| UNIPROT | Q16566 |
Anti-CAMK4 Antibody (R3U38) (RHH29601)
Реактивность подтвержденная:
человек
Источник (хозяин):
мышь
Валидировано для:
ELISA
FCM
IF
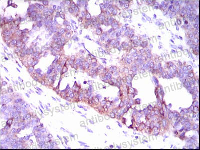
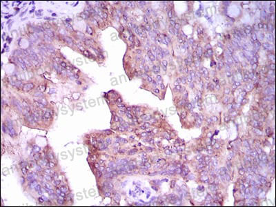
IHC
WB
Характеристики
Техническое описание
| Русское название | RHH29601 Моноклональное антитело к CAMK4 (R3U38) <AntibodySystem,Китай> |
| Каталожный номер | RHH29601 |
| Название антигена | Calcium/Calmodulin Dependent Protein Kinase IV (CAMK4) |
| UNIPROT | Q16566 |
| Английские синонимы | CaMK-GR, Brain Ca++-Calmodulin-Dependent Protein Kinase Type IV, CAM Kinase IV, CAM Kinase-GR |
Реактивность подтвержденная Нужна другая реактивность? |
человек |
| Источник (хозяин) | мышь |
| Изотип | IgG1 |
| Клональность | моноклональное |
| Клон | R3U38 |
| Рекомбинантное | да |
| Готовое к использованию | нет |
| Концентрация | 1 мг/мл |
| Конъюгат | нет |
| Валидировано для | ELISA FCM IF IHC WB Иммуноферментный анализ; Проточная цитометрия; Иммунофлуоресценция; Иммуногистохимия; Вестерн-блоттинг |
| Рекомендуемые разведения | ELISA: 1:10000, FCM: 1:200-1:400, IF: 1:200-1:1000, IHC: 1:200-1:1000, WB: 1:500-1:2000 |
| Метод очистки | Очистка с белками A/G из супернатанта клеточной культуры |
| Чистота | >95% |
| Состав буфера | 0.01M PBS, pH 7.4, 0.05% натрия азид |
| Условия хранения | Хранить при 4°C не более 1-2 недель. Хранить при -20°C - 12 месяцев |
| Срок хранения | 12 месяцев |
| Производитель | AntibodySystem |
| Ссылка на страницу товара на сайте производителя | https://www.antibodysystem.com/product/36501.html |
|
Артикул
|
Наименование |
Производитель
|
|---|
|
Артикул
|
Наименование |
Производитель
|
|---|
Акции и предложения
Популярные продукты:
Goat Formyl Peptide Receptor 1 ELISA kit (E06F0424)
Организм: коза
Goat L1 Cell Adhesion Molecule ELISA kit (E06L0003)
Организм: коза
Monkey Chemokine interferon inducible protein 10 ELISA kit (E09C0040)
Организм: обезьяна
Recombinant Human Flt3 ligand/FLT3LG Protein, C-His (EHE70701)
Источник (хозяин): клетки насекомых
Организм: человек
Фрагмент: Ser25-Pro184
Теги: C-His
Биоактивность: нет
Организм: человек
Фрагмент: Ser25-Pro184
Теги: C-His
Биоактивность: нет
PerCP Anti-Mouse CD8a Antibody[53-6.7] (FCE2414)
Источник (хозяин): крыса
Реактивность подтвержденная: мышь
Валидировано для: FCM
Реактивность подтвержденная: мышь
Валидировано для: FCM
Anti-CAMK4 Antibody (R3U38) (RHH29601)
Источник (хозяин): мышь
Реактивность подтвержденная: человек
Валидировано для: ELISA, FCM, IF, IHC, WB
Реактивность подтвержденная: человек
Валидировано для: ELISA, FCM, IF, IHC, WB

