| UNIPROT | Q16790 |
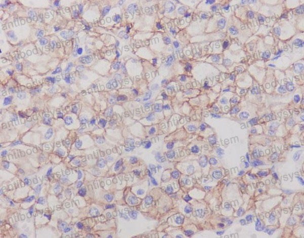
Anti-CA9 Antibody (R2H56) (RHH37201)
Реактивность подтвержденная:
человек
Источник (хозяин):
кролик
Валидировано для:
IHC
WB
Характеристики
Техническое описание
| Русское название | RHH37201 Моноклональное антитело к CA9 (R2H56) <AntibodySystem,Китай> |
| Каталожный номер | RHH37201 |
| Название антигена | Carbonic Anhydrase IX (CA9) |
| UNIPROT | Q16790 |
| Английские синонимы | CA-IX, CAIX, MN, pMW1, P54/58N, Carbonic Dehydratase, Renal cell carcinoma-associated antigen G250, RCC-Associated Protein G250, Carbonate dehydratase IX |
Реактивность подтвержденная Нужна другая реактивность? |
человек |
| Источник (хозяин) | кролик |
| Изотип | IgG |
| Клональность | моноклональное |
| Клон | R2H56 |
| Рекомбинантное | да |
| Готовое к использованию | нет |
| Концентрация | 1 мг/мл |
| Конъюгат | нет |
| Валидировано для | IHC WB Иммуногистохимия; Вестерн-блоттинг |
| Рекомендуемые разведения | IHC: 1:100-1:200, WB: 1:1000-1:2000 |
| Метод очистки | Очистка с белками A/G из супернатанта клеточной культуры |
| Чистота | >95% |
| Состав буфера | 0.01M PBS, pH 7.4, 0.05% БСА, 50% глицерин, 0.05% азид натрия |
| Условия доставки | термобокс с аккумуляторами холода |
| Условия хранения | Хранить при -20 С -12 месяцев |
| Срок хранения | 12 месяцев |
| Производитель | AntibodySystem |
| Ссылка на страницу товара на сайте производителя | https://www.antibodysystem.com/product/32778.html |
|
Артикул
|
Наименование |
Производитель
|
|---|
|
Артикул
|
Наименование |
Производитель
|
|---|
|
Артикул
|
Наименование |
Производитель
|
|---|
|
Артикул
|
Наименование |
Производитель
|
|---|
Акции и предложения
Популярные продукты:
Monoclonal Antibody to Melatonin (MT) (MAA908Ge21)
Источник (хозяин): мышь
Реактивность подтвержденная: для всех
Валидировано для: ELISA
Реактивность подтвержденная: для всех
Валидировано для: ELISA
Chicken Valproic Acid ELISA kit (E12V0432)
Организм: курица
Bovine 14 3 3 protein sigma ELISA kit (E11S0433)
Организм: корова

