| UNIPROT | P29594 |
Anti-CASP2 Antibody (R1C17) (RME36001)
Реактивность подтвержденная:
человек, мышь, крыса
Источник (хозяин):
кролик
Валидировано для:
FCM
IF
IHC
WB
Характеристики
Техническое описание
| Русское название | RME36001 Моноклональное антитело к CASP2 (R1C17) <AntibodySystem,Китай> |
| Каталожный номер | RME36001 |
| Название антигена | Caspase 2 (CASP2) |
| UNIPROT | P29594 |
| Английские синонимы | ICH1L, NEDD2, ICH-1L/1S, Cysteinyl Aspartate Specific Proteinases 2, Apoptosis-Related Cysteine Peptidase, Neural Precursor Cell Expressed Developmentally Down-Regulated 2, CASP-2, Caspase-2 |
| Русские синонимы | каспаза-2 |
Реактивность подтвержденная Нужна другая реактивность? |
человек, мышь, крыса |
| Источник (хозяин) | кролик |
| Изотип | IgG |
| Клональность | моноклональное |
| Клон | R1C17 |
| Рекомбинантное | да |
| Готовое к использованию | нет |
| Концентрация | 1 мг/мл |
| Конъюгат | нет |
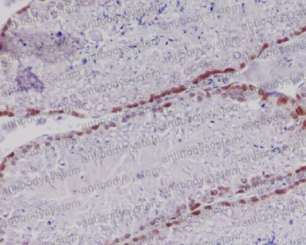
| Валидировано для | FCM IF IHC WB Проточная цитометрия; Иммунофлуоресценция; Иммуногистохимия; Вестерн-блоттинг |
| Рекомендуемые разведения | FCM: 1:20-1:100, IF: 1:50-1:200, IHC: 1:100-1:200, WB: 1:1000-1:2000 |
| Метод очистки | Очистка с белками A/G из супернатанта клеточной культуры |
| Чистота | >95% |
| Состав буфера | 0.01M PBS, pH 7.4, 0.05% БСА, 50% глицерин, 0.05% азид натрия |
| Условия доставки | термобокс с аккумуляторами холода |
| Условия хранения | Хранить при -20 С -12 месяцев |
| Срок хранения | 12 месяцев |
| Производитель | AntibodySystem |
| Ссылка на страницу товара на сайте производителя | https://www.antibodysystem.com/product/29821.html |
|
Артикул
|
Наименование |
Производитель
|
|---|
|
Артикул
|
Наименование |
Производитель
|
|---|
|
Артикул
|
Наименование |
Производитель
|
|---|
Акции и предложения
Популярные продукты:
Canine 5-hydroxytryptamine receptor 6 ELISA Kit (E08H1453)
Организм: собака
Bovine Myogenin(MYOG) ELISA kit (E11M0424)
Организм: корова
Recombinant Human CPLX2 Protein, N-His-SUMO (YHJ07702)
Источник (хозяин): E.coli
Организм: человек
Фрагмент: Gly71-Lys134
Теги: N-His-SUMO
Биоактивность: нет
Организм: человек
Фрагмент: Gly71-Lys134
Теги: N-His-SUMO
Биоактивность: нет
Recombinant Human CPLX2 Protein, N-His (YHJ07701)
Источник (хозяин): E.coli
Организм: человек
Фрагмент: Asp2-Lys134
Теги: N-His
Биоактивность: нет
Организм: человек
Фрагмент: Asp2-Lys134
Теги: N-His
Биоактивность: нет
Recombinant Human C5 Protein, N-GST (YHB90001)
Источник (хозяин): E.coli
Организм: человек
Фрагмент: Thr678-Arg751
Теги: N-GST
Биоактивность: нет
Организм: человек
Фрагмент: Thr678-Arg751
Теги: N-GST
Биоактивность: нет

