IgG1 |
| Клональность | моноклональное |
| Клон | R3R06 |
| Рекомбинантное | да |
| Готовое к использованию | нет |
| Концентрация | 1 мг/мл |
| Конъюгат | нет |
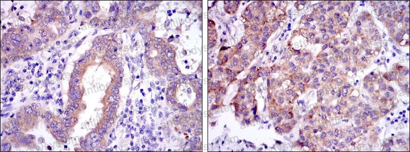
| Валидировано для | ELISA IF IHC WB Иммуноферментный анализ; Иммунофлуоресценция; Иммуногистохимия; Вестерн-блоттинг |
| Рекомендуемые разведения | ELISA: 1:10000, IF: 1:200-1:1000, IHC: 1:200-1:1000, WB: 1:500-1:2000 |
| Метод очистки | Очистка с белками A/G из супернатанта клеточной культуры |
| Чистота | >95% |
| Состав буфера | 0.01M PBS, pH 7.4, 0.05% натрия азид |
| Условия хранения | Хранить при 4°C не более 1-2 недель. Хранить при -20°C - 12 месяцев |
| Срок хранения | 12 месяцев |
| Производитель | AntibodySystem |
| Ссылка на страницу товара на сайте производителя | https://www.antibodysystem.com/product/36173.html |
|
Артикул
|
Наименование |
Производитель
|
|---|
|
Артикул
|
Наименование |
Производитель
|
|---|
|
Артикул
|
Наименование |
Производитель
|
|---|
Акции и предложения
Популярные продукты:
Sheep Anti Teichoic acid antibody ELISA kit (E14T0496)
Организм: овца
Mouse C1q/TNF related protein 3,Cartonectin/CTRP3/CORS 26 ELISA kit (E03C1243)
Организм: мышь
Диапазон определения: 1-25 нг/мл
Чувствительность: 0.1 нг/мл
Диапазон определения: 1-25 нг/мл
Чувствительность: 0.1 нг/мл
Human Brain acid soluble protein 1(BASP1) ELISA kit (E01B0750)
Организм: человек
Bovine Adipose Triglyceride Lipase ELISA kit (E11A0893)
Организм: корова
Chicken Zinc transporter 6(SLC30A6) ELISA kit (E12Z0014)
Организм: курица
Rabbit Beta-2-syntrophin ELISA kit (E04B0973)
Организм: кролик

